Skip to Content
Merck
CN

HPA018248

Anti-SMARCB1 antibody produced in rabbit

Prestige Antibodies® Powered by Atlas Antibodies, affinity isolated antibody, buffered aqueous glycerol solution

Synonym(s):

Anti-BAF47, Anti-Ini1, Anti-PPP1R144, Anti-RDT, Anti-SNF5, Anti-SNF5L1, Anti-Sfh1p, Anti-Snr1, Anti-hSNFS

Sign In to View Organizational & Contract Pricing.

Select a Size

Change View

About This Item

UNSPSC Code:
12352203
NACRES:
NA.41
Human Protein Atlas Number:
Conjugate:
unconjugated
Clone:
polyclonal
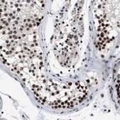
Application:
IF, IHC
Citations:
12
Technical Service
Need help? Our team of experienced scientists is here for you.
Let Us Assist


biological source

rabbit

Quality Level

conjugate

unconjugated

antibody form

affinity isolated antibody

antibody product type

primary antibodies

clone

polyclonal

product line

Prestige Antibodies® Powered by Atlas Antibodies

form

buffered aqueous glycerol solution

species reactivity

mouse, rat, human

enhanced validation

independent
Learn more about Antibody Enhanced Validation

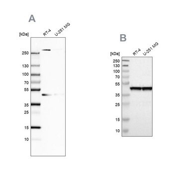
technique(s)

immunoblotting: 0.04-0.4 μg/mL, immunofluorescence: 0.25-2 μg/mL, immunohistochemistry: 1:50-1:200

immunogen sequence

SVTLLKASEVEEILDGNDEKYKAVSISTEPPTYLREQKAKRNSQWVPTLPNSSHHLDAVPCSTTINRNRMGRDKKRTFPLCFDDHDPAVIHENASQPE

UniProt accession no.

shipped in

wet ice

storage temp.

−20°C

target post-translational modification

unmodified

Gene Information

human ... SMARCB1(6598)

General description

The gene SWI/SNF-related matrix-associated actin-dependent regulator of chromatin subfamily B member 1 (SMARCB1) is mapped to human chromosome 22q11.23. The protein is localized in the nucleus.

Immunogen

SWI/SNF-related matrix-associated actin-dependent regulator of chromatin subfamily B member 1 recombinant protein epitope signature tag (PrEST)

Application

Anti-SMARCB1 antibody produced in rabbit, a Prestige Antibody, is developed and validated by the Human Protein Atlas (HPA) project . Each antibody is tested by immunohistochemistry against hundreds of normal and disease tissues. These images can be viewed on the Human Protein Atlas (HPA) site by clicking on the Image Gallery link. The antibodies are also tested using immunofluorescence and western blotting. To view these protocols and other useful information about Prestige Antibodies and the HPA, visit sigma.com/prestige.
Applications in which this antibody has been used successfully, and the associated peer-reviewed papers, are given below.
Immunohistochemistry (1 paper)

Biochem/physiol Actions

SWI/SNF-related matrix-associated actin-dependent regulator of chromatin subfamily B member 1 (SMARCB1) is member of chromatin-remodelling SWI/SNF (SWItch/Sucrose Non-Fermentable) multiprotein complex. SMARCB1 directly interacts with other components of the complex including BRG1-associated factor 170 (BAF170) and BAF155. PIH1 domain-containing protein-1 (PIH1) interacts with histone H4 and recruits SWI/SNF complex via SMARCB1, thereby regulating chromatin remodeling at the core promoter of rRNA genes. Mutations in SMARCB1 are associated with formation of malignant rhabdoid tumors. SMARCB1 controls G1-S transition of the cell cycle. Overexpression of SMARCB1 leads to cell cycle arrest in malignant rhabdoid tumor cells. SMARCB1 germline mutations are associated with familial schwannomatosis. Similarly, SMARCB1 mutations are observed in humans with coffin-siris syndrome. SMARCB1 interacts and stimulates HIV (Human immunodeficiency virus)-1 integrase activity, catalyzing the integration of retroviral cDNA into host chromosome.

Features and Benefits

Prestige Antibodies® are highly characterized and extensively validated antibodies with the added benefit of all available characterization data for each target being accessible via the Human Protein Atlas portal linked just below the product name at the top of this page. The uniqueness and low cross-reactivity of the Prestige Antibodies® to other proteins are due to a thorough selection of antigen regions, affinity purification, and stringent selection. Prestige antigen controls are available for every corresponding Prestige Antibody and can be found in the linkage section.

Every Prestige Antibody is tested in the following ways:
  • IHC tissue array of 44 normal human tissues and 20 of the most common cancer type tissues.
  • Protein array of 364 human recombinant protein fragments.

Physical form

Solution in phosphate-buffered saline, pH 7.2, containing 40% glycerol and 0.02% sodium azide

Other Notes

Corresponding Antigen APREST74552

Legal Information

Prestige Antibodies is a registered trademark of Merck KGaA, Darmstadt, Germany

Disclaimer

Unless otherwise stated in our catalog or other company documentation accompanying the product(s), our products are intended for research use only and are not to be used for any other purpose, which includes but is not limited to, unauthorized commercial uses, in vitro diagnostic uses, ex vivo or in vivo therapeutic uses or any type of consumption or application to humans or animals.


Still not finding the right product?

or

Try our Product Selector Tool to narrow your options


Storage Class

10 - Combustible liquids

wgk

WGK 1

flash_point_f

Not applicable

flash_point_c

Not applicable

ppe

Eyeshields, Gloves, multi-purpose combination respirator cartridge (US)

Regulatory Information

低风险生物材料
常规特殊物品

This item has



Choose from one of the most recent versions:

Certificates of Analysis (COA)

Lot/Batch Number

Don't see the Right Version?

If you require a particular version, you can look up a specific certificate by the Lot or Batch number.

Already Own This Product?

Find documentation for the products that you have recently purchased in the Document Library.

Visit the Document Library


Related Content

Prestige Antibodies Immunofluorescence Procedure


Niu Zhai et al.
Journal of molecular cell biology, 4(4), 231-241 (2012-03-01)
Ribosome biogenesis is critical in the growth of eukaryotic cells, in which the synthesis of precursor ribosomal RNA is the first and rate-limiting step. Here, we show that human PIH1 domain-containing protein 1 (PIH1) interacts directly with histone H4 and
Ajeet Pratap Singh et al.
Nucleic acids research, 42(5), 2958-2975 (2013-12-18)
The regulatory networks of differentiation programs and the molecular mechanisms of lineage-specific gene regulation in mammalian embryos remain only partially defined. We document differential expression and temporal switching of BRG1-associated factor (BAF) subunits, core pluripotency factors and cardiac-specific genes during
Tanya M Tekautz et al.
Journal of clinical oncology : official journal of the American Society of Clinical Oncology, 23(7), 1491-1499 (2005-03-01)
To describe clinical features, therapeutic approaches, and prognostic factors in pediatric patients with atypical teratoid/rhabdoid tumors (ATRT) treated at St Jude Children's Research Hospital (SJCRH). Primary tumor samples from patients diagnosed with ATRT at SJCRH between July 1984 and June



Global Trade Item Number

SKUGTIN
HPA018248-100UL04061837138423
HPA018248-25UL04061842837366