Skip to Content
Merck
CN

R3779

Anti-RbAp48/RbAp46 antibody produced in rabbit

IgG fraction of antiserum, buffered aqueous solution

Synonym(s):

Anti-Retinoblastoma-binding protein

Sign In to View Organizational & Contract Pricing.

Select a Size

Change View

About This Item

UNSPSC Code:
12352203
NACRES:
NA.41
MDL number:
Conjugate:
unconjugated
Clone:
polyclonal
Application:
ARR, IF, WB
Citations:
4
Technical Service
Need help? Our team of experienced scientists is here for you.
Let Us Assist


biological source

rabbit

Quality Level

conjugate

unconjugated

antibody form

IgG fraction of antiserum

antibody product type

primary antibodies

clone

polyclonal

form

buffered aqueous solution

mol wt

antigen 46 kDa (RbAp46), antigen 48 kDa (RbAp48)

species reactivity

human

technique(s)

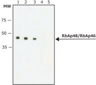
indirect immunofluorescence: 1:500-1:1,000 using human HeLa cells fixed with paraformaldehyde-Triton, microarray: suitable, western blot: 1:2,000-1:4,000 using MCF7 nuclear extracts

UniProt accession no.

shipped in

dry ice

storage temp.

−20°C

target post-translational modification

unmodified

Gene Information

General description

pRB-associated proteins p48 (RbAp48) is a 425 amino acids WD-domain protein isolated as a RB1 (retinoblastoma binding protein). RbAp46 (also known as RBBP7- retinoblastoma-binding protein 7) has 89% amino acid identity with RbAp48.

Immunogen

synthetic peptide corresponding to amino acids 413-425 of human RbAp48, conjugated to KLH via an N-terminal added lysine residue. The immunizing peptide is conserved in human, mouse, and rat.

Application

Anti-RbAp48/RbAp46 antibody produced in rabbit has been used in immunoblotting and immunofluorescence.

Biochem/physiol Actions

RbAp46 and RbAp48 are two histone tail-targeting proteins, that are found in association with chromatin remodeling complexes Sin3A/ histone deacetylase (HDAC) and NURD (nucleosomal remodeling and deacetylation complex). Transcriptional repressors exert their effects by recruitment of the Sin3A/HDAC corepressor complex, which contains a module composed of Sin3A, HDAC1, HDAC2, RbAp46, RbAp48, SAP30, and others. In the NuRD complex, HDAC1, HDAC2, RbAp48, and RbAp46 associate with MTA2 (metastasis associated 1 family member 2), MBD3 (methyl-CpG binding domain protein), MAT1L1, MBD3L1 (methyl-CpG binding domain protein 3 like 1), CHD3, and CHD4 to form the nucleosomal remodeling and deacetylation (NuRD) complex.

Physical form

Solution in 0.01 M phosphate buffered saline, pH 7.4, containing 15 mM sodium azide.

Disclaimer

Unless otherwise stated in our catalog or other company documentation accompanying the product(s), our products are intended for research use only and are not to be used for any other purpose, which includes but is not limited to, unauthorized commercial uses, in vitro diagnostic uses, ex vivo or in vivo therapeutic uses or any type of consumption or application to humans or animals.


Still not finding the right product?

Try our Product Selector Tool to narrow your options


Storage Class

10 - Combustible liquids

wgk

WGK 3

flash_point_f

Not applicable

flash_point_c

Not applicable

ppe

Eyeshields, Gloves, multi-purpose combination respirator cartridge (US)

Regulatory Information

常规特殊物品
低风险生物材料

This item has



Choose from one of the most recent versions:

Certificates of Analysis (COA)

Lot/Batch Number

Don't see the Right Version?

If you require a particular version, you can look up a specific certificate by the Lot or Batch number.

Already Own This Product?

Find documentation for the products that you have recently purchased in the Document Library.

Visit the Document Library


Related Content


Identification and Characterization of Three New Components of the mSin3A Corepressor Complex
Fleischer TC, et al.
Molecular and Cellular Biology, 23, 3456-3467 (2003)
The strategy of fusion genes construction determines efficient expression of introduced transcription factors.
Adamus T, et al.
Acta Biochimica Polonica, 61(4) (2014)
Seung-Gi Jin et al.
The Journal of biological chemistry, 280(13), 12700-12709 (2005-02-11)
MBD2 and MBD3 are two proteins that contain methyl-CpG binding domains and have a transcriptional repression function. Both proteins are components of a large CpG-methylated DNA binding complex named MeCP1, which consists of the nucleosome remodeling and histone deacetylase complex



Global Trade Item Number

SKUGTIN
R3779-200UL04061838107060