Select a Size
About This Item
biological source
mouse
conjugate
unconjugated
antibody form
culture supernatant
antibody product type
primary antibodies
clone
MOC-31, monoclonal
description
For In Vitro Diagnostic Use in Select Regions (See Chart)
form
buffered aqueous solution
species reactivity
human
packaging
vial of 0.1 mL concentrate (248M-14), vial of 0.5 mL concentrate (248M-15), bottle of 1.0 mL predilute (248M-17), vial of 1.0 mL concentrate (248M-16), bottle of 7.0 mL predilute (248M-18)
manufacturer/tradename
Cell Marque®
technique(s)
immunohistochemistry (formalin-fixed, paraffin-embedded sections): 1:50-1:200
isotype
IgG1κ
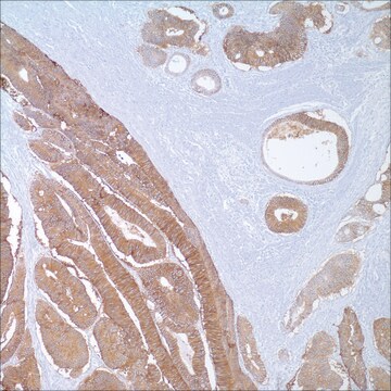
control
colon carcinoma
shipped in
wet ice
storage temp.
2-8°C
visualization
cytoplasmic
Gene Information
human ... EPCAM(4072)
General description
Physical form
Preparation Note
Analysis Note
![]() IVD | ![]() IVD | ![]() IVD | ![]() RUO |
Other Notes
Legal Information
Still not finding the right product?
Try our Product Selector Tool to narrow your options
Regulatory Information
This item has
Choose from one of the most recent versions:
Already Own This Product?
Find documentation for the products that you have recently purchased in the Document Library.
Related Content
诊断性免疫组化是一系列用于识别组织异常、建立预后并提示治疗方式的技术。其基本原理是一种抗原-抗体结合反应,利用酶或荧光染料来标记抗体,呈现出组织或组织切片中特定抗原的位置和分布。
Diagnostic immunohistochemistry overview highlights its importance in cancer diagnosis and detecting infectious diseases in modern clinical pathology.
Global Trade Item Number
| SKU | GTIN |
|---|---|
| 248M-16 | 0841683130192 |
| 248M-17 | 0841683130208 |
| 248M-18 | 0841683130215 |
| 248M-14 | 0841683130178 |
| 248M-15 | 0841683130185 |
| 248M-16-RUO | 04061836541569 |



