Skip to Content
Merck
CN

SAB5701654

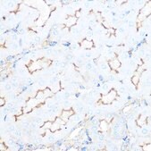
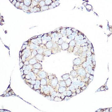
Anti-SSTR5 antibody produced in rabbit

Sign In to View Organizational & Contract Pricing.

Select a Size

Change View

About This Item

NACRES:
NA.41
UNSPSC Code:
12352203
Conjugate:
unconjugated
Clone:
monoclonal
Application:
IHC, WB
Citations:
-
Technical Service
Need help? Our team of experienced scientists is here for you.
Let Us Assist


biological source

rabbit

Quality Level

conjugate

unconjugated

antibody product type

primary antibodies

clone

monoclonal

form

liquid

species reactivity

mouse, human, rat

concentration

0.82 mg/mL

technique(s)

immunohistochemistry: 1:50-1:200, western blot: 1:500-1:2000

UniProt accession no.

shipped in

wet ice

storage temp.

−20°C

target post-translational modification

unmodified

Gene Information

human ... SSTR5(6755)

General description

Somatostatin and its related peptide cortistatin exert multiple biological actions on normal and tumoral tissue targets by interacting with somatostatin receptors (SSTRs). The protein encoded by this gene is one of the SSTRs, which is a multi-pass membrane protein and belongs to the G-protein coupled receptor 1 family. The activity of this receptor is mediated by G proteins which inhibit adenylyl cyclase, and different regions of this receptor molecule are required for the activation of different signaling pathways. A mutation in this gene results in somatostatin analog resistance. Alternatively spliced transcript variants have been identified in this gene.[provided by RefSeq, Feb 2010]

Immunogen

A synthesized peptide derived from human SSTR5

Physical form

Buffer: PBS with 0.02% sodium azide,0.05% BSA,50% glycerol,pH7.3.


Still not finding the right product?

or

Try our Product Selector Tool to narrow your options


Storage Class

12 - Non Combustible Liquids

wgk

WGK 1

flash_point_f

Not applicable

flash_point_c

Not applicable

Regulatory Information

常规特殊物品

This item has



Choose from one of the most recent versions:

Certificates of Analysis (COA)

Lot/Batch Number

Don't see the Right Version?

If you require a particular version, you can look up a specific certificate by the Lot or Batch number.

Already Own This Product?

Find documentation for the products that you have recently purchased in the Document Library.

Visit the Document Library



Global Trade Item Number

SKUGTIN
SAB5701654-100UL04065267672281