Sign In to View Organizational & Contract Pricing.
Select a Size
Change View
About This Item
Conjugate:
unconjugated
Clone:
polyclonal
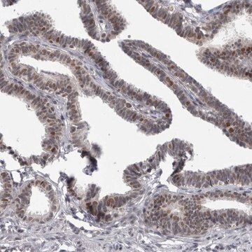
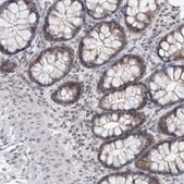
Application:
IF, IHC
Citations:
4
biological source
rabbit
Quality Level
conjugate
unconjugated
antibody form
affinity isolated antibody
antibody product type
primary antibodies
clone
polyclonal
product line
Prestige Antibodies® Powered by Atlas Antibodies
form
buffered aqueous glycerol solution
species reactivity
human
technique(s)
immunofluorescence: 0.25-2 μg/mL, immunohistochemistry: 1:20-1:50
immunogen sequence
YVLVASDRVAASNIVQMKDDHDKMFKMSEKILLLCVGEAGDTVQFAEYIQKNVQLYKMRNGYELSPTAAANFTRRNLADCLRSRTP
UniProt accession no.
shipped in
wet ice
storage temp.
−20°C
target post-translational modification
unmodified
Gene Information
human ... PSMB2(5690)
General description
Proteasome subunit β 2 (PSMB2) is a catalytic subunit of the proteasome complex. The gene encoding it is localized on human chromosome 1p34.2.
Immunogen
Proteasome subunit beta type-2 recombinant protein epitope signature tag (PrEST)
Application
All Prestige Antibodies Powered by Atlas Antibodies are developed and validated by the Human Protein Atlas (HPA) project and as a result, are supported by the most extensive characterization in the industry.
The Human Protein Atlas project can be subdivided into three efforts: Human Tissue Atlas, Cancer Atlas, and Human Cell Atlas. The antibodies that have been generated in support of the Tissue and Cancer Atlas projects have been tested by immunohistochemistry against hundreds of normal and disease tissues and through the recent efforts of the Human Cell Atlas project, many have been characterized by immunofluorescence to map the human proteome not only at the tissue level but now at the subcellular level. These images and the collection of this vast data set can be viewed on the Human Protein Atlas (HPA) site by clicking on the Image Gallery link. We also provide Prestige Antibodies® protocols and other useful information.
The Human Protein Atlas project can be subdivided into three efforts: Human Tissue Atlas, Cancer Atlas, and Human Cell Atlas. The antibodies that have been generated in support of the Tissue and Cancer Atlas projects have been tested by immunohistochemistry against hundreds of normal and disease tissues and through the recent efforts of the Human Cell Atlas project, many have been characterized by immunofluorescence to map the human proteome not only at the tissue level but now at the subcellular level. These images and the collection of this vast data set can be viewed on the Human Protein Atlas (HPA) site by clicking on the Image Gallery link. We also provide Prestige Antibodies® protocols and other useful information.
Biochem/physiol Actions
Proteasome subunit β 2 (PSMB2) has a trypsin-like activity. It has a role in double-strand break repair and associates with homeobox A2 (HOXA2). Overexpression of the protein in human cells has been shown to reduce homologous recombination. It may trigger the loading of β subunit onto a rings in the proteasome.
Features and Benefits
Prestige Antibodies® are highly characterized and extensively validated antibodies with the added benefit of all available characterization data for each target being accessible via the Human Protein Atlas portal linked just below the product name at the top of this page. The uniqueness and low cross-reactivity of the Prestige Antibodies® to other proteins are due to a thorough selection of antigen regions, affinity purification, and stringent selection. Prestige antigen controls are available for every corresponding Prestige Antibody and can be found in the linkage section.
Every Prestige Antibody is tested in the following ways:
Every Prestige Antibody is tested in the following ways:
- IHC tissue array of 44 normal human tissues and 20 of the most common cancer type tissues.
- Protein array of 364 human recombinant protein fragments.
Physical form
Solution in phosphate-buffered saline, pH 7.2, containing 40% glycerol and 0.02% sodium azide
Other Notes
Corresponding Antigen APREST76711
Legal Information
Prestige Antibodies is a registered trademark of Merck KGaA, Darmstadt, Germany
Still not finding the right product?
Explore all of our products under Anti-PSMB2 antibody produced in rabbit
— or —
Try our Product Selector Tool to narrow your options
Storage Class
10 - Combustible liquids
wgk
WGK 1
flash_point_f
Not applicable
flash_point_c
Not applicable
Regulatory Information
新产品
This item has
Choose from one of the most recent versions:
Already Own This Product?
Find documentation for the products that you have recently purchased in the Document Library.
The over-expression of the ?2 catalytic subunit of the proteasome decreases homologous recombination and impairs DNA double-strand break repair in human cells.
Collavoli A
Journal of Biomedicine and Biotechnology, 2011, 757960-757960 (2011)
Genetic relationships of the genes encoding the human proteasome beta subunits and the proteasome PA28 complex.
McCusker D
Genomics, 45(2), 362-367 (1997)
The homeodomain transcription factor Hoxa2 interacts with and promotes the proteasomal degradation of the E3 ubiquitin protein ligase RCHY1.
Bergiers L
PLoS ONE, 8(11), e80387-e80387 (2013)
Global Trade Item Number
| SKU | GTIN |
|---|---|
| HPA026324-100UL | 04061835673797 |
| HPA026324-25UL | 04061841669296 |