Skip to Content
Merck
CN

SAB5702884

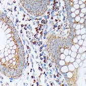
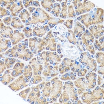
Anti-Sprouty 2 Antibody, clone 10M8H1, Rabbit Monoclonal

Synonym(s):

IGAN3, hSPRY2

Sign In to View Organizational & Contract Pricing.

Select a Size

Change View

About This Item

NACRES:
NA.46
UNSPSC Code:
12352203
Conjugate:
unconjugated
Clone:
10M8H1, monoclonal
Application:
IHC, WB
Citations:
-
Technical Service
Need help? Our team of experienced scientists is here for you.
Let Us Assist


biological source

rabbit

Quality Level

conjugate

unconjugated

material

colorless

clone

10M8H1, monoclonal

form

liquid

mol wt

35 kDa

species reactivity

human, rat

concentration

0.34 mg/mL

technique(s)

immunohistochemistry: 1:50 - 1:200, western blot: 1:500 - 1:2000

color

colorless

isotype

IgG

immunogen sequence

GTCVCCVKGLFYHCSNDDEDNCADNPCSCSQSHCCTRWSAMGVMSLFLPCLWCYLPAKGCLKLCQGCYDRVNRPGCRCKNSNTVCCKVPTVPPRNFEKPT

UniProt accession no.

shipped in

wet ice

storage temp.

−20°C

target post-translational modification

unmodified

Gene Information

human ... SPRY2(10253)

General description

This gene encodes a protein belonging to the sprouty family. The encoded protein contains a carboxyl-terminal cysteine-rich domain essential for the inhibitory activity on receptor tyrosine kinase signaling proteins and is required for growth factor stimulated translocation of the protein to membrane ruffles. In primary dermal endothelial cells this gene is transiently upregulated in response to fibroblast growth factor two. This protein is indirectly involved in the non-cell autonomous inhibitory effect on fibroblast growth factor two signaling. The protein interacts with Cas-Br-M (murine) ectropic retroviral transforming sequence, and can function as a bimodal regulator of epidermal growth factor receptor/mitogen-activated protein kinase signaling. This protein may play a role in alveoli branching during lung development as shown by a similar mouse protein. [provided by RefSeq, Jul 2008]

Immunogen

A synthetic peptide corresponding to a sequence within amino acids 216-315 of human Sprouty 2 (O43597).
PBS with 0.02% sodium azide,0.05% BSA,50% glycerol,pH7.3.

Application

WB, IHC


Storage Class

10 - Combustible liquids

wgk

WGK 1

Regulatory Information

常规特殊物品

This item has



Choose from one of the most recent versions:

Certificates of Analysis (COA)

Lot/Batch Number

It looks like we've run into a problem, but you can still download Certificates of Analysis from our Documents section.

If you need assistance, please contact Customer Support

Already Own This Product?

Find documentation for the products that you have recently purchased in the Document Library.

Visit the Document Library



Global Trade Item Number

SKUGTIN
SAB5702884-100UL04065270687418