Skip to Content
Merck
CN

SAB1403907

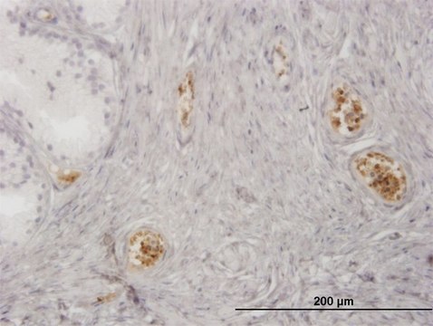
Monoclonal Anti-HBZ, (N-terminal) antibody produced in mouse

clone 1G10, purified immunoglobulin, buffered aqueous solution

Sign In to View Organizational & Contract Pricing.

Select a Size

Change View

About This Item

NACRES:
NA.41
UNSPSC Code:
12352203
Conjugate:
unconjugated
Clone:
1G10, monoclonal
Application:
ELISA (c), ELISA (i), IHC (p), WB
Citations:
-
Technical Service
Need help? Our team of experienced scientists is here for you.
Let Us Assist


biological source

mouse

Quality Level

conjugate

unconjugated

antibody form

purified immunoglobulin

antibody product type

primary antibodies

clone

1G10, monoclonal

form

buffered aqueous solution

mol wt

antigen ~34.91 kDa

species reactivity

human

technique(s)

capture ELISA: suitable, immunohistochemistry (formalin-fixed, paraffin-embedded sections): suitable, indirect ELISA: suitable, western blot: 1-5 μg/mL

isotype

IgG2bκ

NCBI accession no.

UniProt accession no.

shipped in

dry ice

storage temp.

−20°C

target post-translational modification

unmodified

Gene Information

human ... HBZ(3050)

General description

Zeta-globin is an alpha-like hemoglobin. The zeta-globin polypeptide is synthesized in the yolk sac of the early embryo, while alpha-globin is produced throughout fetal and adult like. The zeta-globin gene is a member of the human alpha-globin gene cluster that includes five functional genes and two pseudogenes. The order of genes is: 5′ - zeta - pseudozeta - mu - pseudoalpha-1 - alpha-2 -alpha-1 - theta1 - 3′. (provided by RefSeq)

Immunogen

HBZ (NP_005323, 1 a.a. ~ 81 a.a) full length recombinant protein with GST tag. MW of the GST tag alone is 26 KDa.

Sequence
MSLTKTERTIIVSMWAKISTQADTIGTETLERLFLSHPQTKTYFPHFDLHPGSAQLRAHGSKVVAAVGDAVKSIDDIGGAL

Physical form

Solution in phosphate buffered saline, pH 7.4


Still not finding the right product?

Try our Product Selector Tool to narrow your options


Storage Class

10 - Combustible liquids

wgk

WGK 1

flash_point_f

Not applicable

flash_point_c

Not applicable

Regulatory Information

常规特殊物品

This item has



Choose from one of the most recent versions:

Certificates of Analysis (COA)

Lot/Batch Number

Don't see the Right Version?

If you require a particular version, you can look up a specific certificate by the Lot or Batch number.

Already Own This Product?

Find documentation for the products that you have recently purchased in the Document Library.

Visit the Document Library



Global Trade Item Number

SKUGTIN
SAB1403907-100UG04061829622145