Skip to Content
Merck
CN

ZRB09432

Anti-phospho-IRS1 (Tyr612) Antibody, clone 1N14, ZooMAb® Rabbit Monoclonal

greener alternative

recombinant, expressed in HEK 293 cells

Synonym(s):

IRS-1, Insulin Receptor Substrate 1

Sign In to View Organizational & Contract Pricing.

Select a Size

Change View

About This Item

NACRES:
NA.43
UNSPSC Code:
12352203
Conjugate:
unconjugated
Clone:
1N14, recombinant monoclonal, monoclonal
Application:
IHC, WB, inhibition assay
Citations:
-
Technical Service
Need help? Our team of experienced scientists is here for you.
Let Us Assist


biological source

rabbit (recombinant)

Quality Level

recombinant

expressed in HEK 293 cells

conjugate

unconjugated

antibody form

purified antibody

antibody product type

primary antibodies

clone

1N14, recombinant monoclonal, monoclonal

product line

ZooMAb® learn more

form

lyophilized

mol wt

calculated mol wt 131.59 kDa, observed mol wt ~160 kDa

species reactivity

mouse, human

packaging

antibody small pack of 25 μL

greener alternative product characteristics

Waste Prevention
Designing Safer Chemicals
Design for Energy Efficiency
Learn more about the Principles of Green Chemistry.

enhanced validation

recombinant expression
Learn more about Antibody Enhanced Validation

sustainability

Greener Alternative Product

technique(s)

immunohistochemistry: suitable using 1:100, inhibition assay: suitable using 1:1,000 (peptide), western blot: suitable using 1:1,000

isotype

IgG

UniProt accession no.

greener alternative category

shipped in

ambient

storage temp.

2-8°C

target post-translational modification

phosphorylation (pTyr612)

Gene Information

human ... IRS1(3667)

General description

Insulin receptor substrate 1 (UniProt: P35568; also known as IRS-1) is encoded by the IRS1 gene (Gene ID: 3667) in human. The insulin receptor substrates (IRS-1, IRS-2, IRS-3, and IRS-4) are adaptor proteins involved in modulating cell growth, metabolism, survival, and differentiation by transducing receptor signaling to multiple downstream effectors. IRS family proteins contain a conserved N-terminal pleckstrin homology (PH) domain (aa 12-115 of human IRS-1), a phosphotyrosine-binding (PTB) domain (aa 160-264 of human IRS-1), and multiple tyrosine phosphorylation sites in the C-terminal region. The PTB domain mediates the interaction of IRS-1, -2 and -3 with IR juxtamembrane NPXYp motif, facilitating subsequent receptor-mediated IRS tyrosine phosphorylation. Upon phosphorylation, IRS proteins serve as binding sites for Src homology 2 (SH2) domain-containing proteins, such as SHP-2 and PI 3-kinase. Functions of IRS proteins are largely dependent on the phosphorylation of specific tyrosine residues, which in turn are subject to negative regulation by protein phosphatase activity. In addition, IRS proteins can be phosphorylated by serine/threonine kinases, such as Akt/PKB, GSK-3, mTOR, and PKC, and increased Ser/Thr phosphorylation reduces their binding to IR and tyrosine phosphorylation. When phosphorylated, tyrosine 612 is a pYMxM consensus motif PI3-kinase binding site, which leads to the activation of the PI3K/AKT signaling pathway. Inhibition of PI 3-kinase enhances insulin-stimulated IRS-1 Tyr612/Tyr941 phosphorylation (p85-binding sites) and increases IRS-1 association with PI 3-kinase p85 subunit. Defects in muscle IRS1 gene expression and function have been reported in insulin-resistant states, such as in obesity and type 2 diabetes. This ZooMAb recombinant monoclonal antibody, generated by our propriety technology, offers significantly enhanced specificity, affinity, reproducibility, and stability over conventional monoclonals.
We are committed to bringing you greener alternative products, which adhere to one or more of The 12 Principles of Green Chemistry.This antibody is Preservative-free, produced without the harm or sacrifice of animals and exceptionally stable to allow for ambient shipping and storage if needed and thus aligns with "Waste Prevention", "Designing Safer Chemicals" and "Design for Energy Efficiency". Click here for more information.
ZooMAb antibodies represent an entirely new generation of recombinant monoclonal antibodies.

