Skip to Content
Merck
CN

SAB5500063

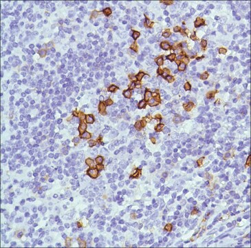
Anti-CD38 antibody, Rabbit monoclonal

clone SP149, recombinant, expressed in proprietary host, tissue culture supernatant

Sign In to View Organizational & Contract Pricing.

Select a Size

Change View

About This Item

NACRES:
NA.41
UNSPSC Code:
12352203
Conjugate:
unconjugated
Clone:
SP149, monoclonal
Application:
FACS, IHC
Citations:
-
Technical Service
Need help? Our team of experienced scientists is here for you.
Let Us Assist


biological source

rabbit

Quality Level

recombinant

expressed in proprietary host

conjugate

unconjugated

antibody form

tissue culture supernatant

antibody product type

primary antibodies

clone

SP149, monoclonal

species reactivity

human (tested)

species reactivity (predicted by homology)

monkey

technique(s)

flow cytometry: 1:100, immunohistochemistry: 1:100

isotype

IgG

UniProt accession no.

shipped in

wet ice

storage temp.

2-8°C

target post-translational modification

unmodified

Gene Information

human ... CD38(952)

General description

CD38 (cluster of differentiation 38), also known as cyclic ADP ribose hydrolase, is a transmembrane glycoprotein found on the surface of some immune cells including plasma cells, activated or immature T and B cells, monocytes, and natural killer cells. CD38 participates in cell adhesion, signal transduction and calcium signaling. It is expressed at high levels in the plasma cell tumor, prostate cancer, stomach cancer, and neuroblastoma. CD38 is used as one of the plasma cell markers and its ligand is CD31 molecules.

Immunogen

Synthetic peptide derived from the C-terminus of human CD38 protein.

Features and Benefits

Evaluate our antibodies with complete peace of mind. If the antibody does not perform in your application, we will issue a full credit or replacement antibody. Learn more.

Physical form

0.1 ml rabbit monoclonal antibody supplied as tissue culture supernatant in TBS/1% BSA buffer pH 7.5 with less than 0.1% sodium azide.

Disclaimer

Unless otherwise stated in our catalog or other company documentation accompanying the product(s), our products are intended for research use only and are not to be used for any other purpose, which includes but is not limited to, unauthorized commercial uses, in vitro diagnostic uses, ex vivo or in vivo therapeutic uses or any type of consumption or application to humans or animals.


Still not finding the right product?

Try our Product Selector Tool to narrow your options


flash_point_f

Not applicable

flash_point_c

Not applicable

Storage Class

12 - Non Combustible Liquids

Regulatory Information

低风险生物材料
常规特殊物品

This item has



Choose from one of the most recent versions:

Certificates of Analysis (COA)

Lot/Batch Number

Don't see the Right Version?

If you require a particular version, you can look up a specific certificate by the Lot or Batch number.

Already Own This Product?

Find documentation for the products that you have recently purchased in the Document Library.

Visit the Document Library



Global Trade Item Number

SKUGTIN
SAB5500063-100UL04061837833427