Skip to Content
Merck
CN

SAB4504615

Anti-phospho-LATS1/2 (pThr1079/1041) antibody produced in rabbit

affinity isolated antibody

Synonym(s):

Anti-WARTS, Anti-wts

Sign In to View Organizational & Contract Pricing.

Select a Size

Change View

About This Item

NACRES:
NA.41
UNSPSC Code:
12352203
Conjugate:
unconjugated
Clone:
polyclonal
Application:
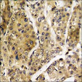
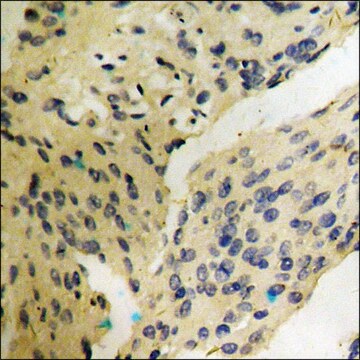
ELISA, IHC
Citations:
6
Technical Service
Need help? Our team of experienced scientists is here for you.
Let Us Assist


biological source

rabbit

Quality Level

conjugate

unconjugated

antibody form

affinity isolated antibody

antibody product type

primary antibodies

clone

polyclonal

form

buffered aqueous solution

mol wt

antigen 126 kDa

species reactivity

mouse, rat, human

concentration

~1 mg/mL

technique(s)

ELISA: 1:20000, immunohistochemistry: 1:50-1:100

NCBI accession no.

UniProt accession no.

shipped in

wet ice

storage temp.

−20°C

target post-translational modification

phosphorylation (pThr1079/pThr1041)

Gene Information

General description

Large tumor suppressor kinase 1/ 2 (LATS1/2) is a mammalian homologue of the Drosophila tumor suppressor gene (lats)/warts. LATS1 and LATS2 are encoded by the gene mapped to human chromosomes 6q23-25.1 and 13q11–q12 respectively. hLATS2 is highly expressed in skeletal muscle and heart. LATS1 encodes a putative serine/threonine kinase.

Immunogen

The antiserum was produced against synthesized peptide derived from human LATS1/2 around the phosphorylation site of Thr1079/1041.

Immunogen Range: 1041-1090

Biochem/physiol Actions

Large tumor suppressor kinase 1 (LATS1) and LATS2 are the key kinase constituents of the Hippo pathway. They play a vital role in the regulation of tumor progression and cell cycle, via various mechanisms and signaling pathways. LATS1 acts as a tumor suppressor in cervical cancer by regulating the expression of cyclin E, p27, matrix metalloproteinase 9 (MMP9) and yes-associated protein 1 (YAP). Overexpression of LATS2 leads to the development of acute myeloid leukemia (AML). Therefore, it is considered as a potential therapeutic target for AML treatment.

Features and Benefits

Evaluate our antibodies with complete peace of mind. If the antibody does not perform in your application, we will issue a full credit or replacement antibody. Learn more.

Physical form

Rabbit IgG in phosphate buffered saline (without Mg2+ and Ca2+), pH 7.4, 150mM NaCl, 0.02% sodium azide and 50% glycerol.

Disclaimer

Unless otherwise stated in our catalog or other company documentation accompanying the product(s), our products are intended for research use only and are not to be used for any other purpose, which includes but is not limited to, unauthorized commercial uses, in vitro diagnostic uses, ex vivo or in vivo therapeutic uses or any type of consumption or application to humans or animals.


Still not finding the right product?

or

Try our Product Selector Tool to narrow your options


Storage Class

10 - Combustible liquids

wgk

WGK 1

flash_point_f

Not applicable

flash_point_c

Not applicable

Regulatory Information

常规特殊物品
低风险生物材料

This item has



Choose from one of the most recent versions:

Certificates of Analysis (COA)

Lot/Batch Number

Don't see the Right Version?

If you require a particular version, you can look up a specific certificate by the Lot or Batch number.

Already Own This Product?

Find documentation for the products that you have recently purchased in the Document Library.

Visit the Document Library



Structure, expression, and chromosome mapping of LATS2, a mammalian homologue of the Drosophila tumor suppressor gene lats/warts.
Yabuta N
Genomics, 63, 263-270 (2000)
Molecular alterations of h-warts/LATS1 tumor suppressor in human soft tissue sarcoma.
Hisaoka M
Laboratory Investigation; a Journal of Technical Methods and Pathology, 82, 1427-1435 (2002)
LATS1 suppresses proliferation and invasion of cervical cancer
Molecular Medicine Reports, 15, 1654-1660 (2017)



Global Trade Item Number

SKUGTIN
SAB4504615-100UG04061832527031