Skip to Content
Merck
CN

SAB56000292

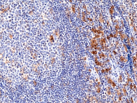
Anti-CD33 Rabbit Monoclonal Antibody

clone RM398, affinity purified immunoglobulin

Synonym(s):

Myeloid cell surface antigen CD33, Sialic acid-binding Ig-like lectin 3, gp67

Sign In to View Organizational & Contract Pricing.

Select a Size

Change View

About This Item

NACRES:
NA.41
UNSPSC Code:
12352203
Conjugate:
unconjugated
Clone:
RM398, monoclonal, recombinant monoclonal
Application:
IHC, WB
Citations:
-
Technical Service
Need help? Our team of experienced scientists is here for you.
Let Us Assist


Quality Level

conjugate

unconjugated

antibody form

affinity purified immunoglobulin

antibody product type

primary antibodies

clone

RM398, monoclonal, recombinant monoclonal

technique(s)

immunohistochemistry: 1:100-1:200, western blot: 1:100-1:200

isotype

IgG

UniProt accession no.

shipped in

wet ice

storage temp.

−20°C

target post-translational modification

unmodified

Gene Information

human ... CD33(945)

Immunogen

A peptide corresponding to the C-terminus of human CD33

Biochem/physiol Actions

This antibody reacts to CD33

Physical form

Solution in phosphate buffered saline containing 50% Glycerol/PBS with 1% BSA and 0.09% sodium azide.

Disclaimer

Unless otherwise stated in our catalog or other company documentation accompanying the product(s), our products are intended for research use only and are not to be used for any other purpose, which includes but is not limited to, unauthorized commercial uses, in vitro diagnostic uses, ex vivo or in vivo therapeutic uses or any type of consumption or application to humans or animals.


Still not finding the right product?

Try our Product Selector Tool to narrow your options


Storage Class

12 - Non Combustible Liquids

wgk

WGK 2

flash_point_f

Not applicable

flash_point_c

Not applicable

Regulatory Information

常规特殊物品
低风险生物材料

This item has



Choose from one of the most recent versions:

Certificates of Analysis (COA)

Lot/Batch Number

It looks like we've run into a problem, but you can still download Certificates of Analysis from our Documents section.

If you need assistance, please contact Customer Support

Already Own This Product?

Find documentation for the products that you have recently purchased in the Document Library.

Visit the Document Library



Global Trade Item Number

SKUGTIN
SAB56000292-100UL04065266951837