Skip to Content
Merck
CN

SAB5702569

Anti-ATG4B Antibody, clone 9H6M6, Rabbit Monoclonal

Synonym(s):

APG4B, AUTL1

Sign In to View Organizational & Contract Pricing.

Select a Size

Change View

About This Item

NACRES:
NA.46
UNSPSC Code:
12352203
Conjugate:
unconjugated
Clone:
9H6M6, monoclonal
Application:
IF, WB
Citations:
-
Technical Service
Need help? Our team of experienced scientists is here for you.
Let Us Assist


biological source

rabbit

Quality Level

conjugate

unconjugated

material

colorless

clone

9H6M6, monoclonal

form

liquid

mol wt

48 kDa

species reactivity

rat, human

concentration

1.70 mg/mL

technique(s)

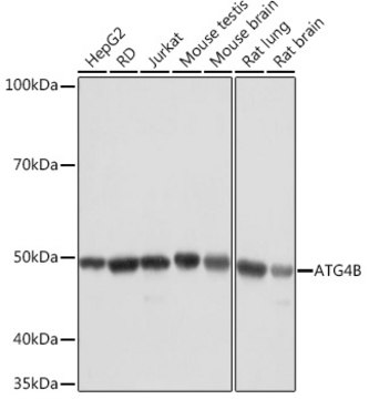
immunofluorescence: 1:50 - 1:200, western blot: 1:500 - 1:2000

color

colorless

isotype

IgG

immunogen sequence

DRHCNGFPAGAEVTNRPSPWRPLVLLIPLRLGLTDINEAYVETLKHCFMMPQSLGVIGGKPNSAHYFIGYVGEELIYLDPHTTQPAVEPTDGCFIPDESFH

UniProt accession no.

shipped in

wet ice

storage temp.

−20°C

target post-translational modification

unmodified

Gene Information

human ... ATG4B(23192)

General description

Autophagy is the process by which endogenous proteins and damaged organelles are destroyed intracellularly. Autophagy is postulated to be essential for cell homeostasis and cell remodeling during differentiation, metamorphosis, non-apoptotic cell death, and aging. Reduced levels of autophagy have been described in some malignant tumors, and a role for autophagy in controlling the unregulated cell growth linked to cancer has been proposed. This gene encodes a member of the autophagin protein family. The encoded protein is also designated as a member of the C-54 family of cysteine proteases. Alternate transcriptional splice variants, encoding different isoforms, have been characterized. [provided by RefSeq, Jul 2008]

Immunogen

A synthetic peptide corresponding to a sequence within amino acids 200-300 of human ATG4B (Q9Y4P1).
PBS with 0.02% sodium azide,0.05% BSA,50% glycerol,pH7.3.

Application

WB, IF/ICC


Storage Class

10 - Combustible liquids

wgk

WGK 1

Regulatory Information

常规特殊物品

This item has



Choose from one of the most recent versions:

Certificates of Analysis (COA)

Lot/Batch Number

It looks like we've run into a problem, but you can still download Certificates of Analysis from our Documents section.

If you need assistance, please contact Customer Support

Already Own This Product?

Find documentation for the products that you have recently purchased in the Document Library.

Visit the Document Library



Global Trade Item Number

SKUGTIN
SAB5702569-100UL04065270691767