Skip to Content
Merck
CN

ZMS5406

Anti-GAD67 Antibody, clone 1G10.2 ZooMAb® Mouse Monoclonal

greener alternative

recombinant, expressed in HEK 293 cells

Synonym(s):

67 kDa glutamic acid decarboxylase, GAD-67, Glutamate decarboxylase 1, Glutamate decarboxylase 67 kDa isoform

Sign In to View Organizational & Contract Pricing.

Select a Size

Change View

About This Item

NACRES:
NA.41
UNSPSC Code:
12352203
Conjugate:
unconjugated
Clone:
1G10.2, recombinant monoclonal, monoclonal
Application:
ICC, IHC (p), WB
Citations:
-
Technical Service
Need help? Our team of experienced scientists is here for you.
Let Us Assist


biological source

mouse (recombinant)

Quality Level

recombinant

expressed in HEK 293 cells

conjugate

unconjugated

antibody form

purified antibody

antibody product type

primary antibodies

clone

1G10.2, recombinant monoclonal, monoclonal

product line

ZooMAb® learn more

form

lyophilized

mol wt

calculated mol wt 66.9 kDa, observed mol wt ~58 kDa

species reactivity

mouse, rat

species reactivity (predicted by homology)

human

packaging

antibody small pack of 25 μL

greener alternative product characteristics

Waste Prevention
Designing Safer Chemicals
Design for Energy Efficiency
Learn more about the Principles of Green Chemistry.

enhanced validation

recombinant expression
Learn more about Antibody Enhanced Validation

sustainability

Greener Alternative Product

technique(s)

immunocytochemistry: suitable, immunohistochemistry (formalin-fixed, paraffin-embedded sections): suitable, western blot: suitable

isotype

IgG2a

UniProt accession no.

greener alternative category

shipped in

ambient

storage temp.

2-8°C

target post-translational modification

unmodified

Gene Information

human ... GAD1(2571)

General description

We are committed to bringing you greener alternative products, which adhere to one or more of The 12 Principles of Green Chemistry.This antibody is Preservative-free, produced without the harm or sacrifice of animals and exceptionally stable to allow for ambient shipping and storage if needed and thus aligns with "Waste Prevention", "Designing Safer Chemicals" and "Design for Energy Efficiency". Click here for more information.
Glutamate decarboxylase 1 (UniProt: Q99259; also known as EC:4.1.1.15, 67 kDa glutamic acid decarboxylase, GAD-67, Glutamate decarboxylase 67 kDa isoform) is encoded by the GAD1 (also known as GAD, GAD67) gene (Gene ID:2571) in human. Glutamic acid decarboxylase (GAD; E.C. 4.1.1.15) is the enzyme responsible for the conversion of glutamic acid to gamma-aminobutyric acid (GABA), the major inhibitory transmitter in higher brain regions, and putative paracrine hormone in pancreatic islets. Two molecular forms of GAD have been described (65 kDa and 67 kDa) that display 64% amino acid homology and both forms are expressed in the CNS, pancreatic islet cells, testis, oviduct, and ovary. Between the two isoforms, GAD67 is responsible for over 90% of basal GABA synthesis and is produced at limiting levels in the brain. These isoforms are regionally distributed in cytoplasm in the brains of rats and mice. GAD67 expression is shown to change during neural development in rat spinal cord and its expression seems to be particularly plastic and can change in response to experimental manipulation and disease progression. This ZooMAb recombinant monoclonal antibody, generated by our propriety technology, offers significantly enhanced specificity, affinity, reproducibility, and stability over conventional monoclonals.
ZooMAb antibodies represent an entirely new generation of recombinant monoclonal antibodies.

Each ZooMAb antibody is manufactured using our proprietary recombinant expression system, purified to homogeneity, and precisely dispensed to produce robust and highly reproducible lot-to-lot consistency. Only top-performing clones are released for use by researchers. Each antibody is validated for high specificity and affinity across multiple applications, including its most commonly used application. ZooMAb antibodies are reliably available and ready to ship when you need them.

