Skip to Content
Merck
CN

SAB5701168

Anti-CDC42 antibody produced in rabbit

Sign In to View Organizational & Contract Pricing.

Select a Size

Change View

About This Item

NACRES:
NA.43
UNSPSC Code:
12352203
Conjugate:
unconjugated
Clone:
monoclonal
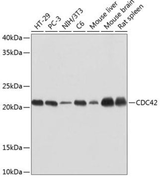
Application:
WB
Citations:
-
Technical Service
Need help? Our team of experienced scientists is here for you.
Let Us Assist


biological source

rabbit

Quality Level

conjugate

unconjugated

antibody product type

primary antibodies

clone

monoclonal

form

liquid

species reactivity

human

concentration

1.4 mg/mL

technique(s)

western blot: 1:500-1:2000

UniProt accession no.

shipped in

wet ice

storage temp.

−20°C

target post-translational modification

unmodified

Gene Information

human ... CDC42(998)

General description

The protein encoded by this gene is a small GTPase of the Rho-subfamily, which regulates signaling pathways that control diverse cellular functions including cell morphology, migration, endocytosis and cell cycle progression. This protein is highly similar to Saccharomyces cerevisiae Cdc 42, and is able to complement the yeast cdc42-1 mutant. The product of oncogene Dbl was reported to specifically catalyze the dissociation of GDP from this protein. This protein could regulate actin polymerization through its direct binding to Neural Wiskott-Aldrich syndrome protein (N-WASP), which subsequently activates Arp2/3 complex. Alternative splicing of this gene results in multiple transcript variants. Pseudogenes of this gene have been identified on chromosomes 3, 4, 5, 7, 8 and 20. [provided by RefSeq, Apr 2013]

Immunogen

A synthesized peptide derived from human CDC42

Physical form

Buffer: PBS with 0.02% sodium azide,0.05% BSA,50% glycerol,pH7.3.


Still not finding the right product?

or

Try our Product Selector Tool to narrow your options


Storage Class

12 - Non Combustible Liquids

wgk

WGK 1

flash_point_f

Not applicable

flash_point_c

Not applicable

Regulatory Information

常规特殊物品

This item has



Choose from one of the most recent versions:

Certificates of Analysis (COA)

Lot/Batch Number

Don't see the Right Version?

If you require a particular version, you can look up a specific certificate by the Lot or Batch number.

Already Own This Product?

Find documentation for the products that you have recently purchased in the Document Library.

Visit the Document Library



Global Trade Item Number

SKUGTIN
SAB5701168-100UL04065267663456