Skip to Content
Merck
CN

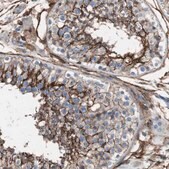
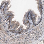
HPA007234

Anti-CD81 antibody produced in rabbit

Prestige Antibodies® Powered by Atlas Antibodies, affinity isolated antibody, buffered aqueous glycerol solution

Synonym(s):

Anti-26 kDa cell surface protein TAPA-1, Anti-CD81 antigen, Anti-Target of the antiproliferative antibody 1, Anti-Tetraspanin-28, Anti-Tspan-28

Sign In to View Organizational & Contract Pricing.

Select a Size

Change View

About This Item

UNSPSC Code:
12352203
NACRES:
NA.41
MDL number:
Human Protein Atlas Number:
Conjugate:
unconjugated
Clone:
polyclonal
Application:
IF, IHC
Citations:
8
Technical Service
Need help? Our team of experienced scientists is here for you.
Let Us Assist


biological source

rabbit

Quality Level

conjugate

unconjugated

antibody form

affinity isolated antibody

antibody product type

primary antibodies

clone

polyclonal

product line

Prestige Antibodies® Powered by Atlas Antibodies

form

buffered aqueous glycerol solution

species reactivity

human

enhanced validation

orthogonal RNAseq
Learn more about Antibody Enhanced Validation

technique(s)

immunofluorescence: 0.25-2 μg/mL, immunohistochemistry: 1:500-1:1000

immunogen sequence

VNKDQIAKDVKQFYDQALQQAVVDDDANNAKAVVKTFHETLDCCGSSTLTALTTSVLKNNLCPSGSNIISNLFKEDCHQKIDDLFSGKLYL

UniProt accession no.

shipped in

wet ice

storage temp.

−20°C

target post-translational modification

unmodified

Gene Information

human ... CD81(975)

Immunogen

CD81 antigen recombinant protein epitope signature tag (PrEST)

Application

All Prestige Antibodies Powered by Atlas Antibodies are developed and validated by the Human Protein Atlas (HPA) project and as a result, are supported by the most extensive characterization in the industry.

The Human Protein Atlas project can be subdivided into three efforts: Human Tissue Atlas, Cancer Atlas, and Human Cell Atlas. The antibodies that have been generated in support of the Tissue and Cancer Atlas projects have been tested by immunohistochemistry against hundreds of normal and disease tissues and through the recent efforts of the Human Cell Atlas project, many have been characterized by immunofluorescence to map the human proteome not only at the tissue level but now at the subcellular level. These images and the collection of this vast data set can be viewed on the Human Protein Atlas (HPA) site by clicking on the Image Gallery link. We also provide Prestige Antibodies® protocols and other useful information.

Biochem/physiol Actions

CD81 is a tetraspanin protein belonging to the novel Ig superfamily. It is expressed in several immune cells including T, B, and NK lymphocytes, monocytes, hepatocytes, and most stromal and epithelial cells. It forms a complex with other proteins including CD21, CD19, and CD225 at the time of B cell maturation. Its extracellular loop directly interacts with the extracellular domains of CD19 for CD19 gene expression. In immune system, it controls several activities such as T cell activation, CD3ϲ, ZAP-70, LAT regulation, extracellular signal-regulated kinase (ERK) phosphorylation, the organization of the immune synapse (IS) and T cell activation. Deficiency of CD81 causes disruption in CD19 complex formation, which further leads to the immunodeficiency diseases such as severe nephropathy and profound hypogammaglobulinemia.

Features and Benefits

Prestige Antibodies® are highly characterized and extensively validated antibodies with the added benefit of all available characterization data for each target being accessible via the Human Protein Atlas portal linked just below the product name at the top of this page. The uniqueness and low cross-reactivity of the Prestige Antibodies® to other proteins are due to a thorough selection of antigen regions, affinity purification, and stringent selection. Prestige antigen controls are available for every corresponding Prestige Antibody and can be found in the linkage section.

Every Prestige Antibody is tested in the following ways:
  • IHC tissue array of 44 normal human tissues and 20 of the most common cancer type tissues.
  • Protein array of 364 human recombinant protein fragments.

Physical form

Solution in phosphate-buffered saline, pH 7.2, containing 40% glycerol and 0.02% sodium azide

Other Notes

Corresponding Antigen APREST70220

Legal Information

Prestige Antibodies is a registered trademark of Merck KGaA, Darmstadt, Germany

Disclaimer

Unless otherwise stated in our catalog or other company documentation accompanying the product(s), our products are intended for research use only and are not to be used for any other purpose, which includes but is not limited to, unauthorized commercial uses, in vitro diagnostic uses, ex vivo or in vivo therapeutic uses or any type of consumption or application to humans or animals.


Still not finding the right product?

or

Try our Product Selector Tool to narrow your options


Storage Class

10 - Combustible liquids

wgk

WGK 1

flash_point_f

Not applicable

flash_point_c

Not applicable

Regulatory Information

低风险生物材料
常规特殊物品
常规特殊物品

This item has



Choose from one of the most recent versions:

Certificates of Analysis (COA)

Lot/Batch Number

Don't see the Right Version?

If you require a particular version, you can look up a specific certificate by the Lot or Batch number.

Already Own This Product?

Find documentation for the products that you have recently purchased in the Document Library.

Visit the Document Library



C S Stipp et al.
The Journal of biological chemistry, 276(44), 40545-40554 (2001-08-16)
A novel Ig superfamily protein, EWI-2, was co-purified with tetraspanin protein CD81 under relatively stringent Brij 96 detergent conditions and identified by mass spectrometric protein sequencing. EWI-2 associated specifically with CD9 and CD81 but not with other tetraspanins or with
Silio Lima Moura et al.
Sensors (Basel, Switzerland), 20(4) (2020-02-15)
Exosomes are cell-derived nanovesicles released into biological fluids, which are involved in cell-to-cell communication. The analysis of the content and the surface of the exosomes allow conclusions about the cells they are originating from and the underlying condition, pathology or
V Rocha-Perugini et al.
Molecular and cellular biology, 33(18), 3644-3658 (2013-07-17)
In this study, we investigated the dynamics of the molecular interactions of tetraspanin CD81 in T lymphocytes, and we show that CD81 controls the organization of the immune synapse (IS) and T cell activation. Using quantitative microscopy, including fluorescence recovery



Global Trade Item Number

SKUGTIN
HPA007234-100UL04061837123849
HPA007234-25UL04061842788576