Each ZooMAb antibody is manufactured using our proprietary recombinant expression system, purified to homogeneity, and precisely dispensed to produce robust and highly reproducible lot-to-lot consistency. Only top-performing clones are released for use by researchers. Each antibody is validated for high specificity and affinity across multiple applications, including its most commonly used application. ZooMAb antibodies are reliably available and ready to ship when you need them.

Learn more about ZooMAb here.

Immunogen

KLH-conjugated linear peptide corresponding to 11 amino acids surrounding phospho tyrosine 612 of human Insulin receptor substrate 1 (IRS-1).

Application

Anti-phospho-IRS1 (Tyr612), clone 1N14, ZooMAb is a recombinant Rabbit Monoclonal antibody that detects Insulin receptor substrate 1 (IRS1) and has been tested for use in Immunohistochemistry, Peptide Inhibition Assay, and Western Blotting.
Western Blotting Analysis: A 1:1,000 dilution from a representative lot detected phospho-IRS1 (Tyr612) in lysate from NIH3T3 cells treated with Insulin.

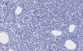
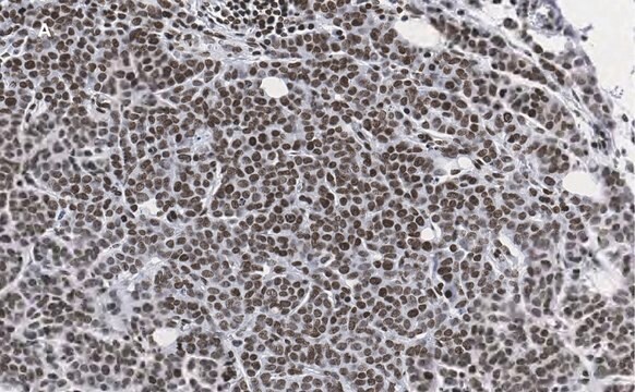
Immunohistochemistry (Paraffin) Analysis: A 1:100 dilution from a representative lot detected Insulin receptor substrate 1 in human breast cancer and human prostate cancer tissue sections.

Peptide Inhibition Analysis: A 1:1,000 dilution from a representative lot was used with insulin treated HEK293 cells for phosphopeptide block analysis.

Biochem/physiol Actions

Clone 1N14 is a ZooMAb rabbit recombinant monoclonal antibody that specifically detects human IRS-1 phosphorylated on Tyrosine 612 and murine IRS-1 phosphorylated on Tyrosine 608.

Physical form

Purified recombinant rabbit monoclonal antibody IgG, lyophilized in PBS with 5% Trehalose, normal appearance a coarse or translucent resin. Contains no biocide or preservatives, such as azide, or any animal by-products. Larger pack sizes provided as multiples of 25 μL.

Preparation Note

Recommend storage of lyophilized product at 2-8°C; Before reconstitution, micro-centrifuge vials briefly to spin down material to bottom of the vial; Reconstitute each vial by adding 25 μL of filtered lab grade water or PBS; Reconstituted antibodies can be stored at 2-8°C, or -20°C for long term storage. Avoid repeated freeze-thaws.
Reconstitute lyophilized antibody pellet with 25μL of ultrapure water or Phosphate Buffered Saline (PBS). Please refer to our reconstitution protocol and the specific application guidance on the suggested starting dilutions and sample type.

Legal Information

ZooMAb is a registered trademark of Merck KGaA, Darmstadt, Germany

Disclaimer

Unless otherwise stated in our catalog or other company documentation accompanying the product(s), our products are intended for research use only and are not to be used for any other purpose, which includes but is not limited to, unauthorized commercial uses, in vitro diagnostic uses, ex vivo or in vivo therapeutic uses or any type of consumption or application to humans or animals.


Still not finding the right product?

Try our Product Selector Tool to narrow your options


Storage Class

11 - Combustible Solids

wgk

WGK 2

Regulatory Information

常规特殊物品
常规特殊物品

This item has



Choose from one of the most recent versions:

Certificates of Analysis (COA)

Lot/Batch Number

Don't see the Right Version?

If you require a particular version, you can look up a specific certificate by the Lot or Batch number.

Already Own This Product?

Find documentation for the products that you have recently purchased in the Document Library.

Visit the Document Library