Skip to Content
Merck
CN

AV47469

Anti-SerPINE1 (AB1) antibody produced in rabbit

affinity isolated antibody

Synonym(s):

Anti-PAI, Anti-PAI-1, Anti-PAI1, Anti-PLANH1, Anti-Serpin peptidaSe inhibitor, clade E , member 1

Sign In to View Organizational & Contract Pricing.

Select a Size

Change View

About This Item

UNSPSC Code:
12352203
NACRES:
NA.41
MDL number:
Conjugate:
unconjugated
Clone:
polyclonal
Application:
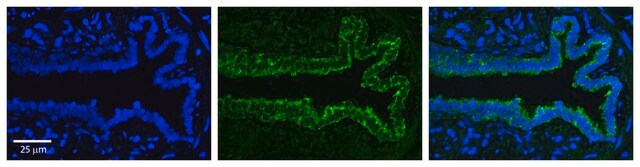
IHC, WB
Citations:
3
Technical Service
Need help? Our team of experienced scientists is here for you.
Let Us Assist


biological source

rabbit

Quality Level

conjugate

unconjugated

antibody form

affinity isolated antibody

antibody product type

primary antibodies

clone

polyclonal

form

buffered aqueous solution

mol wt

43 kDa

species reactivity

bovine, mouse, rabbit, rat, pig, human, sheep

concentration

0.5 mg - 1 mg/mL

technique(s)

immunohistochemistry: suitable, western blot: suitable

NCBI accession no.

UniProt accession no.

shipped in

wet ice

storage temp.

−20°C

target post-translational modification

unmodified

Gene Information

human ... SERPINE1(5054)

General description

SerPINE1 is a serine proteinase inhibitor that blocks fibrinolysis by inhibiting tissue plasminogen activator (tPA) and urokinase (uPA). Genetic variations in SERPINE1 have been linked to pre-eclampsia (PE). Studies have reported that targeting SERPINE1 (PAI-1) expression in Alzheimer′s disease may have therapeutic implications. Moreover, MiR-34c regulates SERPINE1 expression in emphysema.
Rabbit Anti-SerPINE1 antibody recognizes pig, human, mouse, rat, and bovine SERPINE1.

Immunogen

Synthetic peptide directed towards the N terminal region of human SERPINE1

Application

Rabbit Anti-SerPINE1 antibody is suitable for western blot applications at a concentration of 1 μg/ml.

Biochem/physiol Actions

SERPINE1 acts as ′bait′ for tissue plasminogen activator, urokinase, and protein C. Its rapid interaction with TPA may function as a major control point in the regulation of fibrinolysis.

Physical form

Purified antibody supplied in 1x PBS buffer with 0.09% (w/v) sodium azide and 2% sucrose.

Other Notes

Synthetic peptide located within the following region: VAHLASDFGVRVFQQVAQASKDRNVVFSPYGVASVLAMLQLTTGGETQQQ

Disclaimer

Unless otherwise stated in our catalog or other company documentation accompanying the product(s), our products are intended for research use only and are not to be used for any other purpose, which includes but is not limited to, unauthorized commercial uses, in vitro diagnostic uses, ex vivo or in vivo therapeutic uses or any type of consumption or application to humans or animals.


Still not finding the right product?

Try our Product Selector Tool to narrow your options


Storage Class

10 - Combustible liquids

wgk

WGK 3

flash_point_f

Not applicable

flash_point_c

Not applicable

Regulatory Information

常规特殊物品
低风险生物材料

This item has



Choose from one of the most recent versions:

Certificates of Analysis (COA)

Lot/Batch Number

Don't see the Right Version?

If you require a particular version, you can look up a specific certificate by the Lot or Batch number.

Already Own This Product?

Find documentation for the products that you have recently purchased in the Document Library.

Visit the Document Library



Santiyagu M Savarimuthu Francis et al.
BMC genomics, 15, 88-88 (2014-02-01)
MicroRNAs (MiRNA) are small non-coding RNAs that regulate gene expression. The aim of this study was to identify miRNAs differentially expressed between mild and moderately emphysematous lung, as well as their functional target mRNAs. Resected lung from patients with COPD
Linlu Zhao et al.
Molecular human reproduction, 19(3), 136-143 (2012-11-28)
The SERPINE1 -675 4G/5G promoter region insertion/deletion polymorphism (rs1799889) has been implicated in the pathogenesis of pre-eclampsia (PE), but the genetic association has been inconsistently replicated. To derive a more precise estimate of the association, a systematic review and meta-analysis
Stacie M Kutz et al.
Molecular Medicine & Therapeutics, 1(2), 106-106 (2013-07-13)
Accumulation of neurotoxic amyloid peptides (Aβ) in the brain, generated by β-site proteolytic processing of the amyloid precursor protein (APP), is the hallmark pathophysiologic feature of Alzheimer's disease. The plasmin-activating cascade, in which urokinase (uPA) and tissue-type (tPA) plasminogen activators



Global Trade Item Number

SKUGTIN
AV47469-100UL04061836218287