Skip to Content
Merck
CN

HPA003565

Anti-PAK1 antibody produced in rabbit

Prestige Antibodies® Powered by Atlas Antibodies, affinity isolated antibody, buffered aqueous glycerol solution

Synonym(s):

Anti-Alpha-PAK, Anti-PAK-1, Anti-Serine/threonine-protein kinase PAK 1, Anti-p21-activated kinase 1, Anti-p65-PAK

Sign In to View Organizational & Contract Pricing.

Select a Size

Change View

About This Item

UNSPSC Code:
12352203
NACRES:
NA.41
MDL number:
Human Protein Atlas Number:
Conjugate:
unconjugated
Clone:
polyclonal
Application:
IF, IHC
Citations:
7
Technical Service
Need help? Our team of experienced scientists is here for you.
Let Us Assist


biological source

rabbit

Quality Level

conjugate

unconjugated

antibody form

affinity isolated antibody

antibody product type

primary antibodies

clone

polyclonal

product line

Prestige Antibodies® Powered by Atlas Antibodies

form

buffered aqueous glycerol solution

species reactivity

mouse, rat, human

enhanced validation

orthogonal RNAseq
Learn more about Antibody Enhanced Validation

technique(s)

immunoblotting: 0.04-0.4 μg/mL, immunofluorescence: 0.25-2 μg/mL, immunohistochemistry: 1:200-1:500

immunogen sequence

NSQKYMSFTDKSAEDYNSSNALNVKAVSETPAVPPVSEDEDDDDDDATPPPVIAPRPEHTKSVYTRSVIEPLPVTPTRDVATSPISPTENNTTPPDALTRNTEKQKKKPKMSDEE

UniProt accession no.

shipped in

wet ice

storage temp.

−20°C

target post-translational modification

unmodified

Gene Information

human ... PAK1(5058)

General description

PAK1 (p21 activated kinase 1) is a Ser/Thr kinase protein, and is a member of the evolutional conserved PAKs, which consists of six members. PAKs are divided into two groups- group I and II. PAK1 is a part of group I PAK, and has a wide range of tissue expression. Its GTPase binding domain (GBD) is present in the N-terminal, which also contains the autoinhibitory domain (AID). The N-terminal also contains five classical proline-rich regions (PXXP), which aid in protein-protein interaction. Its Ser/thr kinase domain is present in its C-terminal.

Immunogen

Serine/threonine-protein kinase PAK 1 recombinant protein epitope signature tag (PrEST)

Application

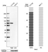
Anti-PAK1 antibody produced in rabbit, a Prestige Antibody, is developed and validated by the Human Protein Atlas (HPA) project . Each antibody is tested by immunohistochemistry against hundreds of normal and disease tissues. These images can be viewed on the Human Protein Atlas (HPA) site by clicking on the Image Gallery link. The antibodies are also tested using immunofluorescence and western blotting. To view these protocols and other useful information about Prestige Antibodies and the HPA, visit sigma.com/prestige.

Biochem/physiol Actions

Serine/threonine-protein kinase PAK 1 is an enzyme encoded by the PAK1 gene in humans. It has an essential role in tumorigenesis and cell survival in many cancers. Its expression increases with inflammation and malignant transformation. This gene is overexpressed during tumorigenic progression and its up-regulation correlates with malignant properties mainly relevant to invasion and metastasis. It helps in regulating both the actin cytoskeleton and dendritic spine density and is a downstream effector of both kalirin and CDC42 (both of which have altered expression in schizophrenia).

Features and Benefits

Prestige Antibodies® are highly characterized and extensively validated antibodies with the added benefit of all available characterization data for each target being accessible via the Human Protein Atlas portal linked just below the product name at the top of this page. The uniqueness and low cross-reactivity of the Prestige Antibodies® to other proteins are due to a thorough selection of antigen regions, affinity purification, and stringent selection. Prestige antigen controls are available for every corresponding Prestige Antibody and can be found in the linkage section.

Every Prestige Antibody is tested in the following ways:
  • IHC tissue array of 44 normal human tissues and 20 of the most common cancer type tissues.
  • Protein array of 364 human recombinant protein fragments.

Physical form

Solution in phosphate-buffered saline, pH 7.2, containing 40% glycerol and 0.02% sodium azide

Other Notes

Corresponding Antigen APREST86428

Legal Information

Prestige Antibodies is a registered trademark of Merck KGaA, Darmstadt, Germany

Disclaimer

Unless otherwise stated in our catalog or other company documentation accompanying the product(s), our products are intended for research use only and are not to be used for any other purpose, which includes but is not limited to, unauthorized commercial uses, in vitro diagnostic uses, ex vivo or in vivo therapeutic uses or any type of consumption or application to humans or animals.


Still not finding the right product?

or

Try our Product Selector Tool to narrow your options


Storage Class

10 - Combustible liquids

wgk

WGK 1

flash_point_f

Not applicable

flash_point_c

Not applicable

ppe

Eyeshields, Gloves, multi-purpose combination respirator cartridge (US)

Regulatory Information

低风险生物材料
常规特殊物品

This item has



Choose from one of the most recent versions:

Certificates of Analysis (COA)

Lot/Batch Number

Don't see the Right Version?

If you require a particular version, you can look up a specific certificate by the Lot or Batch number.

Already Own This Product?

Find documentation for the products that you have recently purchased in the Document Library.

Visit the Document Library


Related Content

Prestige Antibodies Immunofluorescence Procedure


EunGi Kim et al.
Cancer research, 74(19), 5520-5531 (2014-08-16)
The p21-activated Ser/Thr kinase 1 (PAK1) kinase has an essential role in tumorigenesis and cell survival in many cancers, but its regulation is not fully understood. In this study, we showed that in response to irradiation of lung cancer cells
Alan Hammer et al.
Advances in experimental medicine and biology, 846, 97-137 (2014-12-05)
Despite efforts to discover the cellular pathways regulating breast cancer metastasis, little is known as to how prolactin (PRL) cooperates with extracellular environment and cytoskeletal proteins to regulate breast cancer cell motility and invasion. We implicated serine-threonine kinase p21-activated kinase
Kyle Dammann et al.
Gut, 63(7), 1173-1184 (2014-05-09)
P-21 activated kinases (PAKs) are effectors of Rac1/Cdc42 which coordinate signals from the cell membrane to the nucleus. Activation of PAKs drive important signalling pathways including mitogen activated protein kinase, phospoinositide 3-kinase (PI3K/AKT), NF-κB and Wnt/β-catenin. Intestinal PAK1 expression increases



Global Trade Item Number

SKUGTIN
HPA003565-100UL04061836297589
HPA003565-25UL04061842720415