Skip to Content
Merck
CN

HPA002270

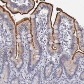
Anti-MGAM antibody produced in rabbit

Prestige Antibodies® Powered by Atlas Antibodies, affinity isolated antibody, buffered aqueous glycerol solution

Synonym(s):

Anti-Maltase-glucoamylase, intestinal antibody produced in rabbit

Sign In to View Organizational & Contract Pricing.

Select a Size

Change View

About This Item

UNSPSC Code:
12352203
NACRES:
NA.41
Human Protein Atlas Number:
Conjugate:
unconjugated
Clone:
polyclonal
Application:
IHC
Citations:
7
Technical Service
Need help? Our team of experienced scientists is here for you.
Let Us Assist


biological source

rabbit

Quality Level

conjugate

unconjugated

antibody form

affinity isolated antibody

antibody product type

primary antibodies

clone

polyclonal

product line

Prestige Antibodies® Powered by Atlas Antibodies

form

buffered aqueous glycerol solution

species reactivity

human

enhanced validation

orthogonal RNAseq
Learn more about Antibody Enhanced Validation

technique(s)

immunohistochemistry: 1:1000- 1:2500

immunogen sequence

VYLLCEFSVTQNRLEVNISQSTYKDPNNLAFNEIKILGTEEPSNVTVKHNGVPSQTSPTVTYDSNLKVAIITDIDLLLGEAYTVEWSIKIRDEEKIDCYPDENGASAENCTARGCIWEASNSSGVP

UniProt accession no.

shipped in

wet ice

storage temp.

−20°C

target post-translational modification

unmodified

Gene Information

human ... MGAM(8972)

General description

MGAM (maltase-glucoamylase) belongs to the members of the glycoside hydrolase 31 family (GH31). It has two catalytic domains at both the ends: N-terminal membrane-proximal domain (ntMGAM) and C-terminal luminal domain (ctMGAM).

Immunogen

Maltase-glucoamylase, intestinal recombinant protein epitope signature tag (PrEST)

Application

All Prestige Antibodies Powered by Atlas Antibodies are developed and validated by the Human Protein Atlas (HPA) project and as a result, are supported by the most extensive characterization in the industry.

The Human Protein Atlas project can be subdivided into three efforts: Human Tissue Atlas, Cancer Atlas, and Human Cell Atlas. The antibodies that have been generated in support of the Tissue and Cancer Atlas projects have been tested by immunohistochemistry against hundreds of normal and disease tissues and through the recent efforts of the Human Cell Atlas project, many have been characterized by immunofluorescence to map the human proteome not only at the tissue level but now at the subcellular level. These images and the collection of this vast data set can be viewed on the Human Protein Atlas (HPA) site by clicking on the Image Gallery link. We also provide Prestige Antibodies® protocols and other useful information.

Biochem/physiol Actions

MGAM (maltase-glucoamylase) is mainly involved in the terminal starch digestion and breakdown of dietary sugars. In addition to the exo-glucosidase activities against α-1,4-linked maltose substrates, it has additional activity towards α-1,6 linkages of starch branch points and α-1,2 linkage of sucrose.

Features and Benefits

Prestige Antibodies® are highly characterized and extensively validated antibodies with the added benefit of all available characterization data for each target being accessible via the Human Protein Atlas portal linked just below the product name at the top of this page. The uniqueness and low cross-reactivity of the Prestige Antibodies® to other proteins are due to a thorough selection of antigen regions, affinity purification, and stringent selection. Prestige antigen controls are available for every corresponding Prestige Antibody and can be found in the linkage section.

Every Prestige Antibody is tested in the following ways:
  • IHC tissue array of 44 normal human tissues and 20 of the most common cancer type tissues.
  • Protein array of 364 human recombinant protein fragments.

Physical form

Solution in phosphate-buffered saline, pH 7.2, containing 40% glycerol and 0.02% sodium azide

Other Notes

Corresponding Antigen APREST85131

Legal Information

Prestige Antibodies is a registered trademark of Merck KGaA, Darmstadt, Germany

Disclaimer

Unless otherwise stated in our catalog or other company documentation accompanying the product(s), our products are intended for research use only and are not to be used for any other purpose, which includes but is not limited to, unauthorized commercial uses, in vitro diagnostic uses, ex vivo or in vivo therapeutic uses or any type of consumption or application to humans or animals.


Still not finding the right product?

Try our Product Selector Tool to narrow your options


Storage Class

10 - Combustible liquids

wgk

WGK 1

flash_point_f

Not applicable

flash_point_c

Not applicable

ppe

Eyeshields, Gloves, multi-purpose combination respirator cartridge (US)

Regulatory Information

新产品

This item has



Choose from one of the most recent versions:

Certificates of Analysis (COA)

Lot/Batch Number

Don't see the Right Version?

If you require a particular version, you can look up a specific certificate by the Lot or Batch number.

Already Own This Product?

Find documentation for the products that you have recently purchased in the Document Library.

Visit the Document Library



K E C Elliott et al.
Poultry science, 98(10), 4492-4497 (2019-06-11)
In ovo vaccination is currently being considered as a means of delivery for live Mycoplasma gallisepticum (MG) vaccines. This study was performed to determine the transmissibility of strain F MG (FMG) from in ovo-vaccinated chicks to non-vaccinated pen mates. Eggs
Patharee Oungsakul et al.
Veterinary sciences, 8(3) (2021-03-07)
Visceral hemangiosarcoma (HSA) is one of the more frequent cancers in dogs and has a high metastatic rate and poor prognosis, as clinical signs only become apparent in advanced stages of tumor development. In order to improve early and differential
Lyann Sim et al.
Journal of molecular biology, 375(3), 782-792 (2007-11-27)
Human maltase-glucoamylase (MGAM) is one of the two enzymes responsible for catalyzing the last glucose-releasing step in starch digestion. MGAM is anchored to the small-intestinal brush-border epithelial cells and contains two homologous glycosyl hydrolase family 31 catalytic subunits: an N-terminal



Global Trade Item Number

SKUGTIN
HPA002270-100UL04061836319397
HPA002270-25UL04061842781065