Skip to Content
Merck
CN

SAB4301114

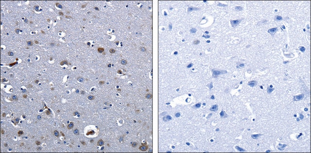
Anti-CBFA1 antibody produced in rabbit

affinity isolated antibody

Synonym(s):

Core-binding factor subunit alpha-1

Sign In to View Organizational & Contract Pricing.

Select a Size

Change View

About This Item

NACRES:
NA.41
UNSPSC Code:
12352203
Conjugate:
unconjugated
Clone:
polyclonal
Application:
IHC, WB
Citations:
2
Technical Service
Need help? Our team of experienced scientists is here for you.
Let Us Assist


biological source

rabbit

Quality Level

conjugate

unconjugated

antibody form

affinity isolated antibody

antibody product type

primary antibodies

clone

polyclonal

form

buffered aqueous solution

mol wt

54 kDa

species reactivity

human, mouse

concentration

0.8 mg/mL

technique(s)

immunohistochemistry: 1:10- 1:50, western blot: 1:200-1:1000 (Cell Lysate)

isotype

IgG

accession no.

NP_001015051.3

UniProt accession no.

shipped in

wet ice

storage temp.

−20°C

target post-translational modification

unmodified

Gene Information

human ... RUNX2(860)

Immunogen

Synthetic peptide corresponding to a region derived from 320-336 amino acids of Human Core-binding factor subunit alpha-1

Biochem/physiol Actions

The antibody detects endogenous level of total CBFA1 protein.

Features and Benefits

Evaluate our antibodies with complete peace of mind. If the antibody does not perform in your application, we will issue a full credit or replacement antibody. Learn more.

Physical form

Supplied at 0.8mg/mL in phosphate buffered saline (without Mg2+ and Ca2+), pH 7.3, 0.05% sodium azide and 50% glycerol.

Disclaimer

Unless otherwise stated in our catalog or other company documentation accompanying the product(s), our products are intended for research use only and are not to be used for any other purpose, which includes but is not limited to, unauthorized commercial uses, in vitro diagnostic uses, ex vivo or in vivo therapeutic uses or any type of consumption or application to humans or animals.


Still not finding the right product?

Try our Product Selector Tool to narrow your options


Storage Class

10 - Combustible liquids

wgk

WGK 1

flash_point_f

Not applicable

flash_point_c

Not applicable

Regulatory Information

新产品

This item has



Choose from one of the most recent versions:

Certificates of Analysis (COA)

Lot/Batch Number

Don't see the Right Version?

If you require a particular version, you can look up a specific certificate by the Lot or Batch number.

Already Own This Product?

Find documentation for the products that you have recently purchased in the Document Library.

Visit the Document Library



Greeshma Thrivikraman et al.
Nature communications, 10(1), 3520-3520 (2019-08-08)
Bone tissue, by definition, is an organic-inorganic nanocomposite, where metabolically active cells are embedded within a matrix that is heavily calcified on the nanoscale. Currently, there are no strategies that replicate these definitive characteristics of bone tissue. Here we describe
Lin-Ru Zeng et al.
Experimental and therapeutic medicine, 13(6), 2934-2938 (2017-06-08)
We studied the effect of molecular polyethylene particles on local heterotopic ossification. A total of 36 healthy Sprague-Dawley rats were randomly divided into the control group (n=18) and the observation group (n=18). High molecular polyethylene particles were injected to rupture



Global Trade Item Number

SKUGTIN
SAB4301114-100UL04061837435720