Sign In to View Organizational & Contract Pricing.
Select a Size
Change View
About This Item
NACRES:
NA.41
UNSPSC Code:
12352203
Conjugate:
unconjugated
Clone:
6F-H2, monoclonal
Application:
IHC (p)
Citations:
10
biological source
mouse
conjugate
unconjugated
antibody form
culture supernatant
antibody product type
primary antibodies
clone
6F-H2, monoclonal
description
For In Vitro Diagnostic Use in Select Regions (See Chart)
form
buffered aqueous solution
species reactivity
human
packaging
vial of 0.1 mL concentrate (348M-94), vial of 0.5 mL concentrate (348M-95), bottle of 1.0 mL predilute (348M-97), vial of 1.0 mL concentrate (348M-96), bottle of 7.0 mL predilute (348M-98)
manufacturer/tradename
Cell Marque®
technique(s)
immunohistochemistry (formalin-fixed, paraffin-embedded sections): 1:100-1:500
isotype
IgG1κ
control
kidney, mesothelioma, ovarian carcinoma (serous), testis
shipped in
wet ice
storage temp.
2-8°C
visualization
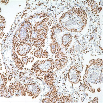
nuclear
Gene Information
human ... WT1(7490)
General description
Wilms’ tumor 1 protein (WT1) is a zinc finger transcription factor, normally expressed intissues of mesodermal origin. The Wilms’ tumor gene encodes a protein that functionsas a tumor suppressor gene mapped to human chromosome 11p13.2 Nuclear WT1immunoreactivity has been observed in high frequencies in several types of mesoderm-derived tumors including epithelioid mesothelioma and ovarian serous carcinoma and thus isused as a marker for these neoplasms.
Physical form
Solution in Tris Buffer, pH 7.3-7.7, with 1% BSA and <0.1% Sodium Azide
Preparation Note
Download the IFU specific to your product lot and formatNote: This requires a keycode which can be found on your packaging or product label.
Analysis Note
![]() IVD | ![]() IVD | ![]() IVD | ![]() RUO |
Other Notes
For Technical Service please contact: 800-665-7284 or email: service@cellmarque.com
WT-1 Positive Control Slides, Product No. 348S, are available for immunohistochemistry (formalin-fixed, paraffin-embedded sections).
Legal Information
Cell Marque is a registered trademark of Merck KGaA, Darmstadt, Germany
Still not finding the right product?
Try our Product Selector Tool to narrow your options
Regulatory Information
监管及禁止进口产品
This item has
Choose from one of the most recent versions:
Already Own This Product?
Find documentation for the products that you have recently purchased in the Document Library.
Rena J May et al.
Clinical cancer research : an official journal of the American Association for Cancer Research, 13(15 Pt 1), 4547-4555 (2007-08-03)
Wilms' tumor 1 protein (WT1), a transcription factor overexpressed in malignant mesothelioma, leukemias, and other solid tumors, is an ideal target for immunotherapy. WT1 class I peptide epitopes that were identified and shown to stimulate CD8(+) T cells are being
M A Ghanem et al.
Clinical cancer research : an official journal of the American Association for Cancer Research, 6(11), 4265-4271 (2000-12-06)
Wilms' tumor is one of the most common solid tumors of children. The protein product of the tumor-suppressor gene, Wilms' tumor 1 (WT-1), binds to the same DNA sequences as the protein product of the early growth response 1 (EGR-1)
Nelson G Ordóñez
Archives of pathology & laboratory medicine, 129(11), 1407-1414 (2005-10-29)
Several new immunohistochemical markers that can assist in the diagnosis of mesotheliomas have been recognized recently. This article reviews the current information available on these markers and also provides a practical approach to the immunohistochemical diagnosis of epithelioid mesotheliomas. Current
Global Trade Item Number
| SKU | GTIN |
|---|---|
| 348M-95 | 0841683137764 |
| 348M-96 | 0841683137771 |
| 348M-97 | 0841683137788 |
| 348M-98 | 0841683137795 |
| 348M-94 | 0841683137757 |
| 348M-96-RUO | 04061836533311 |



