Skip to Content
Merck
CN

SAB5702558

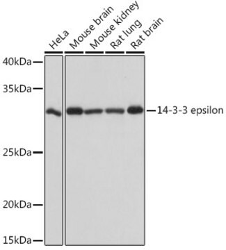
Anti-14-3-3 epsilon Antibody, clone 4X6E1, Rabbit Monoclonal

Synonym(s):

14-3-3E, HEL2, KCIP-1, MDCR, MDS

Sign In to View Organizational & Contract Pricing.

Select a Size

Change View

About This Item

NACRES:
NA.46
UNSPSC Code:
12352203
Conjugate:
unconjugated
Clone:
4X6E1, monoclonal
Application:
WB
Citations:
-
Technical Service
Need help? Our team of experienced scientists is here for you.
Let Us Assist


biological source

rabbit

Quality Level

conjugate

unconjugated

material

colorless

clone

4X6E1, monoclonal

form

liquid

mol wt

28 kDa

species reactivity

human, rat

concentration

0.2 mg/mL

technique(s)

western blot: 1:500 - 1:2000

color

colorless

isotype

IgG

immunogen sequence

MDDREDLVYQAKLAEQAERYDEMVESMKKVAGMDVELTVEERNLLSVAYKNVIGARRASWRIISSIEQKEENKGGEDKLKMIREYRQMVETELKLICCDI

UniProt accession no.

shipped in

wet ice

storage temp.

−20°C

target post-translational modification

unmodified

Gene Information

human ... YWHAE(7531)

General description

This gene product belongs to the 14-3-3 family of proteins which mediate signal transduction by binding to phosphoserine-containing proteins. This highly conserved protein family is found in both plants and mammals, and this protein is 100% identical to the mouse ortholog. It interacts with CDC25 phosphatases, RAF1 and IRS1 proteins, suggesting its role in diverse biochemical activities related to signal transduction, such as cell division and regulation of insulin sensitivity. It has also been implicated in the pathogenesis of small cell lung cancer. Two transcript variants, one protein-coding and the other non-protein-coding, have been found for this gene. [provided by RefSeq, Aug 2008]

Immunogen

A synthetic peptide corresponding to a sequence within amino acids 1-100 of human 14-3-3 epsilon (P62258).
PBS with 0.02% sodium azide,0.05% BSA,50% glycerol,pH7.3.

Application

WB


Storage Class

10 - Combustible liquids

wgk

WGK 1

Regulatory Information

常规特殊物品

This item has



Choose from one of the most recent versions:

Certificates of Analysis (COA)

Lot/Batch Number

It looks like we've run into a problem, but you can still download Certificates of Analysis from our Documents section.

If you need assistance, please contact Customer Support

Already Own This Product?

Find documentation for the products that you have recently purchased in the Document Library.

Visit the Document Library



Global Trade Item Number

SKUGTIN
SAB5702558-100UL04065270691651