Skip to Content
Merck
CN

ZRB04338

Anti-EGFR Antibody, clone 11E19, ZooMAb® Rabbit Monoclonal

greener alternative

recombinant, expressed in HEK 293 cells

Synonym(s):

EC: 2.7.10.1, Epidermal growth factor receptor, Proto-oncogene c-ErbB-1, Receptor tyrosine-protein kinase erbB-1

Sign In to View Organizational & Contract Pricing.

Select a Size

Change View

About This Item

NACRES:
NA.43
UNSPSC Code:
12352203
Conjugate:
unconjugated
Clone:
11E19, recombinant monoclonal, monoclonal
Application:
ICC, IHC (p), WB, gene knockdown
Citations:
-
Technical Service
Need help? Our team of experienced scientists is here for you.
Let Us Assist


biological source

rabbit (recombinant)

Quality Level

recombinant

expressed in HEK 293 cells

conjugate

unconjugated

antibody form

purified antibody

antibody product type

primary antibodies

clone

11E19, recombinant monoclonal, monoclonal

product line

ZooMAb® learn more

form

lyophilized

mol wt

calculated mol wt 134.28 kDa, observed mol wt ~170 kDa

species reactivity

mouse, human

packaging

antibody small pack of 25 μL

greener alternative product characteristics

Waste Prevention
Designing Safer Chemicals
Design for Energy Efficiency
Learn more about the Principles of Green Chemistry.

enhanced validation

recombinant expression
Learn more about Antibody Enhanced Validation

sustainability

Greener Alternative Product

technique(s)

gene knockdown: 1:100-1:250, immunocytochemistry: suitable using 1:100, immunohistochemistry (formalin-fixed, paraffin-embedded sections): suitable using 1:100, western blot: suitable using 1:1,000

isotype

IgG

UniProt accession no.

greener alternative category

shipped in

ambient

storage temp.

2-8°C

target post-translational modification

unmodified

Gene Information

General description

Epidermal growth factor receptor (UniProt: P00533; also known as EC: 2.7.10.1, Proto-oncogene c-ErbB-1, Receptor tyrosine-protein kinase erbB-1) is encoded by the EGFR (also known as ERBB, ERBB1, HER1) gene (Gene ID: 1956) in human. EGFR is a single-pass type 1 membrane protein that is ubiquitously expressed. It is synthesized with a 24 amino acids signal peptide that is subsequently cleaved off. The mature form contains an extracellular domain (aa 25-645) a transmembrane domain (aa 646-668), and a cytoplasmic domain (aa 669-1210). Upon binding of EGF or other ligands, the receptor undergoes homo-and/or heterodimerization that stimulates its intrinsic intracellular protein-tyrosine kinase activity and leads to autophosphorylation of tyrosine residues in the C-terminal region. It then recruits adapter proteins to turn on downstream signaling cascades. EGFR is commonly overexpressed and is mutated in many human malignancies and is often associated with aggressive phenotypes. Four different isoforms of EGFR have been described that are produced by alternative splicing. This ZooMAb recombinant monoclonal antibody, generated by our propriety technology, offers significantly enhanced specificity, affinity, reproducibility, and stability over conventional monoclonals.
We are committed to bringing you greener alternative products, which adhere to one or more of The 12 Principles of Green Chemistry.This antibody is Preservative-free, produced without the harm or sacrifice of animals and exceptionally stable to allow for ambient shipping and storage if needed and thus aligns with "Waste Prevention", "Designing Safer Chemicals" and "Design for Energy Efficiency". Click here for more information.
ZooMAb antibodies represent an entirely new generation of recombinant monoclonal antibodies.

Each ZooMAb antibody is manufactured using our proprietary recombinant expression system, purified to homogeneity, and precisely dispensed to produce robust and highly reproducible lot-to-lot consistency. Only top-performing clones are released for use by researchers. Each antibody is validated for high specificity and affinity across multiple applications, including its most commonly used application. ZooMAb antibodies are reliably available and ready to ship when you need them.

Learn more about ZooMAb here.

Immunogen

KLH-conjugated linear peptide corresponding to 30 amino acids from the C-terminal region of human Epidermal growth factor receptor.

Application

Anti-EGFR, clone 11E19 ZooMAb, Cat. No. ZRB04338, is a recombinant Rabbit Monoclonal Antibody that detects epidermal growth factor receptor (EGFR) and has been tested for use in Immunocytochemistry Immunohistochemistry (Paraffin), RNAi/siRNA/Gene Knockdown Analysis, and Western Blotting.
Western Blotting Analysis: A 1:1,000 dilution from a representative lot detected EGFR in A431 cell lysate.

Immunocytochemistry Analysis: A 1:100 dilution from a representative lot detected EGFR in HeLa, A431, HUVEC, and NIH 3T3 cells.

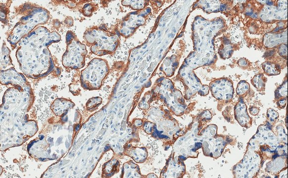
Immunohistochemistry (Paraffin) Analysis: A 1:100 dilution from a representative lot detected EGFR in human placenta tissue sections.

RNAi/siRNA/Gene Knockdown Analysis: A 1:250 dilution from a representative lot detected EGFR lysates from wild type and EGFR knockout HeLa cells.

Biochem/physiol Actions

Clone 11E19 is a ZooMAb rabbit recombinant monoclonal antibody that detects human and murine Epidermal Growth Factor Receptor. It targets an epitope with in 30 amino acids from the C-terminal region.

Physical form

Purified recombinant rabbit monoclonal antibody IgG, lyophilized in PBS with 5% Trehalose, normal appearance a coarse or translucent resin. Contains no biocide or preservatives, such as azide, or any animal by-products. Larger pack sizes provided as multiples of 25 μL.

Preparation Note

Recommend storage of lyophilized product at 2-8°C; Before reconstitution, micro-centrifuge vials briefly to spin down material to bottom of the vial; Reconstitute each vial by adding 25 μL of filtered lab grade water or PBS; Reconstituted antibodies can be stored at 2-8°C, or -20°C for long term storage. Avoid repeated freeze-thaws.
Reconstitute lyophilized antibody pellet with 25μL of ultrapure water or Phosphate Buffered Saline (PBS). Please refer to our reconstitution protocol and the specific application guidance on the suggested starting dilutions and sample type.

Legal Information

ZooMAb is a registered trademark of Merck KGaA, Darmstadt, Germany

Disclaimer

Unless otherwise stated in our catalog or other company documentation accompanying the product(s), our products are intended for research use only and are not to be used for any other purpose, which includes but is not limited to, unauthorized commercial uses, in vitro diagnostic uses, ex vivo or in vivo therapeutic uses or any type of consumption or application to humans or animals.


Still not finding the right product?

Try our Product Selector Tool to narrow your options


Storage Class

11 - Combustible Solids

wgk

WGK 1

flash_point_f

Not applicable

flash_point_c

Not applicable

Regulatory Information

常规特殊物品
常规特殊物品

This item has



Choose from one of the most recent versions:

Certificates of Analysis (COA)

Lot/Batch Number

Don't see the Right Version?

If you require a particular version, you can look up a specific certificate by the Lot or Batch number.

Already Own This Product?

Find documentation for the products that you have recently purchased in the Document Library.

Visit the Document Library


Articles

Learn about the hallmarks of cancer and find reliable ZooMAb® recombinant antibodies to study them, conveniently organized by cancer hallmark.