Skip to Content
Merck
CN

HPA001644

Anti-MYH9 antibody produced in rabbit

Prestige Antibodies® Powered by Atlas Antibodies, affinity isolated antibody, buffered aqueous glycerol solution

Synonym(s):

Anti-Cellular myosin heavy chain, type A antibody produced in rabbit, Anti-Myosin heavy chain 9 antibody produced in rabbit, Anti-Myosin heavy chain, nonmuscle IIa antibody produced in rabbit, Anti-Myosin-9 antibody produced in rabbit, Anti-NMMHC II-a antibody produced in rabbit, Anti-NMMHC-A antibody produced in rabbit, Anti-NMMHC-IIA antibody produced in rabbit, Anti-Nonmuscle myosin heavy chain IIa antibody produced in rabbit, Anti-Nonmuscle myosin heavy chain-A antibody produced in rabbit

Sign In to View Organizational & Contract Pricing.

Select a Size

Change View

About This Item

UNSPSC Code:
12352203
NACRES:
NA.41
Human Protein Atlas Number:
Conjugate:
unconjugated
Clone:
polyclonal
Application:
IF, IHC
Citations:
7
Technical Service
Need help? Our team of experienced scientists is here for you.
Let Us Assist


biological source

rabbit

Quality Level

conjugate

unconjugated

antibody form

affinity isolated antibody

antibody product type

primary antibodies

clone

polyclonal

product line

Prestige Antibodies® Powered by Atlas Antibodies

form

buffered aqueous glycerol solution

species reactivity

human

enhanced validation

orthogonal RNAseq
independent
Learn more about Antibody Enhanced Validation

technique(s)

immunofluorescence: 0.25-2 μg/mL, immunohistochemistry: 1:500-1:1000

immunogen sequence

REQEVNILKKTLEEEAKTHEAQIQEMRQKHSQAVEELAEQLEQTKRVKANLEKAKQTLENERGELANEVKVLLQGKGDSEHKRKKVEAQLQELQVKFNEGERVRTELADKVTKLQVELDNVTGLLSQSDSKSSKLTKDF

UniProt accession no.

shipped in

wet ice

storage temp.

−20°C

target post-translational modification

unmodified

Gene Information

human ... MYH9(4627)

Immunogen

Myosin-9 recombinant protein epitope signature tag (PrEST)

Application

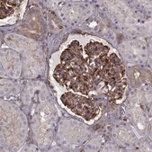
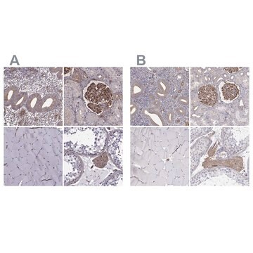
Anti-MYH9 antibody produced in rabbit, a Prestige Antibody, is developed and validated by the Human Protein Atlas (HPA) project . Each antibody is tested by immunohistochemistry against hundreds of normal and disease tissues. These images can be viewed on the Human Protein Atlas (HPA) site by clicking on the Image Gallery link. The antibodies are also tested using immunofluorescence and western blotting. To view these protocols and other useful information about Prestige Antibodies and the HPA, visit sigma.com/prestige.

Biochem/physiol Actions

Myosin, heavy chain 9, non-muscle is a protein encoded by the MYH9 gene in humans and is mapped to chromosome 22q11.2. The gene encodes for the nonmuscle myosin heavy chain IIA. Mutation in this gene may cause autosomal dominant disorders such as Epstein syndrome, Sebastian syndrome, Fechthner syndrome and May-Hegglin anomaly (characterized by thrombocytopenia with giant platelets, inclusion bodies in granulocytes and variable levels of deafness, disturbances of vision and renal function impairment).

Features and Benefits

Prestige Antibodies® are highly characterized and extensively validated antibodies with the added benefit of all available characterization data for each target being accessible via the Human Protein Atlas portal linked just below the product name at the top of this page. The uniqueness and low cross-reactivity of the Prestige Antibodies® to other proteins are due to a thorough selection of antigen regions, affinity purification, and stringent selection. Prestige antigen controls are available for every corresponding Prestige Antibody and can be found in the linkage section.

Every Prestige Antibody is tested in the following ways:
  • IHC tissue array of 44 normal human tissues and 20 of the most common cancer type tissues.
  • Protein array of 364 human recombinant protein fragments.

Physical form

Solution in phosphate-buffered saline, pH 7.2, containing 40% glycerol and 0.02% sodium azide

Other Notes

Corresponding Antigen APREST84526

Legal Information

Prestige Antibodies is a registered trademark of Merck KGaA, Darmstadt, Germany

Disclaimer

Unless otherwise stated in our catalog or other company documentation accompanying the product(s), our products are intended for research use only and are not to be used for any other purpose, which includes but is not limited to, unauthorized commercial uses, in vitro diagnostic uses, ex vivo or in vivo therapeutic uses or any type of consumption or application to humans or animals.


Still not finding the right product?

Try our Product Selector Tool to narrow your options


Storage Class

10 - Combustible liquids

wgk

WGK 1

flash_point_f

Not applicable

flash_point_c

Not applicable

ppe

Eyeshields, Gloves, multi-purpose combination respirator cartridge (US)

Regulatory Information

低风险生物材料
常规特殊物品
常规特殊物品

This item has



Choose from one of the most recent versions:

Certificates of Analysis (COA)

Lot/Batch Number

Don't see the Right Version?

If you require a particular version, you can look up a specific certificate by the Lot or Batch number.

Already Own This Product?

Find documentation for the products that you have recently purchased in the Document Library.

Visit the Document Library


Related Content

Prestige Antibodies Immunofluorescence Procedure


Yinyan Sun et al.
Journal of virology, 88(1), 237-248 (2013-10-25)
Severe fever with thrombocytopenia syndrome virus (SFTSV) is a novel phlebovirus in the Bunyaviridae family. Most patients infected by SFTSV present with fever and thrombocytopenia, and up to 30% die due to multiple-organ dysfunction. The mechanisms by which SFTSV enters
Rui Guo et al.
Journal of virology, 90(10), 5163-5175 (2016-03-18)
Intercellular nanotube connections have been identified as an alternative pathway for cellular spreading of certain viruses. In cells infected with porcine reproductive and respiratory syndrome virus (PRRSV), nanotubes were observed connecting two distant cells with contiguous membranes, with the core
Rikke Raaen Lund et al.
Proteomics, 12(13), 2139-2148 (2012-05-25)
The development of metastasis is a complex, multistep process that remains poorly defined. To identify proteins involved in the colonization phase of the metastatic process, we compared the proteome of tumors derived from inoculation of a panel of isogenic human



Global Trade Item Number

SKUGTIN
HPA001644-25UL04061842773640
HPA001644-100UL04061837133046