Skip to Content
Merck
CN

HPA002242

Anti-CALR antibody produced in rabbit

Prestige Antibodies® Powered by Atlas Antibodies, affinity isolated antibody, buffered aqueous glycerol solution

Synonym(s):

Anti-CRP55 antibody produced in rabbit, Anti-Calregulin antibody produced in rabbit, Anti-Calreticulin precursor antibody produced in rabbit, Anti-ERp60 antibody produced in rabbit, Anti-HACBP antibody produced in rabbit, Anti-grp60 antibody produced in rabbit

Sign In to View Organizational & Contract Pricing.

Select a Size

Change View

About This Item

UNSPSC Code:
12352203
NACRES:
NA.41
Human Protein Atlas Number:
Conjugate:
unconjugated
Clone:
polyclonal
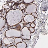
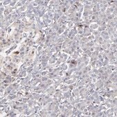
Application:
IHC
Citations:
8
Technical Service
Need help? Our team of experienced scientists is here for you.
Let Us Assist


biological source

rabbit

Quality Level

conjugate

unconjugated

antibody form

affinity isolated antibody

antibody product type

primary antibodies

clone

polyclonal

product line

Prestige Antibodies® Powered by Atlas Antibodies

form

buffered aqueous glycerol solution

species reactivity

mouse, human, rat

enhanced validation

orthogonal RNAseq
Learn more about Antibody Enhanced Validation

technique(s)

immunoblotting: 0.04-0.4 μg/mL, immunohistochemistry: 1:200-1:500

immunogen sequence

EQNIDCGGGYVKLFPNSLDQTDMHGDSEYNIMFGPDICGPGTKKVHVIFNYKGKNVLINKDIRCKDDEFTHLYTLIVRPDNTYEVKIDNSQVESGSLEDDWDFLPPKKIKDPDASKPEDWDERAKIDDPTDS

UniProt accession no.

shipped in

wet ice

storage temp.

−20°C

target post-translational modification

unmodified

Gene Information

human ... CALR(811)

General description

A molecular chaperone, calreticulin, is a calcium-binding protein. It plays a vital role in the folding of endoplasmic reticulum synthesized proteins. It is sensitive towards heat, food deprivation and chemical stress.

Immunogen

Calreticulin precursor recombinant protein epitope signature tag (PrEST)

Application

All Prestige Antibodies Powered by Atlas Antibodies are developed and validated by the Human Protein Atlas (HPA) project and as a result, are supported by the most extensive characterization in the industry.

The Human Protein Atlas project can be subdivided into three efforts: Human Tissue Atlas, Cancer Atlas, and Human Cell Atlas. The antibodies that have been generated in support of the Tissue and Cancer Atlas projects have been tested by immunohistochemistry against hundreds of normal and disease tissues and through the recent efforts of the Human Cell Atlas project, many have been characterized by immunofluorescence to map the human proteome not only at the tissue level but now at the subcellular level. These images and the collection of this vast data set can be viewed on the Human Protein Atlas (HPA) site by clicking on the Image Gallery link. We also provide Prestige Antibodies® protocols and other useful information.

Biochem/physiol Actions

Calreticulin (CALR) is associated with the nuclear export of protein kinase inhibitor (PKI). By interacting with the DNA-binding domain (DBD) of glucocorticoid receptor (GR), it stimulates the nuclear export. It can inhibit the binding of androgen receptor to its hormone-responsive DNA. It also restricts activity of retinoic acid receptor such as retinoic acid-induced neuronal differentiation and transcription. It increases the transcriptional activity of TTF-1 (thyroid transcription factor-1)-dependent promoters by binding to its homeodomain. This proves effect of calreticulin in thyroid gene expression.

Features and Benefits

Prestige Antibodies® are highly characterized and extensively validated antibodies with the added benefit of all available characterization data for each target being accessible via the Human Protein Atlas portal linked just below the product name at the top of this page. The uniqueness and low cross-reactivity of the Prestige Antibodies® to other proteins are due to a thorough selection of antigen regions, affinity purification, and stringent selection. Prestige antigen controls are available for every corresponding Prestige Antibody and can be found in the linkage section.

Every Prestige Antibody is tested in the following ways:
  • IHC tissue array of 44 normal human tissues and 20 of the most common cancer type tissues.
  • Protein array of 364 human recombinant protein fragments.

Physical form

Solution in phosphate-buffered saline, pH 7.2, containing 40% glycerol and 0.02% sodium azide

Other Notes

Corresponding Antigen APREST85923

Legal Information

Prestige Antibodies is a registered trademark of Merck KGaA, Darmstadt, Germany

Disclaimer

Unless otherwise stated in our catalog or other company documentation accompanying the product(s), our products are intended for research use only and are not to be used for any other purpose, which includes but is not limited to, unauthorized commercial uses, in vitro diagnostic uses, ex vivo or in vivo therapeutic uses or any type of consumption or application to humans or animals.


Still not finding the right product?

or

Try our Product Selector Tool to narrow your options


Storage Class

10 - Combustible liquids

wgk

WGK 1

flash_point_f

Not applicable

flash_point_c

Not applicable

ppe

Eyeshields, Gloves, multi-purpose combination respirator cartridge (US)

Regulatory Information

新产品

This item has



Choose from one of the most recent versions:

Certificates of Analysis (COA)

Lot/Batch Number

Don't see the Right Version?

If you require a particular version, you can look up a specific certificate by the Lot or Batch number.

Already Own This Product?

Find documentation for the products that you have recently purchased in the Document Library.

Visit the Document Library



M T Núñez et al.
Journal of cellular biochemistry, 82(4), 660-665 (2001-08-14)
Calreticulin, a molecular chaperone involved in the folding of endoplasmic reticulum synthesized proteins, is also a shock protein induced by heat, food deprivation, and chemical stress. Mobilferrin, a cytosolic isoform of calreticulin, has been proposed to be an iron carrier
J M Holaska et al.
The Journal of cell biology, 152(1), 127-140 (2001-01-10)
In previous work, we used a permeabilized cell assay that reconstitutes nuclear export of protein kinase inhibitor (PKI) to show that cytosol contains an export activity that is distinct from Crm1 (Holaska, J.M., and B.M. Paschal. 1995. Proc. Natl. Acad.
L Perrone et al.
The Journal of biological chemistry, 274(8), 4640-4645 (1999-02-13)
Transcription factors are often regulated by associated protein cofactors that are able to modify their activity by several different mechanisms. In this study we show that calreticulin, a Ca2+-binding protein with chaperone activity, binds to thyroid transcription factor-1 (TTF-1), a



Global Trade Item Number

SKUGTIN
HPA002242-100UL04061833814420