Learn more about ZooMAb here.

Immunogen

Recombinant human Glutamate decarboxylase 1 (GAD67).

Application

Anti-GAD67, clone 1G10.2 ZooMAb, Cat. No. ZMS5406, is a recombinant Mouse monoclonal antibody that specifically targets Glutamate decarboxylase 1 (GAD67) and is tested in Immunocytochemistry, Immunohistochemistry (Paraffin), and Western Blotting.
Western Blotting Analysis: A 1:1,000 dilution from a representative lot detected GAD67 in mouse brain tissue lysate.

Immunocytochemistry Analysis: A 1:100 dilution from a representative lot detected GAD67 in rat E18 cortical cells.

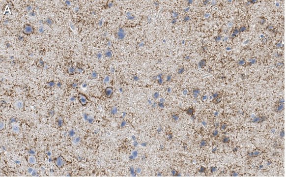
Immunohistochemistry (Paraffin) Analysis: A 1:100 dilution from a representative lot detected GAD67 in mouse brain and rat brain tissue sections.

Note: Actual optimal working dilutions must be determined by end user as specimens, and experimental conditions may vary with the end user

Biochem/physiol Actions

Clone 1G10.2 is a ZooMAb mouse recombinant monoclonal antibody that specifically detects Glutamate decarboxylase 1 (GAD67).

Physical form

Purified recombinant mouse monoclonal antibody IgG, lyophilized in PBS, 5% Trehalose, normal appearance a coarse or translucent resin. Contains no biocide or preservatives, such as azide, or any animal by-products. Larger pack sizes provided as multiples of 25 μL.

Preparation Note

Recommend storage of lyophilized product at 2-8°C; Before reconstitution, micro-centrifuge vials briefly to spin down material to bottom of the vial; Reconstitute each vial by adding 25 μL of filtered lab grade water or PBS; Reconstituted antibodies can be stored at 2-8°C, or -20°C for long term storage. Avoid repeated freeze-thaws.
Reconstitute lyophilized antibody pellet with 25μL of ultrapure water or Phosphate Buffered Saline (PBS). Please refer to our reconstitution protocol and the specific application guidance on the suggested starting dilutions and sample type.

Legal Information

ZooMAb is a registered trademark of Merck KGaA, Darmstadt, Germany

Disclaimer

Unless otherwise stated in our catalog or other company documentation accompanying the product(s), our products are intended for research use only and are not to be used for any other purpose, which includes but is not limited to, unauthorized commercial uses, in vitro diagnostic uses, ex vivo or in vivo therapeutic uses or any type of consumption or application to humans or animals.


Still not finding the right product?

Try our Product Selector Tool to narrow your options


Storage Class

11 - Combustible Solids

wgk

WGK 1

flash_point_f

Not applicable

flash_point_c

Not applicable

Regulatory Information

常规特殊物品

This item has



Choose from one of the most recent versions:

Certificates of Analysis (COA)

Lot/Batch Number

Don't see the Right Version?

If you require a particular version, you can look up a specific certificate by the Lot or Batch number.

Already Own This Product?

Find documentation for the products that you have recently purchased in the Document Library.

Visit the Document Library


Articles

Learn about the hallmarks of cancer and find reliable ZooMAb® recombinant antibodies to study them, conveniently organized by cancer hallmark.

Related Content

选择更绿色环保的ZooMAb® 重组抗体,助力科研可持续发展。该重组抗体不含BSA和载体,采用低废料的包装运输,可在不影响性能的情况下最大限度提高稳定性。

Greener ZooMAb® antibodies offer sustainable options with low-waste packaging and BSA-free formulation.





Global Trade Item Number

SKUGTIN
ZMS5406-4X25UL04061842043019
ZMS5406-25UL04061842043002