Skip to Content
Merck
CN

HPA012657

Anti-PLA2R1 Antibody

Prestige Antibodies® Powered by Atlas Antibodies, rabbit polyclonal

Synonym(s):

CLEC13C, PLA2-R, PLA2G1R, PLA2IR

Sign In to View Organizational & Contract Pricing.

Select a Size

Change View

About This Item

UNSPSC Code:
12352203
NACRES:
NA.41
Human Protein Atlas Number:
Conjugate:
unconjugated
Clone:
polyclonal
Application:
IHC, WB
Citations:
28
Technical Service
Need help? Our team of experienced scientists is here for you.
Let Us Assist


Product Name

Anti-PLA2R1 antibody produced in rabbit, Prestige Antibodies® Powered by Atlas Antibodies, affinity isolated antibody, buffered aqueous glycerol solution

biological source

rabbit

Quality Level

conjugate

unconjugated

antibody form

affinity isolated antibody

antibody product type

primary antibodies

clone

polyclonal

product line

Prestige Antibodies® Powered by Atlas Antibodies

form

buffered aqueous glycerol solution

species reactivity

human

enhanced validation

orthogonal RNAseq
Learn more about Antibody Enhanced Validation

technique(s)

immunohistochemistry: 1:500-1:1000, western blot: 0.04-0.4 μg/mL

UniProt accession no.

shipped in

wet ice

storage temp.

−20°C

target post-translational modification

unmodified

Gene Information

human ... PLA2R1(22925)

General description

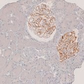
Phospholipase A2 receptor 1 (PLA2R1) is a type I transmembrane glycoprotein, which is a member of mannose receptor family. It consists of NH2-terminal cysteine-rich domain, a fibronectin-like type II (FNII) domain, a tandem repeat of 8 C-type lectin-like domains (CTLD) and a short intracellular COOH-terminal region. PLA2R1 is localized in the podocytes of kidney. The gene is located on human chromosome 2q24.

Immunogen

Phospholipase a2 receptor 1, 180kda recombinant protein epitope signature tag (PrEST)

Sequence
EEKTWHEALRSCQADNSALIDITSLAEVEFLVTLLGDENASETWIGLSSNKIPVSFEWSNDSSVIFTNWHTLEPHIFPNRSQLCVSAEQSEGHWKVKNCEERLFYICKKAGHVLSDAESGCQEGWERHGGFCYKID

Application

Anti-PLA2R1 antibody produced in rabbit has been used in immunohistochemistry and indirect immunofluorescence.

Biochem/physiol Actions

Phospholipase A2 receptor 1 (PLA2R1) is implicated in primary membranous nephropathy (PMN).

Features and Benefits

Prestige Antibodies® are highly characterized and extensively validated antibodies with the added benefit of all available characterization data for each target being accessible via the Human Protein Atlas portal linked just below the product name at the top of this page. The uniqueness and low cross-reactivity of the Prestige Antibodies® to other proteins are due to a thorough selection of antigen regions, affinity purification, and stringent selection. Prestige antigen controls are available for every corresponding Prestige Antibody and can be found in the linkage section.

Every Prestige Antibody is tested in the following ways:
  • IHC tissue array of 44 normal human tissues and 20 of the most common cancer type tissues.
  • Protein array of 364 human recombinant protein fragments.

Physical form

Solution in phosphate-buffered saline, pH 7.2, containing 40% glycerol and 0.02% sodium azide

Other Notes

Corresponding Antigen APREST72110

Legal Information

Prestige Antibodies is a registered trademark of Merck KGaA, Darmstadt, Germany

Disclaimer

Unless otherwise stated in our catalog or other company documentation accompanying the product(s), our products are intended for research use only and are not to be used for any other purpose, which includes but is not limited to, unauthorized commercial uses, in vitro diagnostic uses, ex vivo or in vivo therapeutic uses or any type of consumption or application to humans or animals.


Still not finding the right product?

or

Try our Product Selector Tool to narrow your options


Storage Class

10 - Combustible liquids

wgk

WGK 1

ppe

Eyeshields, Gloves, multi-purpose combination respirator cartridge (US)

Regulatory Information

常规特殊物品
低风险生物材料

This item has



Choose from one of the most recent versions:

Certificates of Analysis (COA)

Lot/Batch Number

Don't see the Right Version?

If you require a particular version, you can look up a specific certificate by the Lot or Batch number.

Already Own This Product?

Find documentation for the products that you have recently purchased in the Document Library.

Visit the Document Library



Multifunctional activity of the extracellular domain of the M-type (180 kDa) membrane receptor for secretory phospholipases A2.
Ancian P, et al.
The Biochemical Journal, 34(40), 13146-13151 (1995)
David Vindrieux et al.
Cancer research, 73(20), 6334-6345 (2013-09-07)
Little is known about the physiological role of the phospholipase A2 receptor (PLA2R1). PLA2R1 has been described as regulating the replicative senescence, a telomerase-dependent proliferation arrest. The downstream PLA2R1 signaling and its role in cancer are currently unknown. Senescence induction
Maxime Dauvergne et al.
Medicine, 94(30), e1243-e1243 (2015-07-30)
The association between membranous nephropathy (MN) and immunological disorder-related liver disease has not been extensively investigated, and the specific features of this uncommon association, if any, remain to be determined.We retrospectively identified 10 patients with this association. We aimed to



Global Trade Item Number

SKUGTIN
HPA012657-100UL04061833815021
HPA012657-25UL04061842785513