Skip to Content
Merck
CN

ZRB1013

Anti-CD133 (Prominin-1) Antibody, clone 2F8, ZooMAb® Rabbit Monoclonal

greener alternative

recombinant, expressed in HEK 293 cells

Synonym(s):

AC133, Prominin-1, Prominin-like protein 1

Sign In to View Organizational & Contract Pricing.

Select a Size

Change View

About This Item

NACRES:
NA.43
UNSPSC Code:
12352203
Conjugate:
unconjugated
Clone:
2F8, recombinant monoclonal, monoclonal
Application:
FACS, IF, IHC (p), WB
Citations:
-
Technical Service
Need help? Our team of experienced scientists is here for you.
Let Us Assist


biological source

rabbit (recombinant)

Quality Level

recombinant

expressed in HEK 293 cells

conjugate

unconjugated

antibody form

purified antibody

antibody product type

primary antibodies

clone

2F8, recombinant monoclonal, monoclonal

product line

ZooMAb® learn more

form

lyophilized

mol wt

calculated mol wt 97.11 kDa, observed mol wt ~100 kDa

species reactivity

human, rat

packaging

antibody small pack of 25 μL

greener alternative product characteristics

Waste Prevention
Designing Safer Chemicals
Design for Energy Efficiency
Learn more about the Principles of Green Chemistry.

enhanced validation

recombinant expression
Learn more about Antibody Enhanced Validation

sustainability

Greener Alternative Product

technique(s)

flow cytometry: suitable, immunofluorescence: suitable using 1:100, immunohistochemistry (formalin-fixed, paraffin-embedded sections): suitable using 1:100, western blot: suitable

isotype

IgG

UniProt accession no.

greener alternative category

shipped in

ambient

storage temp.

2-8°C

target post-translational modification

unmodified

Gene Information

General description

Prominin-1 (UniProt: O43490; also known as Antigen AC133, Prominin-like protein 1, CD133) is encoded by the PROM1 (also known as PROML1, MSTP061) gene (Gene ID: 8842) in human. CD133 (Prominin-1) is multi-pass cell-surface glycoprotein that plays a role in cell differentiation, proliferation and apoptosis. It binds cholesterol in cholesterol-containing plasma membrane microdomains and may play a role in the organization of the apical plasma membrane in epithelial cells. During early retinal development CD133 acts as a key regulator of disk morphogenesis. Defects in PROM1 gene are known to cause retinitis pigmentosa, cone-rod dystrophy, and retinal macular dystrophy 2. Higher levels of CD133 have been reported in several cancer cell types, including various leukemias, retinoblastomas, glioblastomas, and kidney carcinomas. Higher levels of CD133 are also observed in pancreatic, gastric, colorectal, and hepatocellular cancers. It is also considered as a marker of stem cells in the adult small intestine that are susceptible to transformation into tumors retaining a fraction of mutant Prom1+ tumor cells. This ZooMAb recombinant monoclonal antibody, generated by our propriety technology, offers significantly enhanced specificity, affinity, reproducibility, and stability over conventional monoclonals. (Ref.: Zhu, L., et al. (2009). Nature 477 (7229); 603-607).
We are committed to bringing you greener alternative products, which adhere to one or more of The 12 Principles of Green Chemistry.This antibody is Preservative-free, produced without the harm or sacrifice of animals and exceptionally stable to allow for ambient shipping and storage if needed and thus aligns with "Waste Prevention", "Designing Safer Chemicals" and "Design for Energy Efficiency". Click here for more information.
ZooMAb antibodies represent an entirely new generation of recombinant monoclonal antibodies.

Each ZooMAb antibody is manufactured using our proprietary recombinant expression system, purified to homogeneity, and precisely dispensed to produce robust and highly reproducible lot-to-lot consistency. Only top-performing clones are released for use by researchers. Each antibody is validated for high specificity and affinity across multiple applications, including its most commonly used application. ZooMAb antibodies are reliably available and ready to ship when you need them.

Learn more about ZooMAb here.

Immunogen

His-tagged recombinant fragment corresponding to 77 amino acids from the N-terminal region of human CD133 (Prominin-1).

Application

Anti-CD133 (Prominin-1), clone 2F8 ZooMAb, Cat. No. ZRB1013, is a recombinant Rabbit Monoclonal Antibody that specifically targets Prominin (CD133) and has been tested for use in Immunofluorescence, Immunohistochemistry (Paraffin), and Western Blotting.
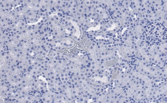
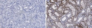
Immunohistochemistry (Paraffin) Analysis: A 1:100 dilution from a representative lot detected CD133 (Prominin-1) in rat kidney tissue sections.

Immunofluorescence Analysis: A 1:100 dilution from a representative lot detected CD133 (Prominin-1) in rat kidney tissue sections.

Flow Cytometry Analysis: 1 µg of a representative lot of this antibody detected CD133 in one million fixed and permeabilized HCT116 cells

Biochem/physiol Actions

Clone 2F8 is a ZooMAb rabbit recombinant monoclonal antibody that specifically detects CD133 (Prominin-1). It targets an epitope with in 77 amino acids fromt the N-terminal extracellualr domain.

Physical form

Purified recombinant rabbit monoclonal antibody IgG, lyophilized in PBS with 5% Trehalose, normal appearance a coarse or translucent resin. Contains no biocide or preservatives, such as azide, or any animal by-products. Larger pack sizes provided as multiples of 25 μL.

Preparation Note

Recommend storage of lyophilized product at 2-8°C; Before reconstitution, micro-centrifuge vials briefly to spin down material to bottom of the vial; Reconstitute each vial by adding 25 μL of filtered lab grade water or PBS; Reconstituted antibodies can be stored at 2-8°C, or -20°C for long term storage. Avoid repeated freeze-thaws.
Reconstitute lyophilized antibody pellet with 25μL of ultrapure water or Phosphate Buffered Saline (PBS). Please refer to our reconstitution protocol and the specific application guidance on the suggested starting dilutions and sample type.

Legal Information

ZooMAb is a registered trademark of Merck KGaA, Darmstadt, Germany

Disclaimer

Unless otherwise stated in our catalog or other company documentation accompanying the product(s), our products are intended for research use only and are not to be used for any other purpose, which includes but is not limited to, unauthorized commercial uses, in vitro diagnostic uses, ex vivo or in vivo therapeutic uses or any type of consumption or application to humans or animals.


Still not finding the right product?

Try our Product Selector Tool to narrow your options


Storage Class

11 - Combustible Solids

wgk

WGK 1

flash_point_f

Not applicable

flash_point_c

Not applicable

Regulatory Information

常规特殊物品

This item has



Choose from one of the most recent versions:

Certificates of Analysis (COA)

Lot/Batch Number

Don't see the Right Version?

If you require a particular version, you can look up a specific certificate by the Lot or Batch number.

Already Own This Product?

Find documentation for the products that you have recently purchased in the Document Library.

Visit the Document Library