Select a Size
About This Item
biological source
mouse
conjugate
unconjugated
antibody form
diluted ascites fluid
antibody product type
primary antibodies
clone
OV-TL 12/30, monoclonal
description
For In Vitro Diagnostic Use in Select Regions (See Chart)
form
buffered aqueous solution
species reactivity
human
packaging
vial of 0.1 mL concentrate (307M-94), vial of 0.5 mL concentrate (307M-95), bottle of 1.0 mL predilute (307M-97), vial of 1.0 mL concentrate (307M-96), bottle of 7.0 mL predilute (307M-98)
manufacturer/tradename
Cell Marque®
technique(s)
immunohistochemistry (formalin-fixed, paraffin-embedded sections): 1:100-1:500
isotype
IgG1κ
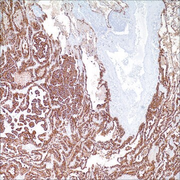
control
lung adenocarcinoma
shipped in
wet ice
storage temp.
2-8°C
visualization
cytoplasmic
Gene Information
human ... KRT7(3855)
General description
Physical form
Preparation Note
Analysis Note
![]() IVD | ![]() IVD | ![]() IVD | ![]() RUO |
Other Notes
Legal Information
Still not finding the right product?
Try our Product Selector Tool to narrow your options
Regulatory Information
This item has
Choose from one of the most recent versions:
Already Own This Product?
Find documentation for the products that you have recently purchased in the Document Library.
Articles
结直肠癌是男性和女性中第三大常见癌症。预计2016年将发生136,000例结直肠癌。
Colorectal cancer is the third most common cancer in both men and women. An estimated 136,000 cases of colorectal cancer are expected to occur in 2016.
Global Trade Item Number
| SKU | GTIN |
|---|---|
| 307M-94 | 0841683134671 |
| 307M-95 | 0841683134688 |
| 307M-96 | 0841683134695 |
| 307M-96-RUO | 04061836531355 |
| 307M-97 | 0841683134701 |
| 307M-98 | 0841683134718 |



