Skip to Content
Merck
CN

SAB5701614

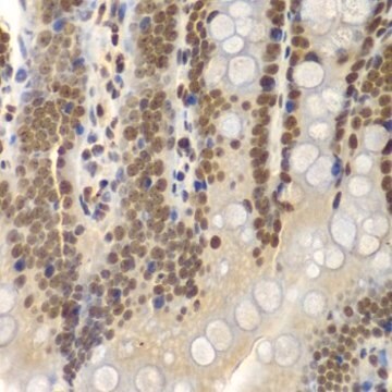
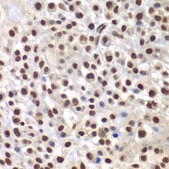
Anti- SMARCB1/SNF5 antibody produced in rabbit

Sign In to View Organizational & Contract Pricing.

Select a Size

Change View

About This Item

NACRES:
NA.41
UNSPSC Code:
12352203
Conjugate:
unconjugated
Clone:
polyclonal
Application:
IHC, WB
Citations:
-
Technical Service
Need help? Our team of experienced scientists is here for you.
Let Us Assist


biological source

rabbit

Quality Level

conjugate

unconjugated

antibody product type

primary antibodies

clone

polyclonal

form

liquid

species reactivity

mouse, rat, human

concentration

2.1 mg/mL

technique(s)

immunohistochemistry: 1:50-1:200, western blot: 1:500-1:2000

UniProt accession no.

shipped in

wet ice

storage temp.

−20°C

target post-translational modification

unmodified

Gene Information

human ... SMARCB1(6598)

General description

The protein encoded by this gene is part of a complex that relieves repressive chromatin structures, allowing the transcriptional machinery to access its targets more effectively. The encoded nuclear protein may also bind to and enhance the DNA joining activity of HIV-1 integrase. This gene has been found to be a tumor suppressor, and mutations in it have been associated with malignant rhabdoid tumors. Alternatively spliced transcript variants have been found for this gene.

Immunogen

Recombinant fusion protein containing a sequence corresponding to amino acids 77-376 of human SMARCB1/SNF5 (NP_001007469.1).

Physical form

Buffer: PBS with 0.02% sodium azide,50% glycerol,pH7.3.


Still not finding the right product?

or

Try our Product Selector Tool to narrow your options


Storage Class

12 - Non Combustible Liquids

wgk

WGK 1

flash_point_f

Not applicable

flash_point_c

Not applicable

Regulatory Information

常规特殊物品

This item has



Choose from one of the most recent versions:

Certificates of Analysis (COA)

Lot/Batch Number

Don't see the Right Version?

If you require a particular version, you can look up a specific certificate by the Lot or Batch number.

Already Own This Product?

Find documentation for the products that you have recently purchased in the Document Library.

Visit the Document Library



Global Trade Item Number

SKUGTIN
SAB5701614-100UL04065267671888