Skip to Content
Merck
CN

HPA009650

Anti-ANXA6 antibody produced in rabbit

Prestige Antibodies® Powered by Atlas Antibodies, affinity isolated antibody, buffered aqueous glycerol solution

Synonym(s):

Anti-67 kDa calelectrin antibody produced in rabbit, Anti-Annexin A6 antibody produced in rabbit, Anti-Annexin VI antibody produced in rabbit, Anti-CPB-II antibody produced in rabbit, Anti-Calphobindin-II antibody produced in rabbit, Anti-Chromobindin-20 antibody produced in rabbit, Anti-Lipocortin VI antibody produced in rabbit, Anti-P68 antibody produced in rabbit, Anti-P70 antibody produced in rabbit, Anti-Protein III antibody produced in rabbit

Sign In to View Organizational & Contract Pricing.

Select a Size

Change View

About This Item

UNSPSC Code:
12352203
NACRES:
NA.41
Human Protein Atlas Number:
Conjugate:
unconjugated
Clone:
polyclonal
Application:
IHC
Citations:
8
Technical Service
Need help? Our team of experienced scientists is here for you.
Let Us Assist


biological source

rabbit

Quality Level

conjugate

unconjugated

antibody form

affinity isolated antibody

antibody product type

primary antibodies

clone

polyclonal

product line

Prestige Antibodies® Powered by Atlas Antibodies

form

buffered aqueous glycerol solution

species reactivity

rat, mouse, human

enhanced validation

orthogonal RNAseq
Learn more about Antibody Enhanced Validation

technique(s)

immunoblotting: 0.04-0.4 μg/mL, immunohistochemistry: 1:200-1:500

immunogen sequence

IADTPSGDKTSLETRFMTILCTRSYPHLRRVFQEFIKMTNYDVEHTIKKEMSGDVRDAFVAIVQSVKNKPLFFADKLYKSMKGAGTDEKTLTRIMVSRSEIDLLNIRREFIEKYDKSLHQAIEGDTSGDFLKALLALCGGED

UniProt accession no.

shipped in

wet ice

storage temp.

−20°C

target post-translational modification

unmodified

Gene Information

human ... ANXA6(309)

General description

ANXA6 (annexin A6) belongs to a family of structurally highly conserved, Ca2+-regulated membrane-binding proteins called annexins. All annexin proteins are composed of a conserved Ca2+ and phospholipid-binding core and an N-terminal tail, which is different in each annexin. However, unlike other annexins this protein contains eight instead of four annexin repeats.

Immunogen

Annexin A6 recombinant protein epitope signature tag (PrEST)

Application

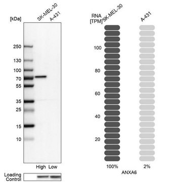
Anti-ANXA6 antibody produced in rabbit, a Prestige Antibody, is developed and validated by the Human Protein Atlas (HPA) project . Each antibody is tested by immunohistochemistry against hundreds of normal and disease tissues. These images can be viewed on the Human Protein Atlas (HPA) site by clicking on the Image Gallery link. The antibodies are also tested using immunofluorescence and western blotting. To view these protocols and other useful information about Prestige Antibodies and the HPA, visit sigma.com/prestige.

Biochem/physiol Actions

ANXA6 (annexin A6) plays an essential role in maintaining cellular homeostasis of cholesterol. It functions as a negative regulator of influenza A virus (IAV) replication. It therefore, has an antiviral activity attributed to its capability to influence cellular cholesterol pool. It interacts with membrane phospholipdis, F-actin and specific extracellular matrix (ECM) components. Thus, it might be involved in rapid plasma membrane reorganization, which results in cell adhesion and motility. The expression of this protein promotes anchorage-independent cell growth and loss of cell-cell or cell-ECM adhesion. Thus, it facilitates breast cancer tumorigenesis. This protein is thought to be involved in the assembly of detergent-resistant membrane microdomains (DRMs) found in Niemann-Pick type C (NPC) disease, as it is found anchored to the cholesterol storage compartment membranes in NPC disease fibroblasts.

Features and Benefits

Prestige Antibodies® are highly characterized and extensively validated antibodies with the added benefit of all available characterization data for each target being accessible via the Human Protein Atlas portal linked just below the product name at the top of this page. The uniqueness and low cross-reactivity of the Prestige Antibodies® to other proteins are due to a thorough selection of antigen regions, affinity purification, and stringent selection. Prestige antigen controls are available for every corresponding Prestige Antibody and can be found in the linkage section.

Every Prestige Antibody is tested in the following ways:
  • IHC tissue array of 44 normal human tissues and 20 of the most common cancer type tissues.
  • Protein array of 364 human recombinant protein fragments.

Physical form

Solution in phosphate-buffered saline, pH 7.2, containing 40% glycerol and 0.02% sodium azide

Other Notes

Corresponding Antigen APREST86509

Legal Information

Prestige Antibodies is a registered trademark of Merck KGaA, Darmstadt, Germany

Disclaimer

Unless otherwise stated in our catalog or other company documentation accompanying the product(s), our products are intended for research use only and are not to be used for any other purpose, which includes but is not limited to, unauthorized commercial uses, in vitro diagnostic uses, ex vivo or in vivo therapeutic uses or any type of consumption or application to humans or animals.


Still not finding the right product?

or

Try our Product Selector Tool to narrow your options


Storage Class

10 - Combustible liquids

wgk

WGK 1

flash_point_f

Not applicable

flash_point_c

Not applicable

ppe

Eyeshields, Gloves, multi-purpose combination respirator cartridge (US)

Regulatory Information

低风险生物材料
常规特殊物品

This item has



Choose from one of the most recent versions:

Certificates of Analysis (COA)

Lot/Batch Number

Don't see the Right Version?

If you require a particular version, you can look up a specific certificate by the Lot or Batch number.

Already Own This Product?

Find documentation for the products that you have recently purchased in the Document Library.

Visit the Document Library



Magdalena M Domon et al.
Journal of colloid and interface science, 403, 99-104 (2013-05-21)
Annexin A6 (AnxA6), a calcium- and membrane-binding protein, is expressed in mammalian cells in two isoforms: AnxA6-1 and AnxA6-2, the latter lacking the 524-VAAEIL-529 sequence at the start of repeat 7. The different intracellular localization of these two isoforms suggests
Hironao Nakayama et al.
Molecular biology of the cell, 23(10), 1964-1975 (2012-03-23)
A disintegrin and metalloproteinase (ADAM) is a family of enzymes involved in ectodomain shedding of various membrane proteins. However, the molecular mechanism underlying substrate recognition by ADAMs remains unknown. In this study, we successfully captured and analyzed cell surface transient
Rhea Cornely et al.
IUBMB life, 63(11), 1009-1017 (2011-10-13)
Annexin A6 (AnxA6) belongs to the conserved annexin protein family--a group of Ca(2+) -dependent membrane binding proteins. It is the largest of all annexin proteins and upon activation, binds to negatively charged phospholipids in the plasma membrane and endosomes. In



Global Trade Item Number

SKUGTIN
HPA009650-100UL04061836300487
HPA009650-25UL04061842816118