Skip to Content
Merck
CN

HPA024185

Anti-RBCK1 antibody produced in rabbit

Prestige Antibodies® Powered by Atlas Antibodies, affinity isolated antibody, buffered aqueous glycerol solution

Synonym(s):

Anti-C20orf18, Anti-HOIL1, Anti-RBCK2, Anti-RNF54, Anti-UBCE7IP3, Anti-XAP4, Anti-ZRANB4

Sign In to View Organizational & Contract Pricing.

Select a Size

Change View

About This Item

UNSPSC Code:
12352203
NACRES:
NA.43
Human Protein Atlas Number:
Conjugate:
unconjugated
Clone:
polyclonal
Application:
Citations:
5
Technical Service
Need help? Our team of experienced scientists is here for you.
Let Us Assist


biological source

rabbit

Quality Level

conjugate

unconjugated

antibody form

affinity isolated antibody

antibody product type

primary antibodies

clone

polyclonal

product line

Prestige Antibodies® Powered by Atlas Antibodies

form

buffered aqueous glycerol solution

species reactivity

human

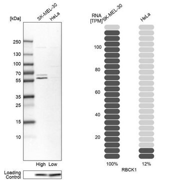
enhanced validation

orthogonal RNAseq
Learn more about Antibody Enhanced Validation

technique(s)

immunoblotting: 0.04-0.4 μg/mL

immunogen sequence

SVEDAQMHTVTIWLTVRPDMTVASLKDMVFLDYGFPPVLQQWVIGQRLARDQETLHSHGVRQNGDSAYLYLLSARNTSLNPQELQRERQLRMLEDLGFKDLTLQPRGPLEPGPPKPGVPQEPGRGQPDAVPEP

UniProt accession no.

shipped in

wet ice

storage temp.

−20°C

target post-translational modification

unmodified

Gene Information

human ... RBCK1(10616)

Immunogen

RanBP-type and C3HC4-type zinc finger-containing protein 1 recombinant protein epitope signature tag (PrEST)

Application

Applications in which this antibody has been used successfully, and the associated peer-reviewed papers, are given below.
Western Blotting (1 paper)

Features and Benefits

Prestige Antibodies® are highly characterized and extensively validated antibodies with the added benefit of all available characterization data for each target being accessible via the Human Protein Atlas portal linked just below the product name at the top of this page. The uniqueness and low cross-reactivity of the Prestige Antibodies® to other proteins are due to a thorough selection of antigen regions, affinity purification, and stringent selection. Prestige antigen controls are available for every corresponding Prestige Antibody and can be found in the linkage section.

Every Prestige Antibody is tested in the following ways:
  • IHC tissue array of 44 normal human tissues and 20 of the most common cancer type tissues.
  • Protein array of 364 human recombinant protein fragments.

Physical form

Solution in phosphate-buffered saline, pH 7.2, containing 40% glycerol and 0.02% sodium azide

Other Notes

Corresponding Antigen APREST86460

Legal Information

Prestige Antibodies is a registered trademark of Merck KGaA, Darmstadt, Germany

Disclaimer

Unless otherwise stated in our catalog or other company documentation accompanying the product(s), our products are intended for research use only and are not to be used for any other purpose, which includes but is not limited to, unauthorized commercial uses, in vitro diagnostic uses, ex vivo or in vivo therapeutic uses or any type of consumption or application to humans or animals.


Still not finding the right product?

or

Try our Product Selector Tool to narrow your options


Storage Class

10 - Combustible liquids

wgk

WGK 1

flash_point_f

Not applicable

flash_point_c

Not applicable

Regulatory Information

常规特殊物品
低风险生物材料
常规特殊物品

This item has



Choose from one of the most recent versions:

Certificates of Analysis (COA)

Lot/Batch Number

Don't see the Right Version?

If you require a particular version, you can look up a specific certificate by the Lot or Batch number.

Already Own This Product?

Find documentation for the products that you have recently purchased in the Document Library.

Visit the Document Library



Myles J Lewis et al.
American journal of human genetics, 96(2), 221-234 (2015-02-03)
UBE2L3 is associated with increased susceptibility to numerous autoimmune diseases, but the underlying mechanism is unexplained. By using data from a genome-wide association study of systemic lupus erythematosus (SLE), we observed a single risk haplotype spanning UBE2L3, consistently aligned across
Wei Bao et al.
Theranostics, 10(25), 11622-11636 (2020-10-15)
Rationale: Constitutive activation of the NF-κB signalling pathway plays a pivotal role in the pathogenesis of activated B cell-like diffuse large B-cell lymphomas (ABC-DLBCLs), the most aggressive and chemoresistant form of DLBCL. In ABC-DLBCLs, the CARMA1-BCL10 (CB) complex forms a
Ian R Kelsall et al.
Proceedings of the National Academy of Sciences of the United States of America, 116(27), 13293-13298 (2019-06-19)
The linear ubiquitin assembly complex (LUBAC) comprises 3 components: HOIP, HOIL-1, and Sharpin, of which HOIP and HOIL-1 are both members of the RBR subfamily of E3 ubiquitin ligases. HOIP catalyses the formation of Met1-linked ubiquitin oligomers (also called linear



Global Trade Item Number

SKUGTIN
HPA024185-100UL04061837127045
HPA024185-25UL04061842844234