Skip to Content
Merck
CN

SAB5500081

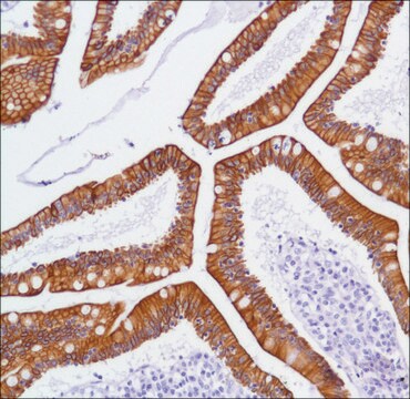
Anti-C-ERBB3 antibody, Rabbit monoclonal

clone SP71, recombinant, expressed in proprietary host, affinity isolated antibody

Sign In to View Organizational & Contract Pricing.

Select a Size

Change View

About This Item

NACRES:
NA.41
UNSPSC Code:
12352203
Conjugate:
unconjugated
Clone:
SP71, monoclonal
Application:
IHC
Citations:
-
Technical Service
Need help? Our team of experienced scientists is here for you.
Let Us Assist


biological source

rabbit

Quality Level

recombinant

expressed in proprietary host

conjugate

unconjugated

antibody form

affinity isolated antibody

antibody product type

primary antibodies

clone

SP71, monoclonal

species reactivity

human (tested)

species reactivity (predicted by homology)

mouse, rat

technique(s)

immunohistochemistry: 1:100

isotype

IgG

UniProt accession no.

shipped in

wet ice

storage temp.

2-8°C

target post-translational modification

unmodified

Gene Information

human ... ERBB3(2065)

General description

The gene for c-erbB-3/HER-3 is located on the long arm of human chromosome 12 (12q13) and is transcribed into a 6.2kb mRNA which is translated into a 160/180kDa glycoprotein. The c-erbB-3/HER-3 gene encodes secreted as well as transmembrane receptor tyrosine kinase due to alternative splicing. The c-erbB-3 is overexpressed in a variety of tumors including breast, stomach, pancreas, and colon.

Immunogen

Synthetic peptide corresponding to internal region of human c-erbB-3.

Features and Benefits

Evaluate our antibodies with complete peace of mind. If the antibody does not perform in your application, we will issue a full credit or replacement antibody. Learn more.

Physical form

0.1 ml rabbit monoclonal antibody purified by protein A/G in PBS/1% BSA buffer pH 7.6 with less than 0.1% sodium azide.

Disclaimer

Unless otherwise stated in our catalog or other company documentation accompanying the product(s), our products are intended for research use only and are not to be used for any other purpose, which includes but is not limited to, unauthorized commercial uses, in vitro diagnostic uses, ex vivo or in vivo therapeutic uses or any type of consumption or application to humans or animals.


Still not finding the right product?

Try our Product Selector Tool to narrow your options


flash_point_f

Not applicable

flash_point_c

Not applicable

Storage Class

12 - Non Combustible Liquids

Regulatory Information

新产品

This item has



Choose from one of the most recent versions:

Certificates of Analysis (COA)

Lot/Batch Number

It looks like we've run into a problem, but you can still download Certificates of Analysis from our Documents section.

If you need assistance, please contact Customer Support

Already Own This Product?

Find documentation for the products that you have recently purchased in the Document Library.

Visit the Document Library



Global Trade Item Number

SKUGTIN
SAB5500081-100UL04061837833601