Skip to Content
Merck
CN

HPA004246

Anti-PRKAG2 antibody produced in rabbit

Prestige Antibodies® Powered by Atlas Antibodies, affinity isolated antibody, buffered aqueous glycerol solution

Synonym(s):

Anti-5′-AMP-activated protein kinase subunit γ-2 antibody produced in rabbit, Anti-AMPK γ-2 chain antibody produced in rabbit, Anti-AMPK γ2 antibody produced in rabbit, Anti-H91620p antibody produced in rabbit

Sign In to View Organizational & Contract Pricing.

Select a Size

Change View

About This Item

UNSPSC Code:
12352203
NACRES:
NA.41
Human Protein Atlas Number:
Conjugate:
unconjugated
Clone:
polyclonal
Application:
IF, IHC
Citations:
3
Technical Service
Need help? Our team of experienced scientists is here for you.
Let Us Assist


biological source

rabbit

Quality Level

conjugate

unconjugated

antibody form

affinity isolated antibody

antibody product type

primary antibodies

clone

polyclonal

product line

Prestige Antibodies® Powered by Atlas Antibodies

form

buffered aqueous glycerol solution

species reactivity

rat, mouse, human

technique(s)

immunoblotting: 0.04-0.4 μg/mL, immunofluorescence: 0.25-2 μg/mL, immunohistochemistry: 1:50-1:200

immunogen sequence

STPTQVTKQHTFPLESYKHEPERLENRIYASSSPPDTGQRFCPSSFQSPTRPPLASPTHYAPSKAAALAAALGPAEAGMLEKLEFEDEAVEDSESGVYMRFMRSHK

UniProt accession no.

shipped in

wet ice

storage temp.

−20°C

target post-translational modification

unmodified

Gene Information

human ... PRKAG2(51422)

General description

PRKAG2 (protein kinase, AMP-activated, γ2 non-catalytic subunit) is a non-catalytic regulatory subunit of heterotrimeric AMP-activated protein kinase (AMPK), involved in the energy metabolism. It is predominantly present in all subcellular fractions, including the nuclei.

Immunogen

5′-AMP-activated protein kinase subunit γ-2 recombinant protein epitope signature tag (PrEST)

Application

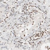
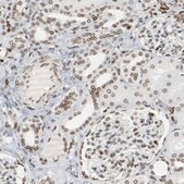
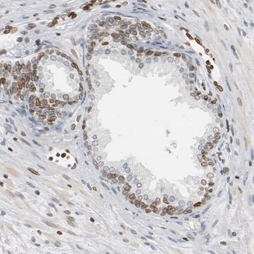
Anti-PRKAG2 antibody produced in rabbit, a Prestige Antibody, is developed and validated by the Human Protein Atlas (HPA) project . Each antibody is tested by immunohistochemistry against hundreds of normal and disease tissues. These images can be viewed on the Human Protein Atlas (HPA) site by clicking on the Image Gallery link. The antibodies are also tested using immunofluorescence and western blotting. To view these protocols and other useful information about Prestige Antibodies and the HPA, visit sigma.com/prestige.

Biochem/physiol Actions

PRKAG2 (protein kinase, AMP-activated, γ2 non-catalytic subunit) acts as a sensor of cellular energy status that is controlled by AMP (positively) and ATP (negatively). In normal state CBS domains from AMP-activated protein kinase can bind AMP, ATP, or S-adenosyl methionine. But in mutated condition, it cannot bind. As a result, it leads to hereditary diseases. Its major activity is involved in the regulation of energy homeostasis. It plays an important role in correcting of cell division and chromosome segregation during mitosis. Mutation in PRKAG2 causes Wolff-Parkinson-White (WPW) syndrome, a rare autosomal dominant inheritance disease.

Features and Benefits

Prestige Antibodies® are highly characterized and extensively validated antibodies with the added benefit of all available characterization data for each target being accessible via the Human Protein Atlas portal linked just below the product name at the top of this page. The uniqueness and low cross-reactivity of the Prestige Antibodies® to other proteins are due to a thorough selection of antigen regions, affinity purification, and stringent selection. Prestige antigen controls are available for every corresponding Prestige Antibody and can be found in the linkage section.

Every Prestige Antibody is tested in the following ways:
  • IHC tissue array of 44 normal human tissues and 20 of the most common cancer type tissues.
  • Protein array of 364 human recombinant protein fragments.

Physical form

Solution in phosphate-buffered saline, pH 7.2, containing 40% glycerol and 0.02% sodium azide

Other Notes

Corresponding Antigen APREST86734

Legal Information

Prestige Antibodies is a registered trademark of Merck KGaA, Darmstadt, Germany

Disclaimer

Unless otherwise stated in our catalog or other company documentation accompanying the product(s), our products are intended for research use only and are not to be used for any other purpose, which includes but is not limited to, unauthorized commercial uses, in vitro diagnostic uses, ex vivo or in vivo therapeutic uses or any type of consumption or application to humans or animals.


Still not finding the right product?

or

Try our Product Selector Tool to narrow your options


Storage Class

10 - Combustible liquids

wgk

WGK 1

flash_point_f

Not applicable

flash_point_c

Not applicable

ppe

Eyeshields, Gloves, multi-purpose combination respirator cartridge (US)

Regulatory Information

低风险生物材料
常规特殊物品

This item has



Choose from one of the most recent versions:

Certificates of Analysis (COA)

Lot/Batch Number

Don't see the Right Version?

If you require a particular version, you can look up a specific certificate by the Lot or Batch number.

Already Own This Product?

Find documentation for the products that you have recently purchased in the Document Library.

Visit the Document Library



Tània Martiáñez et al.
The Journal of biological chemistry, 284(36), 23902-23911 (2009-07-03)
Ultrasensitivity, hysteresis (a form of biochemical memory), and all-or-none (digital) responses are important signaling properties for the control of irreversible processes and are well characterized in the c-Jun N-terminal kinase (JNK) system using Xenopus oocytes. Our aim was to study
Li-Ping Zhang et al.
Journal of electrocardiology, 44(4), 483-486 (2010-04-13)
Familial appearance of Wolff-Parkinson-White (WPW) syndrome is rare and displays an autosomal dominant inheritance. Here we report a Chinese kindred of WPW syndrome whose unique clinical features consist of a high risk of sudden cardiac death due to atrial fibrillation
Katalin Pinter et al.
Cell cycle (Georgetown, Tex.), 11(5), 917-921 (2012-02-16)
AMP-activated protein kinase has been shown to be a key regulator of energy homeostasis; it has also been identified as a tumor suppressor and is required for correct cell division and chromosome segregation during mitosis. The enzyme is a heterotrimer



Global Trade Item Number

SKUGTIN
HPA004246-25UL04061842721849
HPA004246-100UL04061836308957