Skip to Content
Merck
CN

HPA016431

Anti-SRPK1 antibody produced in rabbit

Prestige Antibodies® Powered by Atlas Antibodies, affinity isolated antibody, buffered aqueous glycerol solution

Synonym(s):

Anti-SFRS protein kinase 1, Anti-SR-protein-specific kinase 1, Anti-Serine/arginine- rich protein-specific kinase 1, Anti-Serine/threonine-protein kinase SRPK1

Sign In to View Organizational & Contract Pricing.

Select a Size

Change View

About This Item

UNSPSC Code:
12352203
NACRES:
NA.43
MDL number:
Human Protein Atlas Number:
Conjugate:
unconjugated
Clone:
polyclonal
Application:
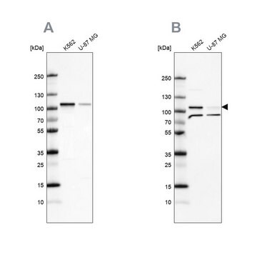
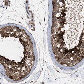
IHC, WB
Citations:
4
Technical Service
Need help? Our team of experienced scientists is here for you.
Let Us Assist


biological source

rabbit

Quality Level

conjugate

unconjugated

antibody form

affinity isolated antibody

antibody product type

primary antibodies

clone

polyclonal

product line

Prestige Antibodies® Powered by Atlas Antibodies

form

buffered aqueous glycerol solution

species reactivity

human

enhanced validation

independent
recombinant expression
Learn more about Antibody Enhanced Validation

technique(s)

immunohistochemistry: 1:200-1:500, western blot: 0.04-0.4 μg/mL

immunogen sequence

QEIEEMEKESGPGQKRPNKQEESESPVERPLKENPPNKMTQEKLEESSTIGQDQTLMERDTEGGAAEINCNGVIEVINYTQNSNNETLRHKEDLHNANDCDVQNLNQESSFLSS

UniProt accession no.

shipped in

wet ice

storage temp.

−20°C

target post-translational modification

unmodified

Gene Information

human ... SRPK1(6732)

Immunogen

Serine/threonine-protein kinase SRPK1 recombinant protein epitope signature tag (PrEST)

Application

Applications in which this antibody has been used successfully, and the associated peer-reviewed papers, are given below.
Immunohistochemistry (1 paper)

Features and Benefits

Prestige Antibodies® are highly characterized and extensively validated antibodies with the added benefit of all available characterization data for each target being accessible via the Human Protein Atlas portal linked just below the product name at the top of this page. The uniqueness and low cross-reactivity of the Prestige Antibodies® to other proteins are due to a thorough selection of antigen regions, affinity purification, and stringent selection. Prestige antigen controls are available for every corresponding Prestige Antibody and can be found in the linkage section.

Every Prestige Antibody is tested in the following ways:
  • IHC tissue array of 44 normal human tissues and 20 of the most common cancer type tissues.
  • Protein array of 364 human recombinant protein fragments.

Physical form

Solution in phosphate-buffered saline, pH 7.2, containing 40% glycerol and 0.02% sodium azide

Other Notes

Corresponding Antigen APREST73482

Legal Information

Prestige Antibodies is a registered trademark of Merck KGaA, Darmstadt, Germany

Disclaimer

Unless otherwise stated in our catalog or other company documentation accompanying the product(s), our products are intended for research use only and are not to be used for any other purpose, which includes but is not limited to, unauthorized commercial uses, in vitro diagnostic uses, ex vivo or in vivo therapeutic uses or any type of consumption or application to humans or animals.


Still not finding the right product?

or

Try our Product Selector Tool to narrow your options


Storage Class

10 - Combustible liquids

wgk

WGK 1

flash_point_f

Not applicable

flash_point_c

Not applicable

ppe

Eyeshields, Gloves, multi-purpose combination respirator cartridge (US)

Regulatory Information

常规特殊物品
低风险生物材料

This item has



Choose from one of the most recent versions:

Certificates of Analysis (COA)

Lot/Batch Number

Don't see the Right Version?

If you require a particular version, you can look up a specific certificate by the Lot or Batch number.

Already Own This Product?

Find documentation for the products that you have recently purchased in the Document Library.

Visit the Document Library


Related Content

Prestige Antibodies Immunofluorescence Procedure


Emma L Prescott et al.
Journal of virology, 88(21), 12599-12611 (2014-08-22)
The serine-arginine-specific protein kinase SRPK1 is a common binding partner of the E1^E4 protein of diverse human papillomavirus types. We show here for the first time that the interaction between HPV1 E1^E4 and SRPK1 leads to potent inhibition of SRPK1
Nicholas Bullock et al.
Journal of clinical pathology, 69(2), 171-175 (2015-10-27)
Vascular endothelial growth factor (VEGF) undergoes alternative splicing to produce both proangiogenic and antiangiogenic isoforms. Preferential splicing of proangiogenic VEGF is determined by serine-arginine protein kinase 1 (SRPK1), which is upregulated in a number of cancers. In the present study
Bo Zhou et al.
Molecular and cellular biochemistry, 379(1-2), 191-199 (2013-05-07)
Protein kinases are important regulators in biologic processes. Aberrant expression of protein kinases often causes diseases including cancer. In the present study, we found that the serine-arginine protein kinase 1 (SRPK1) might be involved in hepatocellular carcinoma (HCC) proliferation from



Global Trade Item Number

SKUGTIN
HPA016431-100UL04061837137532
HPA016431-25UL04061842827985