Skip to Content
Merck
CN

SAB4702103

Monoclonal Anti-Neurofilament H, purified produced in mouse

Synonym(s):

CMT2CC, NEFH, NFH, Neurofilament heavy chain

Sign In to View Organizational & Contract Pricing.

Select a Size

Change View

About This Item

UNSPSC Code:
12352203
NACRES:
NA.41
Conjugate:
unconjugated
Clone:
NF-01, monoclonal
Application:
ICC, IHC, WB
Citations:
-
Technical Service
Need help? Our team of experienced scientists is here for you.
Let Us Assist


conjugate

unconjugated

Quality Level

antibody product type

primary antibodies

clone

NF-01, monoclonal

form

buffered aqueous solution

species reactivity

(Mammalian)

concentration

1 mg/ml

technique(s)

immunocytochemistry: suitable, immunohistochemistry: suitable, western blot: suitable

isotype

IgG1

UniProt accession no.

storage temp.

2-8°C

target post-translational modification

unmodified

Gene Information

human ... NEFH(4744)

General description

Neurofilaments (NFs) are a type of intermediate filament (IF) expressed almost exclusively in neuronal cells, and in those cells most prominently in large axons. NFs in most vertebrates are composed of three different polypeptide chains with different molecular weights – neurofilament heavy protein (NF-H), medium (NF-M) and light protein (NF-L), which share sequence and structural similarity in a coiled-coil core domain, but differ in the length and sequence of their N-termini and more dramatically of their C-termini which in the case of NF-M and NF-H form the flexible extensions that link NFs to each other and to other elements in the cytoplasm. The protein segment on the C-terminal side of the human NF-H rod is uniquely long (more than 600 amino acids) compared to other IF proteins and is highly charged (> 24 % Glu, > 25 % Lys), rich in proline (> 12 %) and improverished in cysteine, methionine and aromatic amino acids. Its most remarkable feature is a repetitive sequence that covers more than half its lenght and includes the sekvence motif Lys-Ser-Pro (KSP) greater than 40 times. Plasma neurofilament heavy chain level has been proposed as a marker of axonal injury and clinical use of its degeneration and loss has been suggested as a biomarker of several neurodegenerative diseases.

Immunogen

Pellet of porcine brain cold-stable proteins after depolymerization of microtubules.

Biochem/physiol Actions

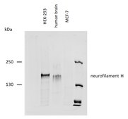
The antibody NF-01 recognizes a phosphorylated epitope on heavy neurofilament protein (210 kDa intracellular antigen) of various species. Antibodies to the various neurofilament subunits are very useful cell type markers since the proteins are among the most abundant of the nervous system, are expressed only in neurons and are biochemically very stable.

Physical form

Phosphate buffered saline (PBS), pH 7.4, 15 mM sodium azide

Preparation Note

Purified by protein-A affinity chromatography.
Store at 2-8°C. Do not freeze.

Other Notes

The antibody solution should be gently mixed before use.


Still not finding the right product?

Try our Product Selector Tool to narrow your options


Storage Class

12 - Non Combustible Liquids

wgk

WGK 1

flash_point_f

Not applicable

flash_point_c

Not applicable

Regulatory Information

新产品

This item has



Choose from one of the most recent versions:

Certificates of Analysis (COA)

Lot/Batch Number

It looks like we've run into a problem, but you can still download Certificates of Analysis from our Documents section.

If you need assistance, please contact Customer Support

Already Own This Product?

Find documentation for the products that you have recently purchased in the Document Library.

Visit the Document Library



Global Trade Item Number

SKUGTIN
SAB4702103-100UG04065272340236