Skip to Content
Merck
CN

SAB6012308

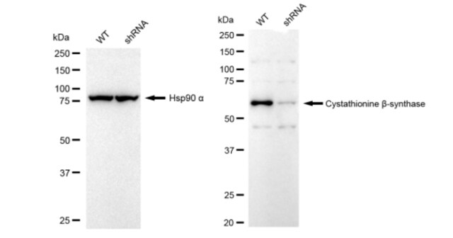
KD-Validated Anti Cystathionine beta-synthase Antibody, clone 23GB3800, Rabbit Monoclonal

greener alternative

clone 23GB3800, recombinant rabbit monoclonal, expressed in HEK293 cells

Synonym(s):

CBSL, HIP4

Sign In to View Organizational & Contract Pricing.

Select a Size

Change View

About This Item

UNSPSC Code:
12352203
Conjugate:
unconjugated
Clone:
23GB3800, recombinant monoclonal
Application:
FACS, IF, WB
Citations:
-
Technical Service
Need help? Our team of experienced scientists is here for you.
Let Us Assist


biological source

rabbit (Monoclonal)

Quality Level

recombinant

expressed in HEK 293 cells

conjugate

unconjugated

antibody form

affinity isolated antibody

antibody product type

primary antibodies

clone

23GB3800, recombinant monoclonal

form

buffered aqueous glycerol solution

mol wt

61 kDa

species reactivity

human

packaging

vial of 1.5 mL

enhanced validation

recombinant expression
Learn more about Antibody Enhanced Validation

sustainability

Greener Alternative Product

concentration

0.625 mg/ml

technique(s)

flow cytometry: 1:2000, immunofluorescence: 1:100-:1000, western blot: 1:1,000-1:5,000

isotype

IgG

Ensembl | human accession no.

NCBI accession no.

UniProt accession no.

greener alternative category

shipped in

wet ice

storage temp.

−20°C

target post-translational modification

unmodified

Gene Information

human ... CBS(875)

General description

The protein encoded by this gene acts as a homotetramer to catalyze the conversion of homocysteine to cystathionine, the first step in the transsulfuration pathway. The encoded protein is allosterically activated by adenosyl-methionine and uses pyridoxal phosphate as a cofactor. Defects in this gene can cause cystathionine beta-synthase deficiency (CBSD), which can lead to homocystinuria. This gene is a major contributor to cellular hydrogen sulfide production. Multiple alternatively spliced transcript variants have been found for this gene. [provided by RefSeq, Feb 2016]
We are committed to bringing you Greener Alternative Products. This product is a Design for Sustainability (DfS) developed product, which belongs to one of the four categories of greener alternatives. Click here to view its DfS scorecard.

Immunogen

A synthesized peptide corresponding to a sequence within amino acids 460-500 of human CBS [NP_000062.1].

Physical form

Solution in PBS (pH 7.4) containing 50% glycerol, and 0.02% sodium azide.

Other Notes

Gently mix before use. Optimal concentrations and conditions for each application should be determined by the user.


Still not finding the right product?

Try our Product Selector Tool to narrow your options


Storage Class

10 - Combustible liquids

flash_point_f

572.0 °F

flash_point_c

300 °C

Regulatory Information

新产品

This item has



Choose from one of the most recent versions:

Certificates of Analysis (COA)

Lot/Batch Number

It looks like we've run into a problem, but you can still download Certificates of Analysis from our Documents section.

If you need assistance, please contact Customer Support

Already Own This Product?

Find documentation for the products that you have recently purchased in the Document Library.

Visit the Document Library



Global Trade Item Number

SKUGTIN
SAB6012308-100UL04065273194760