Skip to Content
Merck
CN

SAB5700493

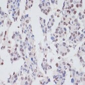
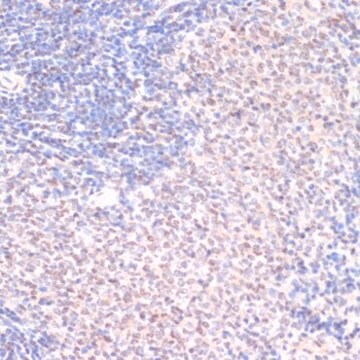
Anti-Phospho-SRF-S103 antibody produced in rabbit

Synonym(s):

MCM1, SRF

Sign In to View Organizational & Contract Pricing.

Select a Size

Change View

About This Item

NACRES:
NA.41
UNSPSC Code:
12352203
Clone:
polyclonal
Species reactivity:
rat, human, mouse
Application:
IHC, WB
Citations:
-
Technical Service
Need help? Our team of experienced scientists is here for you.
Let Us Assist


biological source

rabbit

Quality Level

antibody form

affinity isolated antibody

antibody product type

primary antibodies

clone

polyclonal

form

buffered aqueous solution

mol wt

51

species reactivity

rat, human, mouse

concentration

1.03 mg/ml

technique(s)

immunohistochemistry: 1:50-1:100, western blot: 1:500-1:2000

UniProt accession no.

shipped in

wet ice

storage temp.

−20°C

target post-translational modification

phosphorylation (pSer103)

Gene Information

human ... SRF(6722)

General description

This gene encodes a ubiquitous nuclear protein that stimulates both cell proliferation and differentiation. It is a member of the MADS (MCM1, Agamous, Deficiens, and SRF) box superfamily of transcription factors. This protein binds to the serum response element (SRE) in the promoter region of target genes. This protein regulates the activity of many immediate-early genes, for example c-fos, and thereby participates in cell cycle regulation, apoptosis, cell growth, and cell differentiation. This gene is the downstream target of many pathways; for example, the mitogen-activated protein kinase pathway (MAPK) that acts through the ternary complex factors (TCFs). Two transcript variants encoding different isoforms have been found for this gene.

Immunogen

A synthetic phosphorylated peptide around S103 of human SRF (NP_003122.1).

Physical form

PBS with 0.02% sodium azide,50% glycerol,pH7.3.

Preparation Note

Store at -20℃. Avoid freeze / thaw cycles.


Still not finding the right product?

Try our Product Selector Tool to narrow your options


Storage Class

12 - Non Combustible Liquids

wgk

WGK 1

flash_point_f

Not applicable

flash_point_c

Not applicable

Regulatory Information

常规特殊物品

This item has



Choose from one of the most recent versions:

Certificates of Analysis (COA)

Lot/Batch Number

It looks like we've run into a problem, but you can still download Certificates of Analysis from our Documents section.

If you need assistance, please contact Customer Support

Already Own This Product?

Find documentation for the products that you have recently purchased in the Document Library.

Visit the Document Library



Global Trade Item Number

SKUGTIN
SAB5700493-100UL04065265176385