Sign In to View Organizational & Contract Pricing.
Select a Size
Change View
About This Item
NACRES:
NA.41
UNSPSC Code:
12352203
Conjugate:
unconjugated
Clone:
E29, monoclonal
Application:
IHC (p)
Citations:
8
biological source
mouse
conjugate
unconjugated
antibody form
culture supernatant
antibody product type
primary antibodies
clone
E29, monoclonal
description
For In Vitro Diagnostic Use in Select Regions (See Chart)
form
buffered aqueous solution
species reactivity
human
packaging
vial of 0.1 mL concentrate (247M-94), vial of 0.5 mL concentrate (247M-95), bottle of 1.0 mL predilute (247M-97), vial of 1.0 mL concentrate (247M-96), bottle of 7.0 mL predilute (247M-98)
manufacturer/tradename
Cell Marque®
technique(s)
immunohistochemistry (formalin-fixed, paraffin-embedded sections): 1:100-1:500
isotype
IgG2aκ
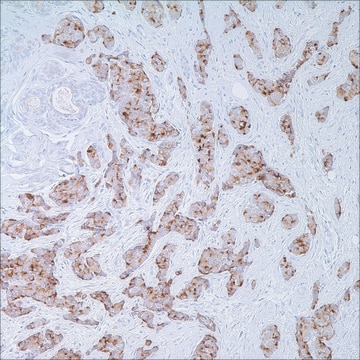
control
breast
shipped in
wet ice
storage temp.
2-8°C
visualization
cytoplasmic, membranous
Gene Information
human ... MUC1(4582)
General description
Anti-EMA antibody is a useful marker for staining many carcinomas. It stains normal and neoplastic cells from various tissues, including mammary epithelium, sweat glands and squamous epithelium. Hepatocellular carcinoma, adrenal carcinoma and embryonal carcinomas are consistently EMA negative, so keratin positivity with negative EMA favors one of these tumors. EMA is frequently positive in meningioma, which can be useful when distinguishing it from other intracranial neoplasms, e.g. Schwannomas. The absence of EMA can also be of value since negative EMA staining is characteristic of some tumors including adrenal carcinoma, seminomas, paraganglioma and hepatoma.
Physical form
Solution in Tris Buffer, pH 7.3-7.7, with 1% BSA and <0.1% Sodium Azide
Preparation Note
Download the IFU specific to your product lot and formatNote: This requires a keycode which can be found on your packaging or product label.
Analysis Note
![]() IVD | ![]() IVD | ![]() IVD | ![]() RUO |
Other Notes
EMA Positive Control Slides, Product No. 247S, are available for immunohistochemistry (formalin-fixed, paraffin-embedded sections).
For Technical Service please contact: 800-665-7284 or email: service@cellmarque.com
Legal Information
Cell Marque is a registered trademark of Merck KGaA, Darmstadt, Germany
Still not finding the right product?
Try our Product Selector Tool to narrow your options
Regulatory Information
监管及禁止进口产品
This item has
Choose from one of the most recent versions:
Already Own This Product?
Find documentation for the products that you have recently purchased in the Document Library.
M Fraga et al.
American journal of clinical pathology, 103(1), 82-89 (1995-01-01)
Bone marrow involvement by anaplastic large cell anaplastic large cell (ALC) lymphoma can be difficult to detect on routine morphologic examination alone. In a series of 42 patients with ALC lymphoma, the authors analyzed: (1) the usefulness of a limited
G S Pinkus et al.
American journal of clinical pathology, 85(3), 269-277 (1986-03-01)
Epithelial membrane antigen and keratin proteins represent markers of epithelial differentiation that may be detected in routine formalin-fixed, paraffin-embedded tissues. Eighty-seven neoplasms, including 48 adenocarcinomas of various types, squamous and transitional cell carcinomas, small-cell anaplastic carcinomas, carcinoid tumors, mesotheliomas, hepatomas
T W Beer et al.
Histopathology, 37(3), 218-223 (2000-09-06)
Seventy-five skin tumours were studied to investigate the value of immunohistochemistry in differentiating basal cell, squamous cell and basosquamous carcinomas of the skin. Archived paraffin-embedded tissue samples of basal cell carcinomas (n = 39), squamous cell carcinomas (n = 23)
Global Trade Item Number
| SKU | GTIN |
|---|---|
| 247M-94 | 0841683130109 |
| 247M-96-RUO | 04061836541507 |
| 247M-98 | 0841683130147 |
| 247M-95 | 0841683130116 |
| 247M-96 | 0841683130123 |
| 247M-97 | 0841683130130 |



