Select a Size
About This Item
biological source
mouse
Quality Level
recombinant
expressed in HEK 293 cells
conjugate
unconjugated
antibody form
purified antibody
antibody product type
primary antibodies
clone
272-17E6, recombinant monoclonal, monoclonal
product line
ZooMAb® learn more
form
lyophilized
mol wt
calculated mol wt ~116.04 kDa
species reactivity
human
packaging
antibody small pack of 25 μL
greener alternative product characteristics
Waste Prevention
Designing Safer Chemicals
Design for Energy Efficiency
Learn more about the Principles of Green Chemistry.
enhanced validation
recombinant expression
Learn more about Antibody Enhanced Validation
sustainability
Greener Alternative Product
technique(s)
flow cytometry: suitable, immunocytochemistry: suitable, immunohistochemistry (formalin-fixed, paraffin-embedded sections): suitable
isotype
IgG1κ
UniProt accession no.
greener alternative category
shipped in
ambient
storage temp.
2-8°C
target post-translational modification
unmodified
General description
Each ZooMAb antibody is manufactured using our proprietary recombinant expression system, purified to homogeneity, and precisely dispensed to produce robust and highly reproducible lot-to-lot consistency. Only top-performing clones are released for use by researchers. Each antibody is validated for high specificity and affinity across multiple applications, including its most commonly used application. ZooMAb antibodies are reliably available and ready to ship when you need them.
Immunogen
Application
Evaluated by Immunocytochemistry in A549 cell line.
Immunocytochemistry Analysis: A 1:100 dilution of this antibody detected Integrin aV in A549 cells.
Tested Applications
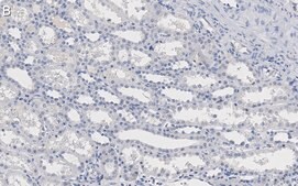
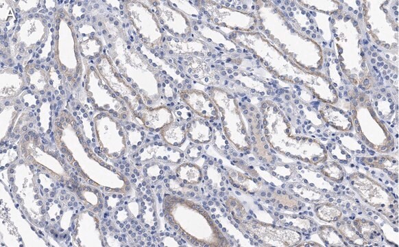
Immunohistochemistry (Paraffin) Analysis: A 1:100 dilution from a representative lot detected Integrin V in human kidney and human placenta tissue sections.
Flow Cytometry Analysis: 0.1 μg from a representative lot detected Integrin V in one million A549 cells.
Note: Actual optimal working dilutions must be determined by end user as specimens, and experimental conditions may vary with the end user
Biochem/physiol Actions
Physical form
Preparation Note
Legal Information
Disclaimer
Still not finding the right product?
Try our Product Selector Tool to narrow your options
Storage Class
11 - Combustible Solids
wgk
WGK 1
flash_point_f
Not applicable
flash_point_c
Not applicable
Regulatory Information
This item has
Choose from one of the most recent versions:
Already Own This Product?
Find documentation for the products that you have recently purchased in the Document Library.
Articles
Learn about the hallmarks of cancer and find reliable ZooMAb® recombinant antibodies to study them, conveniently organized by cancer hallmark.
Global Trade Item Number
| SKU | GTIN |
|---|---|
| ZMS1053-4X25UL | 04065265651868 |
| ZMS1053-25UL | 04065265651851 |