Skip to Content
Merck
CN

HPA007222

Anti-USP2 antibody produced in rabbit

Prestige Antibodies® Powered by Atlas Antibodies, affinity isolated antibody, buffered aqueous glycerol solution

Synonym(s):

Anti-41 kDa ubiquitin-specific protease antibody produced in rabbit, Anti-Deubiquitinating enzyme 2 antibody produced in rabbit, Anti-Ubiquitin carboxyl-terminal hydrolase 2 antibody produced in rabbit, Anti-Ubiquitin thioesterase 2 antibody produced in rabbit, Anti-Ubiquitin-specific-processing protease 2 antibody produced in rabbit

Sign In to View Organizational & Contract Pricing.

Select a Size

Change View

About This Item

UNSPSC Code:
12352203
NACRES:
NA.41
Human Protein Atlas Number:
Conjugate:
unconjugated
Clone:
polyclonal
Application:
IF, IHC
Citations:
3
Technical Service
Need help? Our team of experienced scientists is here for you.
Let Us Assist


biological source

rabbit

Quality Level

conjugate

unconjugated

antibody form

affinity isolated antibody

antibody product type

primary antibodies

clone

polyclonal

product line

Prestige Antibodies® Powered by Atlas Antibodies

form

buffered aqueous glycerol solution

species reactivity

human

enhanced validation

recombinant expression
Learn more about Antibody Enhanced Validation

technique(s)

immunoblotting: 0.04-0.4 μg/mL, immunofluorescence: 0.25-2 μg/mL, immunohistochemistry: 1:50-1:200

immunogen sequence

SGFPYGVTNNCLSYLPINAYDQGVTLTQKLDSQSDLARDFSSLRTSDSYRIDPRNLGRSPMLARTRKELCTLQGLYQTASCPEYLVDYLENYGRKGSASQVPSQAPPSRVPEIISPTYR

UniProt accession no.

shipped in

wet ice

storage temp.

−20°C

target post-translational modification

unmodified

Gene Information

human ... USP2(9099)

General description

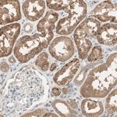
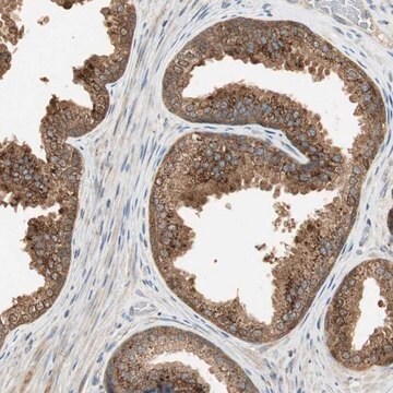
USP2 (Ubiquitin specific peptidase 2) is a 69kDa protein belonging to the de-ubiquitinating enzyme family. It is highly expressed in the kidney tissue and responsible for the cell growth regulation and differentiation.

Immunogen

Ubiquitin carboxyl-terminal hydrolase 2 recombinant protein epitope signature tag (PrEST)

Application

All Prestige Antibodies Powered by Atlas Antibodies are developed and validated by the Human Protein Atlas (HPA) project and as a result, are supported by the most extensive characterization in the industry.

The Human Protein Atlas project can be subdivided into three efforts: Human Tissue Atlas, Cancer Atlas, and Human Cell Atlas. The antibodies that have been generated in support of the Tissue and Cancer Atlas projects have been tested by immunohistochemistry against hundreds of normal and disease tissues and through the recent efforts of the Human Cell Atlas project, many have been characterized by immunofluorescence to map the human proteome not only at the tissue level but now at the subcellular level. These images and the collection of this vast data set can be viewed on the Human Protein Atlas (HPA) site by clicking on the Image Gallery link. We also provide Prestige Antibodies® protocols and other useful information.

Biochem/physiol Actions

USP2 (Ubiquitin specific peptidase 2) is primarily associated in the regulation of Mdm2/p53 pathway. It directly interacts and deubiquitinates murine double minute 2 (MDM2) without affecting p53 ubiquitination. Overexpressed USP2 triggers Mdm2 storage in cells, which further promotes p53 degradation. Due to the tumor suppressive property, it may have clinical importance in cancer therapy. It is also involved in the negative regulation of the NF-κB (nuclear factor κB) activation pathway. Studies show that the upregulated USP2 plays a vital role in the mesangial cell proliferation during glomerulonephritides.

Features and Benefits

Prestige Antibodies® are highly characterized and extensively validated antibodies with the added benefit of all available characterization data for each target being accessible via the Human Protein Atlas portal linked just below the product name at the top of this page. The uniqueness and low cross-reactivity of the Prestige Antibodies® to other proteins are due to a thorough selection of antigen regions, affinity purification, and stringent selection. Prestige antigen controls are available for every corresponding Prestige Antibody and can be found in the linkage section.

Every Prestige Antibody is tested in the following ways:
  • IHC tissue array of 44 normal human tissues and 20 of the most common cancer type tissues.
  • Protein array of 364 human recombinant protein fragments.

Physical form

Solution in phosphate-buffered saline, pH 7.2, containing 40% glycerol and 0.02% sodium azide

Other Notes

Corresponding Antigen APREST70773

Legal Information

Prestige Antibodies is a registered trademark of Merck KGaA, Darmstadt, Germany

Disclaimer

Unless otherwise stated in our catalog or other company documentation accompanying the product(s), our products are intended for research use only and are not to be used for any other purpose, which includes but is not limited to, unauthorized commercial uses, in vitro diagnostic uses, ex vivo or in vivo therapeutic uses or any type of consumption or application to humans or animals.


Still not finding the right product?

or

Try our Product Selector Tool to narrow your options


Storage Class

10 - Combustible liquids

wgk

WGK 1

flash_point_f

Not applicable

flash_point_c

Not applicable

ppe

Eyeshields, Gloves, multi-purpose combination respirator cartridge (US)

Regulatory Information

低风险生物材料
常规特殊物品

This item has



Choose from one of the most recent versions:

Certificates of Analysis (COA)

Lot/Batch Number

Don't see the Right Version?

If you require a particular version, you can look up a specific certificate by the Lot or Batch number.

Already Own This Product?

Find documentation for the products that you have recently purchased in the Document Library.

Visit the Document Library


Related Content

Prestige Antibodies Immunofluorescence Procedure


Xiao He et al.
Journal of molecular cell biology, 5(1), 39-47 (2012-05-23)
The transcription factor NF-κB plays critical roles in many biological processes, especially immunity. The signaling to NF-κB activation is subtly regulated to avoid harmful immune effects. In this report, we identified ubiquitin-specific protease 2 isoform a (USP2a) as a novel
Suxia Wang et al.
Pathology international, 60(3), 184-192 (2010-04-21)
Ubiquitin-specific protease 2 (USP2) is a member of a family of de-ubiquitinating enzymes. It may play an important role in the regulation of cell growth and differentiation. It is known that expression of the isoform USP2-69 kD is high in
N Allende-Vega et al.
Oncogene, 29(3), 432-441 (2009-10-20)
It has previously been shown that ubiquitin-specific protease 2a (USP2a) is a regulator of the Mdm2/p53 pathway. USP2a binds to Mdm2 and can deubiquitinate Mdm2 without reversing Mdm2-mediated p53 ubiquitination. Overexpression of USP2a causes accumulation of Mdm2 and promotes p53



Global Trade Item Number

SKUGTIN
HPA007222-100UL04061836298432
HPA007222-25UL04061842788545