Skip to Content
Merck
CN

SAB1300526

Anti-SUMO4 (V55 Mutant) antibody produced in rabbit

saturated ammonium sulfate (SAS) precipitated, buffered aqueous solution

Synonym(s):

Anti-SMT3 suppressor of mif two 3 homolog 2, Anti-SMT3H4, Anti-SUMO-4, Anti-Small ubiquitin-like modifier 4, Anti-Small ubiquitin-like protein 4

Sign In to View Organizational & Contract Pricing.

Select a Size

Change View

About This Item

NACRES:
NA.41
UNSPSC Code:
12352203
Conjugate:
unconjugated
Clone:
polyclonal
Application:
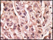
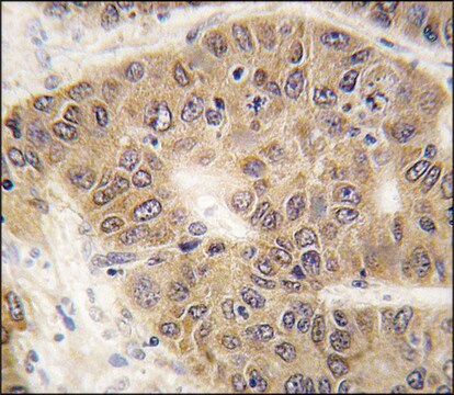
ELISA (i), IHC, WB
Citations:
-
Technical Service
Need help? Our team of experienced scientists is here for you.
Let Us Assist


biological source

rabbit

Quality Level

conjugate

unconjugated

antibody form

saturated ammonium sulfate (SAS) precipitated

antibody product type

primary antibodies

clone

polyclonal

form

buffered aqueous solution

species reactivity

human

technique(s)

immunohistochemistry: 1:50-1:100, indirect ELISA: 1:1000, western blot: 1:100-1:500

NCBI accession no.

UniProt accession no.

shipped in

dry ice

storage temp.

−20°C

target post-translational modification

mutation (Val55)

Gene Information

human ... SUMO4(387082)

General description

SUMO4 is a member of the SUMO gene family. This family of small ubiquitin-related modifiers covalently modify target lysines in proteins and control the target proteins′ subcellular localization, stability, or activity. Upon oxidative stress, SUMO4 conjugates to various anti-oxidant enzymes, chaperones, and stress defense proteins. This protein may also conjugate to NFKBIA, TFAP2A and FOS, negatively regulating their transcriptional activity, and to NR3C1, positively regulating its transcriptional activity. Covalent attachment to SUMO4 substrates requires prior activation by the E1 complex SAE1-SAE2 and linkage to the E2 enzyme UBE2I. In contrast to SUMO1, SUMO2 and SUMO3, SUMO4 seems to be insensitive to sentrin-specific proteases due to the presence of Pro-90. This may impair processing to mature form and conjugation to substrates. SUMO4 is located in the cytoplasm and specifically modifies IKBA, leading to negative regulation of NF-kappa-B-dependent transcription of the IL12B gene. The M55V substitution has been associated with type I diabetes. This antibody is generated from rabbits immunized with a KLH conjugated peptide CEPRGLS(V)KQIRFRFG selected from human SUMO4. This antibody is affinity purified using peptides CEPRGLS(V)KQIRFRFG (positive selection) and CEPRGLS(M)KQIRFRFG (negative selection).

Immunogen

SUMO4 (NP_001002255, )
This antibody is generated from rabbits immunized with a KLH conjugated peptide CEPRGLS(V)KQIRFRFG selected from human SUMO4. This antibody is affinity purified using peptides CEPRGLS(V)KQIRFRFG (positive selection) and CEPRGLS(M)KQIRFRFG (negative selection).

Physical form

Purified polyclonal antibody supplied in PBS with 0.09% (W/V) sodium azide.

Disclaimer

Unless otherwise stated in our catalog or other company documentation accompanying the product(s), our products are intended for research use only and are not to be used for any other purpose, which includes but is not limited to, unauthorized commercial uses, in vitro diagnostic uses, ex vivo or in vivo therapeutic uses or any type of consumption or application to humans or animals.


Still not finding the right product?

Try our Product Selector Tool to narrow your options


Storage Class

10 - Combustible liquids

wgk

nwg

flash_point_f

Not applicable

flash_point_c

Not applicable

Regulatory Information

常规特殊物品

This item has



Choose from one of the most recent versions:

Certificates of Analysis (COA)

Lot/Batch Number

Don't see the Right Version?

If you require a particular version, you can look up a specific certificate by the Lot or Batch number.

Already Own This Product?

Find documentation for the products that you have recently purchased in the Document Library.

Visit the Document Library



Global Trade Item Number

SKUGTIN
SAB1300526-400UL04061838057303