Sign In to View Organizational & Contract Pricing.
Select a Size
Change View
About This Item
NACRES:
NA.75
UNSPSC Code:
12352207
form
solution
usage
100 mL differentiation medium
technique(s)
cell culture | mammalian: suitable
shipped in
wet ice
storage temp.
−20°C
General description
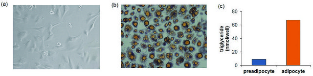
3T3-L1 cells are derived from mouse 3T3 cells and provide a widely-used fundamental model in the study of adipose physiology and metabolic diseases. They exhibit a fibroblast-like morphology before differentiation but become rounded and accumulate lipid droplets several days after the initiation of differentiation. The accumulated lipid droplets can be visualized by light microscopy. The in vitro differentiated 3T3-L1 adipocytes result in characteristics similar to tissue-derived adipocytes and have been commonly used to study adipogenesis, lipolysis, and metabolic dysfunctions. The 3T3-L1 Differentiation Kit provides enough supplements to make 100 ml of differentiation medium and 600 ml of maintenance medium which is sufficient material for 12 100 mm culture dishes.
Application
3T3-L1 DIFFERENTIATION KIT has been used in:
- Differentiation of 3T3-L1 preadipocytes to adipocytes.
- Study of obesity, adipogenesis, lipolysis and lipid metabolism
- Differentiation of 3T3-L1 preadipocytes to adipocytes
- Study of obesity, adipogenesis, lipolysis and lipid metabolism.
Preparation Note
Insulin (1.5 mg/ml) 0.6 ml (Catalog Number DIF001A, Green Cap)
Differentiation Cocktail, 1000x (lyophilized) 1 vl (Catalog Number DIF001B, Yellow Cap)
DMSO (anhydrous) 0.5 ml (Catalog Number DIF001C, Blue Cap)
Differentiation Cocktail, 1000x (lyophilized) 1 vl (Catalog Number DIF001B, Yellow Cap)
DMSO (anhydrous) 0.5 ml (Catalog Number DIF001C, Blue Cap)
Store the kit at −20 °C, protected from light.
signalword
Danger
hcodes
Hazard Classifications
Repr. 1B
Storage Class
6.1C - Combustible acute toxic Cat.3 / toxic compounds or compounds which causing chronic effects
wgk
WGK 3
Regulatory Information
监管及禁止进口产品
This item has
Choose from one of the most recent versions:
Already Own This Product?
Find documentation for the products that you have recently purchased in the Document Library.
Related Content
Fuu-Jen Tsai et al.
Frontiers in pharmacology, 9, 1004-1004 (2018-09-21)
Antiretroviral (ART) drugs has previously been associated with lipodystrophic syndrome, metabolic consequences, and neuropsychiatric complications. ART drugs include three main classes of protease inhibitors (PIs), nucleoside analog reverse transcriptase inhibitors (NRTIs), and non-nucleoside reverse transcriptase inhibitors (NNRTIs). Our previous work
Jérémie Gautheron et al.
Nature communications, 7, 11869-11869 (2016-06-22)
Receptor-interacting protein kinase 3 (RIPK3) mediates necroptosis, a form of programmed cell death that promotes inflammation in various pathological conditions, suggesting that it might be a privileged pharmacological target. However, its function in glucose homeostasis and obesity has been unknown.
Global Trade Item Number
| SKU | GTIN |
|---|---|
| DIF001-1KT | 04061834367048 |
