Select a Size
About This Item
biological source
rabbit
conjugate
unconjugated
antibody form
culture supernatant
antibody product type
primary antibodies
clone
SP6, monoclonal
description
For In Vitro Diagnostic Use in Select Regions (See Chart)
form
buffered aqueous solution
species reactivity
human
packaging
vial of 0.1 mL concentrate (275R-14), vial of 0.5 mL concentrate (275R-15), bottle of 1.0 mL predilute (275R-17), vial of 1.0 mL concentrate (275R-16), bottle of 7.0 mL predilute (275R-18)
manufacturer/tradename
Cell Marque®
technique(s)
immunohistochemistry (formalin-fixed, paraffin-embedded sections): 1:100-1:500
isotype
IgG
control
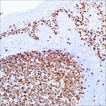
tonsil
shipped in
wet ice
storage temp.
2-8°C
visualization
nuclear
Gene Information
human ... MKI67(4288)
General description
Physical form
Preparation Note
Analysis Note
![]() IVD | ![]() IVD | ![]() IVD | ![]() RUO |
Other Notes
Legal Information
Still not finding the right product?
Try our Product Selector Tool to narrow your options
Storage Class
12 - Non Combustible Liquids
wgk
WGK 2
Regulatory Information
This item has
Choose from one of the most recent versions:
Already Own This Product?
Find documentation for the products that you have recently purchased in the Document Library.
Protocols
3D cell culture protocol for generating epidermal human skin tissue using primary human keratinocytes, dermal fibroblasts, and collagen-coated transwell inserts.
Articles
结直肠癌是男性和女性中第三大常见癌症。预计2016年将发生136,000例结直肠癌。
Colorectal cancer is the third most common cancer in both men and women. An estimated 136,000 cases of colorectal cancer are expected to occur in 2016.
Related Content
诊断性免疫组化是一系列用于识别组织异常、建立预后并提示治疗方式的技术。其基本原理是一种抗原-抗体结合反应,利用酶或荧光染料来标记抗体,呈现出组织或组织切片中特定抗原的位置和分布。
Diagnostic immunohistochemistry overview highlights its importance in cancer diagnosis and detecting infectious diseases in modern clinical pathology.
Global Trade Item Number
| SKU | GTIN |
|---|---|
| 275R-17 | 0841683132325 |
| 275R-18 | 0841683132332 |
| 275R-14 | 0841683132295 |
| 275R-15 | 0841683132301 |
| 275R-16 | 0841683132318 |



