Skip to Content
Merck
CN

SAB5702312

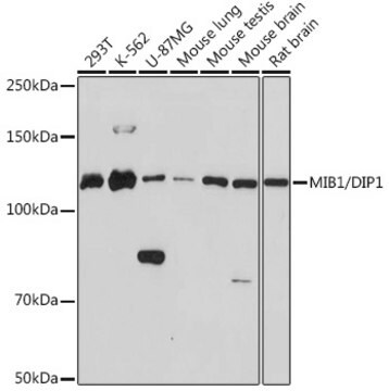
Anti-MIB1/DIP1 Antibody, clone 9Q4N9, Rabbit Monoclonal

Synonym(s):

DIP-1, DIP1, LVNC7, MIB, ZZANK2, ZZZ6

Sign In to View Organizational & Contract Pricing.

Select a Size

Change View

About This Item

NACRES:
NA.46
UNSPSC Code:
12352203
Conjugate:
unconjugated
Clone:
9Q4N9, monoclonal
Application:
WB
Citations:
-
Technical Service
Need help? Our team of experienced scientists is here for you.
Let Us Assist


biological source

rabbit

Quality Level

conjugate

unconjugated

material

colorless

clone

9Q4N9, monoclonal

form

liquid

mol wt

110 kDa

species reactivity

rat, human

concentration

0.45 mg/mL

technique(s)

western blot: 1:500 - 1:2000

color

colorless

isotype

IgG

immunogen sequence

MSNSRNNRVMVEGVGARVVRGPDWKWGKQDGGEGHVGTVRSFESPEEVVVVWDNGTAANYRCSGAYDLRILDSAPTGIKHDGTMCDTCRQQPIIGIRWKC

UniProt accession no.

shipped in

wet ice

storage temp.

−20°C

target post-translational modification

unmodified

Gene Information

human ... MIB1(57534)

General description

This gene encodes a protein containing multiple ankyrin repeats and RING finger domains that functions as an E3 ubiquitin ligase. The encoded protein positively regulates Notch signaling by ubiquitinating the Notch receptors, thereby facilitating their endocytosis. This protein may also promote the ubiquitination and degradation of death-associated protein kinase 1 (DAPK1). [provided by RefSeq, Jun 2013]

Immunogen

A synthetic peptide corresponding to a sequence within amino acids 1-100 of human MIB1/DIP1 (Q86YT6).
PBS with 0.02% sodium azide,0.05% BSA,50% glycerol,pH7.3.

Application

WB


Storage Class

10 - Combustible liquids

wgk

WGK 1

Regulatory Information

常规特殊物品

This item has



Choose from one of the most recent versions:

Certificates of Analysis (COA)

Lot/Batch Number

It looks like we've run into a problem, but you can still download Certificates of Analysis from our Documents section.

If you need assistance, please contact Customer Support

Already Own This Product?

Find documentation for the products that you have recently purchased in the Document Library.

Visit the Document Library



Global Trade Item Number

SKUGTIN
SAB5702312-100UL04065270699947