Sign In to View Organizational & Contract Pricing.
Select a Size
Change View
About This Item
NACRES:
NA.41
UNSPSC Code:
12352203
Conjugate:
unconjugated
Clone:
JCB117, monoclonal
Application:
IHC (p)
Citations:
10
biological source
mouse
conjugate
unconjugated
antibody form
culture supernatant
antibody product type
primary antibodies
clone
JCB117, monoclonal
description
For In Vitro Diagnostic Use in Select Regions (See Chart)
form
buffered aqueous solution
species reactivity
human
packaging
vial of 0.1 mL concentrate (179M-94), vial of 0.5 mL concentrate (179M-95), bottle of 1.0 mL predilute (179M-97), vial of 1.0 mL concentrate (179M-96), bottle of 7.0 mL predilute (179M-98)
manufacturer/tradename
Cell Marque®
technique(s)
immunohistochemistry (formalin-fixed, paraffin-embedded sections): 1:100-1:500
isotype
IgG1κ
control
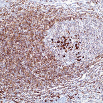
tonsil
shipped in
wet ice
storage temp.
2-8°C
visualization
membranous
Gene Information
human ... CD79A(973)
General description
Anti-CD79a is a B-cell marker that is generally used to complement CD20. This antibody will stain many of the same lymphomas as CD20, but also is more likely to stain precursor B-lymphoid leukemias than CD20. Anti-CD79a also stains more cases of plasma cell myeloma and occasionally some types of endothelial cells as well. Anti-CD79a will stain many cases of acute promyelocytic leukemia (FAB-M3), but only rarely stains other types of myeloid leukemia.
Physical form
Solution in Tris Buffer, pH 7.3-7.7, with 1% BSA and <0.1% Sodium Azide
Preparation Note
Download the IFU specific to your product lot and formatNote: This requires a keycode which can be found on your packaging or product label.
Analysis Note
![]() IVD | ![]() IVD | ![]() IVD | ![]() RUO |
Other Notes
For Technical Service please contact: 800-665-7284 or email: service@cellmarque.com
CD79a Positive Control Slides, Product No. 179S, are available for immunohistochemistry (formalin-fixed, paraffin-embedded sections).
Legal Information
Cell Marque is a registered trademark of Merck KGaA, Darmstadt, Germany
Still not finding the right product?
Try our Product Selector Tool to narrow your options
Regulatory Information
监管及禁止进口产品
This item has
Choose from one of the most recent versions:
Already Own This Product?
Find documentation for the products that you have recently purchased in the Document Library.
B T Lin et al.
Human pathology, 28(9), 1083-1090 (1997-10-06)
Primary plasmacytoma of the lymph nodes is very rare, and there are fewer than 20 reported cases. These cases appeared to have a better prognosis than other extramedullary plasmacytomas, with rare recurrence and no progression to myeloma after treatment. To
D Y Mason et al.
European journal of immunology, 22(10), 2753-2756 (1992-10-01)
Surface immunoglobulin on mouse B cells is associated with a heterodimer comprising the products of the mb-1 and B29 genes. Here we report that antibodies raised against a peptide sequence from the intracytoplasmic C terminus of the B29 murine gene
C J van Noesel et al.
Journal of immunology (Baltimore, Md. : 1950), 146(11), 3881-3888 (1991-06-01)
7/8embrane IgM (mIgM) on human B lymphocytes is noncovalently associated with a disulfide-linked dimer that contains phosphoproteins of 47 and 37 kDa. In this study, the biochemical properties and the identity of these Ag receptor-associated components have been addressed. Both
Global Trade Item Number
| SKU | GTIN |
|---|---|
| 179M-95 | 0841683125549 |
| 179M-96 | 0841683125556 |
| 179M-97 | 0841683125563 |
| 179M-94 | 0841683125532 |
| 179M-96-RUO | 04061836539979 |
| 179M-98 | 0841683125570 |



