Skip to Content
Merck
CN

AV40185

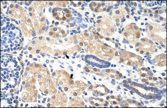
Anti-PRMT5 antibody produced in rabbit

IgG fraction of antiserum

Synonym(s):

Anti-Protein arginine methyltransferase 5

Sign In to View Organizational & Contract Pricing.

Select a Size

Change View

About This Item

NACRES:
NA.41
UNSPSC Code:
12352203
Conjugate:
unconjugated
Clone:
polyclonal
Application:
IHC, WB
Citations:
-
Technical Service
Need help? Our team of experienced scientists is here for you.
Let Us Assist


biological source

rabbit

Quality Level

conjugate

unconjugated

antibody form

IgG fraction of antiserum

antibody product type

primary antibodies

clone

polyclonal

form

buffered aqueous solution

mol wt

68 kDa

species reactivity

rat, horse, guinea pig, rabbit, mouse, human, dog

concentration

0.5 mg - 1 mg/mL

technique(s)

immunohistochemistry: suitable, western blot: suitable

NCBI accession no.

UniProt accession no.

shipped in

wet ice

storage temp.

−20°C

target post-translational modification

unmodified

Gene Information

human ... PRMT5(10419)

Immunogen

Synthetic peptide directed towards the N terminal region of human PRMT5

Biochem/physiol Actions

PRMT5 methylates specific arginine residues in the small nuclear ribonucleoproteins Sm D1 and Sm D3 to monomethylarginine and to symmetrical dimethylarginines (sDMAs). It methylates SUPT5H. PRMT5 plays a role in the assembly of snRNP core particles and may play a role in cytokine-activated transduction pathways. It negatively regulates cyclin E1 promoter activity and cellular proliferation and May regulate the SUPT5H transcriptional elongation properties. It may be part of a pathway that is connected to a chloride current, possibly through cytoskeletal rearrangement. PRMT5 methylates histone H2A/H4 ′Arg-3′ during germ cell development and methylates histone H3 ′Arg-8′, which may repress transcription.

Physical form

Purified antibody supplied in 1x PBS buffer with 0.09% (w/v) sodium azide and 2% sucrose.

Other Notes

Synthetic peptide located within the following region: FDFLCMPVFHPRFKREFIQEPAKNRPGPQTRSDLLLSGRDWNTLIVGKLS

Disclaimer

Unless otherwise stated in our catalog or other company documentation accompanying the product(s), our products are intended for research use only and are not to be used for any other purpose, which includes but is not limited to, unauthorized commercial uses, in vitro diagnostic uses, ex vivo or in vivo therapeutic uses or any type of consumption or application to humans or animals.


Still not finding the right product?

or

Try our Product Selector Tool to narrow your options


Storage Class

10 - Combustible liquids

wgk

WGK 3

flash_point_f

Not applicable

flash_point_c

Not applicable

Regulatory Information

常规特殊物品
低风险生物材料

This item has



Choose from one of the most recent versions:

Certificates of Analysis (COA)

Lot/Batch Number

Don't see the Right Version?

If you require a particular version, you can look up a specific certificate by the Lot or Batch number.

Already Own This Product?

Find documentation for the products that you have recently purchased in the Document Library.

Visit the Document Library



Global Trade Item Number

SKUGTIN
AV40185-100UL04061836210625