Skip to Content
Merck
CN

SAB5700784

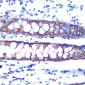
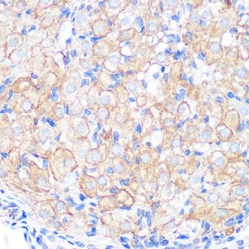
Anti-Occludin antibody produced in rabbit

Synonym(s):

BLCPMG, OCLN, Occludin, PPP1R115, PTORCH1, occludin

Sign In to View Organizational & Contract Pricing.

Select a Size

Change View

About This Item

NACRES:
NA.41
UNSPSC Code:
12352203
Conjugate:
unconjugated
Clone:
polyclonal
Application:
IF, IHC, WB
Citations:
-
Technical Service
Need help? Our team of experienced scientists is here for you.
Let Us Assist


biological source

rabbit

Quality Level

conjugate

unconjugated

antibody form

affinity isolated antibody

antibody product type

primary antibodies

clone

polyclonal

form

buffered aqueous solution

mol wt

23, 31, 52, 54, 59, 8

species reactivity

human, mouse, rat

concentration

1.77 mg/ml

technique(s)

immunofluorescence: 1:50-1:100, immunohistochemistry: 1:50-1:200, western blot: 1:1000-1:2000

UniProt accession no.

shipped in

wet ice

storage temp.

−20°C

target post-translational modification

unmodified

Gene Information

human ... OCLN(100506658)

General description

This gene encodes an integral membrane protein that is required for cytokine-induced regulation of the tight junction paracellular permeability barrier. Mutations in this gene are thought to be a cause of band-like calcification with simplified gyration and polymicrogyria (BLC-PMG), an autosomal recessive neurologic disorder that is also known as pseudo-TORCH syndrome. Alternative splicing results in multiple transcript variants. A related pseudogene is present 1.5 Mb downstream on the q arm of chromosome 5.

Immunogen

Recombinant fusion protein containing a sequence corresponding to amino acids 263-522 of human Occludin (NP_002529.1).

Physical form

PBS with 0.02% sodium azide,50% glycerol,pH7.3.

Preparation Note

Store at -20℃. Avoid freeze / thaw cycles.


Still not finding the right product?

Try our Product Selector Tool to narrow your options


Storage Class

12 - Non Combustible Liquids

wgk

WGK 1

Regulatory Information

常规特殊物品
低风险生物材料

This item has



Choose from one of the most recent versions:

Certificates of Analysis (COA)

Lot/Batch Number

It looks like we've run into a problem, but you can still download Certificates of Analysis from our Documents section.

If you need assistance, please contact Customer Support

Already Own This Product?

Find documentation for the products that you have recently purchased in the Document Library.

Visit the Document Library



Global Trade Item Number

SKUGTIN
SAB5700784-100UL04065265181143