Skip to Content
Merck
CN

SAB5701644

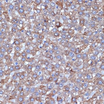
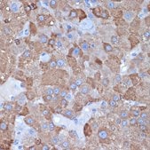
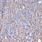
Anti-ALDH1L1 antibody produced in rabbit

Sign In to View Organizational & Contract Pricing.

Select a Size

Change View

About This Item

NACRES:
NA.43
UNSPSC Code:
12352203
Conjugate:
unconjugated
Clone:
monoclonal
Application:
IHC, WB
Citations:
-
Technical Service
Need help? Our team of experienced scientists is here for you.
Let Us Assist


biological source

rabbit

Quality Level

conjugate

unconjugated

antibody product type

primary antibodies

clone

monoclonal

form

liquid

species reactivity

human, mouse, rat

concentration

1 mg/mL

technique(s)

immunohistochemistry: 1:50-1:200, western blot: 1:500-1:1000

UniProt accession no.

shipped in

wet ice

storage temp.

−20°C

target post-translational modification

unmodified

Gene Information

human ... ALDH1L1(10840)

General description

The protein encoded by this gene catalyzes the conversion of 10-formyltetrahydrofolate, nicotinamide adenine dinucleotide phosphate (NADP+), and water to tetrahydrofolate, NADPH, and carbon dioxide. The encoded protein belongs to the aldehyde dehydrogenase family. Loss of function or expression of this gene is associated with decreased apoptosis, increased cell motility, and cancer progression. There is an antisense transcript that overlaps on the opposite strand with this gene locus. Alternative splicing results in multiple transcript variants. [provided by RefSeq, Jun 2012]

Immunogen

A synthesized peptide derived from human ALDH1L1

Physical form

Buffer: PBS with 0.02% sodium azide,0.05% BSA,50% glycerol,pH7.3.


Still not finding the right product?

or

Try our Product Selector Tool to narrow your options


Storage Class

12 - Non Combustible Liquids

wgk

WGK 1

flash_point_f

Not applicable

flash_point_c

Not applicable

Regulatory Information

常规特殊物品

This item has



Choose from one of the most recent versions:

Certificates of Analysis (COA)

Lot/Batch Number

Don't see the Right Version?

If you require a particular version, you can look up a specific certificate by the Lot or Batch number.

Already Own This Product?

Find documentation for the products that you have recently purchased in the Document Library.

Visit the Document Library



Global Trade Item Number

SKUGTIN
SAB5701644-100UL04065267672182