Skip to Content
Merck
CN

R4154

Anti-RbAp46, N-terminal antibody produced in rabbit

IgG fraction of antiserum, buffered aqueous solution

Synonym(s):

Anti-RBBP7, Anti-Retinoblastoma-binding Protein 7

Sign In to View Organizational & Contract Pricing.

Select a Size

Change View

About This Item

UNSPSC Code:
12352203
NACRES:
NA.41
MDL number:
Conjugate:
unconjugated
Clone:
polyclonal
Application:
IF, WB
Citations:
1
Technical Service
Need help? Our team of experienced scientists is here for you.
Let Us Assist


biological source

rabbit

conjugate

unconjugated

antibody form

IgG fraction of antiserum

antibody product type

primary antibodies

clone

polyclonal

form

buffered aqueous solution

mol wt

antigen 46 kDa

species reactivity

human

technique(s)

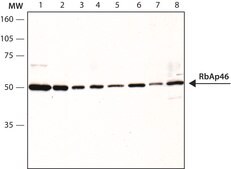
indirect immunofluorescence: 1:200-1:400 using human HeLa cells fixed with paraformaldehyde/Triton, western blot: 1:1,000-1:2,000 μg/mL using nuclear extracts of human HeLa cells

UniProt accession no.

shipped in

dry ice

storage temp.

−20°C

target post-translational modification

unmodified

Gene Information

human ... RBBP7(5931)

General description

Retinoblastoma-associated binding protein 46 (RbAp46), also referred to as retinoblastoma-binding protein 7 (RBBP7) has 89% amino acid identity with RbAp48. This nuclear protein belongs to the WD-repeat protein family. It has four repeats that ends with Trp-Asp(WD) residues. RbAp46 is an important constituent of the histone modifying and remodeling complexes. RbAp46 gene is located on human chromosome Xp22.13

Immunogen

synthetic peptide corresponding to amino acids 1-14 of human RbAp46, conjugated to KLH via a C-terminal added cysteine residue. The sequence differs in mice by one amino acid.

Application

Anti-RbAp46, N-terminal antibody produced in rabbit may be used in immunoblotting and immunofluorescence.

Biochem/physiol Actions

Anti-RbAp46, N-terminal specifically recognizes human RbAp46.
Retinoblastoma-associated binding protein 46 (RbAp46) plays an important role in the modification and remodeling of chromatin during cell growth and differentiation. It is associated with the nucleosomal remodeling and deacetylation complex (NURD). It may also play a key role in histone deacetylation and transcription repression.

Physical form

Solution in 0.01 M phosphate buffered saline, pH 7.4, containing 15 mM sodium azide.

Preparation Note

For continuous use, store at 2-8 °C for up to one month. For extended storage, freeze in working aliquots. Repeated freezing and thawing is not recommended. Storage in frost-free freezers is also not recommended. If slight turbidity occurs upon prolonged storage, clarify the solution by centrifugation before use. Working dilutions should be discarded if not used within 12 hours.

Disclaimer

Unless otherwise stated in our catalog or other company documentation accompanying the product(s), our products are intended for research use only and are not to be used for any other purpose, which includes but is not limited to, unauthorized commercial uses, in vitro diagnostic uses, ex vivo or in vivo therapeutic uses or any type of consumption or application to humans or animals.


Still not finding the right product?

Try our Product Selector Tool to narrow your options


Storage Class

10 - Combustible liquids

wgk

WGK 3

flash_point_f

Not applicable

flash_point_c

Not applicable

ppe

Eyeshields, Gloves, multi-purpose combination respirator cartridge (US)

Regulatory Information

新产品

This item has



Choose from one of the most recent versions:

Certificates of Analysis (COA)

Lot/Batch Number

Don't see the Right Version?

If you require a particular version, you can look up a specific certificate by the Lot or Batch number.

Already Own This Product?

Find documentation for the products that you have recently purchased in the Document Library.

Visit the Document Library


Related Content


The role of retinoblastoma-associated proteins 46 and 48 in estrogen receptor alpha mediated gene expression
Creekmore AL, et al.
Molecular and Cellular Endocrinology, 291(1-2), 79-86 (2008)



Global Trade Item Number

SKUGTIN
R4154-200UL04061838107077