Skip to Content
Merck
CN

HPA021241

Anti-PHGDH antibody produced in rabbit

Prestige Antibodies® Powered by Atlas Antibodies, affinity isolated antibody, buffered aqueous glycerol solution, Ab1

Synonym(s):

Anti-3-PGDH, Anti-D-3-phosphoglycerate dehydrogenase

Sign In to View Organizational & Contract Pricing.

Select a Size

Change View

About This Item

UNSPSC Code:
12352203
NACRES:
NA.43
Human Protein Atlas Number:
Conjugate:
unconjugated
Clone:
polyclonal
Application:
IF, IHC
Citations:
30
Technical Service
Need help? Our team of experienced scientists is here for you.
Let Us Assist


biological source

rabbit

Quality Level

conjugate

unconjugated

antibody form

affinity isolated antibody

antibody product type

primary antibodies

clone

polyclonal

product line

Prestige Antibodies® Powered by Atlas Antibodies

form

buffered aqueous glycerol solution

species reactivity

mouse, rat, human

enhanced validation

orthogonal RNAseq
independent
Learn more about Antibody Enhanced Validation

technique(s)

immunoblotting: 0.04-0.4 μg/mL, immunofluorescence: 0.25-2 μg/mL, immunohistochemistry: 1:500-1:1000

immunogen sequence

LEEIWPLCDFITVHTPLLPSTTGLLNDNTFAQCKKGVRVVNCARGGIVDEGALLRALQSGQCAGAALDVFTEEPPRDRALVDHENVISCPHLGASTKEAQSRCGEEIAVQFVDM

UniProt accession no.

application(s)

research pathology

shipped in

wet ice

storage temp.

−20°C

target post-translational modification

unmodified

Gene Information

human ... PHGDH(26227)

General description

The gene PHGDH (D-3-phosphoglycerate dehydrogenase) is mapped to human chromosome 1p.

Immunogen

D-3-phosphoglycerate dehydrogenase recombinant protein epitope signature tag (PrEST)

Application

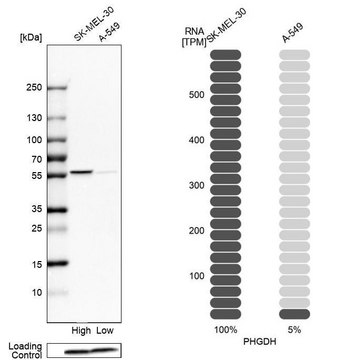
Anti-PHGDH antibody produced in rabbit, a Prestige Antibody, is developed and validated by the Human Protein Atlas (HPA) project . Each antibody is tested by immunohistochemistry against hundreds of normal and disease tissues. These images can be viewed on the Human Protein Atlas (HPA) site by clicking on the Image Gallery link. The antibodies are also tested using immunofluorescence and western blotting. To view these protocols and other useful information about Prestige Antibodies and the HPA, visit sigma.com/prestige.

Biochem/physiol Actions

PHGDH (D-3-phosphoglycerate dehydrogenase) is mainly responsible for catalyzing initial step of the serine synthesis pathway, converting 3-phosphoglycerate into 3-phosphohydroxypyruvate. It is up-regulated in estrogen receptor-negative breast cancers, melanoma and cervical cancers. Mutations in PHGDH are associated with Neu-Laxova syndrome. Down-regulation in PHGDH levels results in congenital microcephaly, psychomotor retardation and seizures.

Features and Benefits

Prestige Antibodies® are highly characterized and extensively validated antibodies with the added benefit of all available characterization data for each target being accessible via the Human Protein Atlas portal linked just below the product name at the top of this page. The uniqueness and low cross-reactivity of the Prestige Antibodies® to other proteins are due to a thorough selection of antigen regions, affinity purification, and stringent selection. Prestige antigen controls are available for every corresponding Prestige Antibody and can be found in the linkage section.

Every Prestige Antibody is tested in the following ways:
  • IHC tissue array of 44 normal human tissues and 20 of the most common cancer type tissues.
  • Protein array of 364 human recombinant protein fragments.

Physical form

Solution in phosphate-buffered saline, pH 7.2, containing 40% glycerol and 0.02% sodium azide

Other Notes

Corresponding Antigen APREST73826

Legal Information

Prestige Antibodies is a registered trademark of Merck KGaA, Darmstadt, Germany

Disclaimer

Unless otherwise stated in our catalog or other company documentation accompanying the product(s), our products are intended for research use only and are not to be used for any other purpose, which includes but is not limited to, unauthorized commercial uses, in vitro diagnostic uses, ex vivo or in vivo therapeutic uses or any type of consumption or application to humans or animals.


Still not finding the right product?

or

Try our Product Selector Tool to narrow your options


Storage Class

10 - Combustible liquids

wgk

WGK 1

flash_point_f

Not applicable

flash_point_c

Not applicable

Regulatory Information

常规特殊物品

This item has



Choose from one of the most recent versions:

Certificates of Analysis (COA)

Lot/Batch Number

Don't see the Right Version?

If you require a particular version, you can look up a specific certificate by the Lot or Batch number.

Already Own This Product?

Find documentation for the products that you have recently purchased in the Document Library.

Visit the Document Library







Global Trade Item Number

SKUGTIN
HPA021241-100UL04061837139468
HPA021241-25UL04061842877768