Skip to Content
Merck
CN

AV45170

Anti-CDH3 antibody produced in rabbit

IgG fraction of antiserum

Synonym(s):

Anti-PCAD, Anti-CDHP, Anti-Cadherin 3, type 1, P-cadherin (placental), Anti-HJMD

Sign In to View Organizational & Contract Pricing.

Select a Size

Change View

About This Item

NACRES:
NA.41
UNSPSC Code:
12352203
Conjugate:
unconjugated
Clone:
polyclonal
Application:
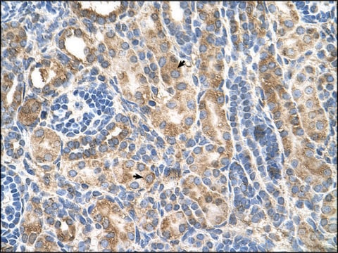
IHC, WB
Citations:
-
Technical Service
Need help? Our team of experienced scientists is here for you.
Let Us Assist


biological source

rabbit

Quality Level

conjugate

unconjugated

antibody form

IgG fraction of antiserum

antibody product type

primary antibodies

clone

polyclonal

form

buffered aqueous solution

mol wt

91 kDa

species reactivity

human, mouse

concentration

0.5 mg - 1 mg/mL

technique(s)

immunohistochemistry: suitable, western blot: suitable

NCBI accession no.

UniProt accession no.

shipped in

wet ice

storage temp.

−20°C

target post-translational modification

unmodified

Gene Information

human ... CDH3(1001)

General description

Cadherins, calcium-dependent adhesion molecules, are a class of type-1 transmembrane proteins involved in cell adhesion where in they ensure that cells within tissues are bound together. P-cadherin (placental) (CDH3) is an adhesion glycoprotein comprised of five extracellular cadherin repeats, a transmembrane region and a highly conserved cytoplasmic tail. CDH3 (gene) interacts with other molecules including CDH1, β-catenin, plakoglobin, nephrin and catenin (cadherin-associated protein), α 1. Mutated P-cadherin (placental) has been associated with congential hypotrichosis with juvenile macular dystrophy.

Immunogen

Synthetic peptide directed towards the N terminal region of human CDH3

Application

Anti-CDH3 polyclonal antibody is used to tag placental-specific cadherin proteins for detection and quantitation by Western blotting and in cells and tissues by immunohistochemical (IHC) techniques. It is used as a probe to study the role of P-cadherin in cell adhesion and protein:protein interactions.

Biochem/physiol Actions

Anti-CDH3 polyclonal antibody reacts with pig, mouse, human, and bovine P-cadherin proteins.
CDH3 is a classical cadherin from the cadherin superfamily. The protein is a calcium-dependent cell-cell adhesion glycoprotein comprised of five extracellular cadherin repeats, a transmembrane region and a highly conserved cytoplasmic tail. Its gene is located in a six-cadherin cluster in a region on the long arm of chromosome 16 that is involved in loss of heterozygosity events in breast and prostate cancer. In addition, aberrant expression of this protein is observed in cervical adenocarcinomas. Mutations in its gene have been associated with congential hypotrichosis with juvenile macular dystrophy.This gene is a classical cadherin from the cadherin superfamily. The encoded protein is a calcium-dependent cell-cell adhesion glycoprotein comprised of five extracellular cadherin repeats, a transmembrane region and a highly conserved cytoplasmic tail. This gene is located in a six-cadherin cluster in a region on the long arm of chromosome 16 that is involved in loss of heterozygosity events in breast and prostate cancer. In addition, aberrant expression of this protein is observed in cervical adenocarcinomas. Mutations in this gene have been associated with congential hypotrichosis with juvenile macular dystrophy.

Physical form

Purified antibody supplied in 1x PBS buffer with 0.09% (w/v) sodium azide and 2% sucrose.

Other Notes

Synthetic peptide located within the following region: AVSENGASVEDPMNISIIVTDQNDHKPKFTQDTFRGSVLEGVLPGTSVMQ

Disclaimer

Unless otherwise stated in our catalog or other company documentation accompanying the product(s), our products are intended for research use only and are not to be used for any other purpose, which includes but is not limited to, unauthorized commercial uses, in vitro diagnostic uses, ex vivo or in vivo therapeutic uses or any type of consumption or application to humans or animals.


Still not finding the right product?

or

Try our Product Selector Tool to narrow your options


Storage Class

10 - Combustible liquids

wgk

WGK 3

flash_point_f

Not applicable

flash_point_c

Not applicable

Regulatory Information

低风险生物材料
常规特殊物品

This item has



Choose from one of the most recent versions:

Certificates of Analysis (COA)

Lot/Batch Number

Don't see the Right Version?

If you require a particular version, you can look up a specific certificate by the Lot or Batch number.

Already Own This Product?

Find documentation for the products that you have recently purchased in the Document Library.

Visit the Document Library



Global Trade Item Number

SKUGTIN
AV45170-100UL04061836213787